杭州市第一人民医院集团CIED装置植入培训班暨雅培起搏术者行江浙专场顺利举办
2018-11-12 14:03
严道医声网讯:
金秋九月,丹桂飘香。西子湖畔,起搏术者行。9月26日,杭州市第一人民医院集团心内科顺利举办CIED装置植入培训班,本次培训由雅培公司负责协办。此期培训旨在加强浙江与江苏跨区域间学术交流与沟通,学员通过半天集中的手术演示、手术操作技巧理论讲解及实践带教等形式,就双螺旋导线植入技术让学员短时间内深入学习,迅速提升植入技术的整体认知和细节把握。同时,培训班通过直观形象的囊袋制作与缝合模拟演示,让每名学员更加清晰的了解皮肤解剖结构及器械操作要领,更值得点赞的是,许轶洲主任在此基础上结合本院所遇临床问题及处理策略与学员进行头脑风暴,使得每位学员获益良多。


许轶洲主任借用模拟组织演示囊袋制作及讲解注意事项

许轶洲主任演示导线与囊袋缝合及讲解注意事项


学员亲自动手操作,模拟练习囊袋制作与缝合


陈朝峰医师分享腋静脉穿刺技巧

腋静脉穿刺位点:锁骨与第一前肋外交点的下方1.5-2cm


许轶洲主任分享双主动固定的经验和操作技巧
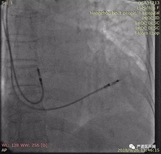
双主动电极植入手术演示


病例
术中心房多次换位尝试,阈值始终偏高,许轶洲主任积极与学员分享交流处理策略,调整钢丝塑性,最终以阈值1.0v以下完成手术。
此次培训通过不同区域间手术技巧的切磋,拓宽了大家的视野,进而更好的提高起搏器植入技术。大家一致认为,此次培训收获颇丰,理论结合实践,模拟加上实际操作,更能满足临床技术学习的需求。同时希望日后多多开展此类培训班,让更多的同行术者学习到更多的经验,为广大起搏患者服务。