嘉境·瓣旅|新乡医学院第一附属医院成功完成一例大瓣环、低EF值、重度返流TAVR手术1例

2022年10月08日,新乡医学院第一附属医院张永春主任团队联合超声科、麻醉科、心外科,护理团队及CCU团队成功为一例超大瓣环、低EF值、重度返流的患者植入TaurusElite瓣膜,TaurusElite经导管主动脉瓣系统柔顺的过弓性能、良好的封堵效果和稳定的释放特性保证了手术安全、顺利的完成。术后患者症状较前明显减轻,血流动力学显著改善,获得了优异的手术效果,保证了患者远期预后。

患者基本情况

患者:66岁,男性;

主诉:间断胸闷、心悸15年,加重17小时;

超声提示:EF 36%主瓣返流面积11.9cm²,瓣口面积1.2cm²,峰值流速3.79m/s,平均跨瓣压差 34mmHg;

超声诊断:主动脉瓣中度狭窄伴重度关闭不全。

术前CT评估

根部动图

外周动图

主动脉根部测量

31mm超大瓣环,敞口流出道,瓣膜锚定难度高;结合多平面分析,推荐瓣环上3-4mm开始定位释放。

窦部及STJ内径尚可,升主动脉扩张。

左室内径偏大,EF值36%,心尖部较薄,术中密切关注血流动力学变化,注意加硬导丝位置,避免心室穿孔

左右冠脉高度尚可,冠脉阻挡风险相对较低

轻中度钙化,一定程度上辅助可瓣膜锚定

术中体位

外周入路

外周入路尚可

病理特点及手术难点

三叶式主动脉瓣,瓣叶轻中度钙化,人工瓣膜锚定力稍弱,左室流出道呈敞口型,综合多平面分析,预估瓣膜释放后有向下位移风险及瓣周漏可能;

左右冠开口高度可,综合瓦氏窦及窦管交界内径综合判断,预估左右侧冠脉阻挡风险相对较低;

左室心腔内径偏大,心室壁增厚,射血分数36%,结合超声及患者情况,术中密切观察血流动力,可预装瓣膜并湿备体外循环,心尖部较薄,术中需密切注意加硬导丝位置避免心室穿孔。

手术策略

全麻,气管插管,经右侧锁骨下静脉入路放置临时起搏器。右侧股动脉为主入路,左侧股动脉为辅入路。

不进行球囊预扩,必要时使用球囊进行后扩张,同时预装TaurusElite AV31瓣膜。瓣环上3-4mm开始定位,释放。释放过程中多角度造影,超声辅助定位确定瓣膜最终位置。释放后再次造影佐证。

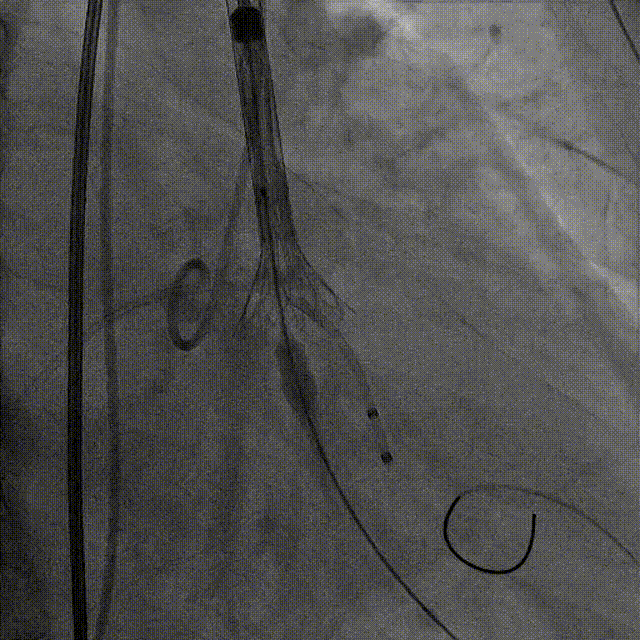
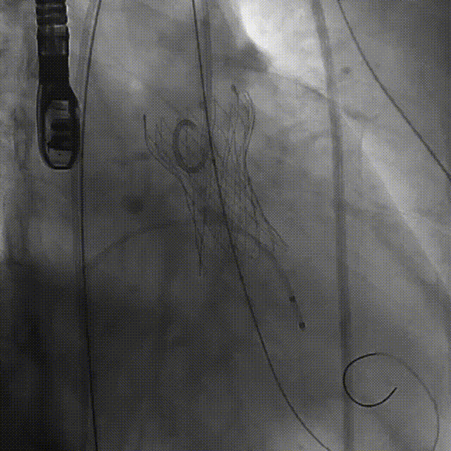
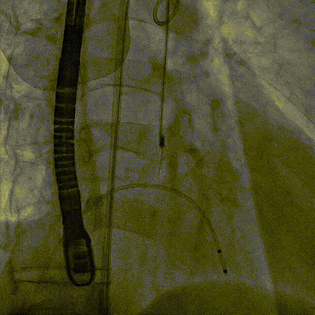
术中影像

