嘉境·瓣旅|新乡市第一人民医院成功应用TaurusElite完成一例锐弓角,短弓距,重度钙化Type0二叶瓣TAVR1例

近日,新乡市第一人民医院郭彤主任团队联合超声科、麻醉科、心外科,血管外科,护理团队及CCU团队成功为一名Type-0型二叶瓣,锐弓角,短弓距,外周入路迂曲、钙化的重度主瓣狭窄患者完成高难度TAVR手术。瓣膜植入后工作稳定,未出现并发症,术后患者症状得到明显改善,充分体现了术者团队精湛的技艺。

患者基本情况

患者:71岁,女性,诉:间断胸闷、心悸;

超声提示:主瓣Vmax5.7m/s,PG: 130mmHg;

超声诊断:主动脉瓣重度狭窄,升主动脉扩张,左室壁增厚,左房增大,二尖瓣返流(轻度),三尖瓣返流(轻度),肺动脉高压(轻度),左室舒张功能减低。

术前CT评估

主动脉根部测量

左室大小及冠脉阻挡风险

钙化分布

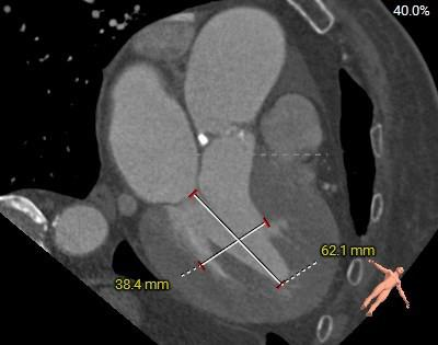
瓣环角度及弓角弓距

外周入路

病理特点及手术难点

◇ TYPE-0型二叶式主动脉瓣,左右冠不同窦,中重度钙化,钙化主要分布在瓣叶及交界区,左室流出道呈敞口状,综合多平面分析,预估瓣膜释放后有向下位移及瓣周漏可能;

◇ 左右冠高度可,左侧冠脉切线位瓣叶长度<左侧冠脉开口上缘到瓣叶附着缘距离长度<右侧冠脉开口上缘到瓣叶附着缘距离,左冠回旋支及右冠有钙化分布,结合瓦式窦及STJ预估冠脉阻挡风险较低;

◇ 左室心腔内径可;

◇ 主动脉瓣环水平夹角52°,非横位心,主动脉弓角度较锐(43°)及弓距偏短;

◇ 外周入路血管走形迂曲,降主动脉有较锐夹角,主动脉弓,降主动脉,胸主动脉,腹主动脉有附壁钙化分布,血管内径可。

手术策略

全麻,气管插管,经右侧锁骨下静脉入路放置临时起搏器。

右侧股动脉为主入路,左侧股动脉为辅入路,术中输送器过弓、跨瓣可备圈套器辅助,术中注意规范轻柔操作,避免入路血管损伤及相关并发症。直径20mm TaurusAtlas球囊进行预扩,预装TaurusElite AV26瓣膜。瓣环零位开始定位释放。释放过程中多角度造影,充分利用瓣膜系统部分及完全可回收功能,确认瓣膜基本稳定及瓣周漏效果后再完全释放。

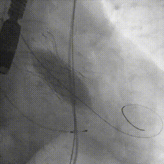
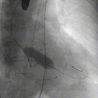
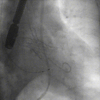
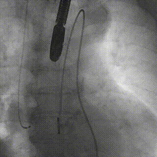