直头导丝跨瓣

释放

后扩前

后扩

最终工作位置

术中及术后未出现相关并发症,瓣膜植入位置符合预期,患者症状得到明显改善,手术圆满完成。

术前术后超声

总结

术中综合分析未进行球囊预扩,选择TaurusElite  AV31瓣膜送至主动脉弓,输送系统轻松过弓及跨瓣,精准定位无冠窦最低点,利用可回收功能,术中对位置进行适当调整,大大提升了瓣膜精准释放的几率,保证了手术的安全性,最后使用25mm球囊后扩,优化了瓣膜形态,使患者获得了更大的获益。 

2022年,恰逢全球TAVR 20周年之际,也祝愿我院TAVR技术迈向新的台阶,为更多主动脉瓣重度狭窄、返流患者提供更多治疗选择机会,创造更大生存空间,同时我院心血管介入核心技术发展迈向新的未来。

科室简介

心血管内科二病区是豫北从事冠状动脉及冠心病研究与诊疗的临床机构,集医疗、科研、预防和人才培养于一体。经皮冠状动脉介入(PCI)和经桡动脉PCI(TRI)治疗水平省内一流。尤其是生命绿色通道急诊PCI的开展,为挽救急性心肌梗死患者的生命做出了突出贡献。电生理学研究室专门从事心脏电生理检查、导管射频消融和植入性心脏起搏器治疗,是豫北大规模的大型心律失常研究和临床医疗中心。

医院积极加强心血管疾病的防治和健康促进工作,促进高血压规范化治疗的推广和普及。科室现有职工32人。正高3人,副高2人,主治医师10人,住院医师3人,博士2人,硕士14人。开放床位45张。

目前科室面临着前所未有的发展机遇,将继续坚持“用‘心’守护健康”的核心理念,遵循“仁心仁术、博济惠民”的“新医”精神,以病人为中心,创新关键医疗技术,制定适合豫北广大患者朋友的治疗及预防指南与标准,为打造心血管病医学技术知识传播、生产、转化与应用的综合型科室而努力奋斗!

专家简介

张永春

新乡医学院第一附属医院

心血管内科二病区主任,教授,主任医师,硕士研究生导师。河南省医学会心血管病学分会委员,河南省心脏起搏和电生理学会常委,河南省高血压防治专业委员会委员,首批获得河南省心血管疾病介入诊疗资格。从事心血管内科诊疗30余年,擅长对顽固性心力衰竭、高血压病、冠心病、心绞痛、心肌梗死、风心病、心肌炎、心肌病、各种心律失常等的诊疗,尤其擅长冠心病、心律失常、风心病、先心病的经导管介入治疗。承担新乡医学院及第一临床学院的临床教学工作。参编专著3部;发表论文30余篇;获河南省资助科研项目多项,获河南省科技成果奖5项。

阅读数: 2113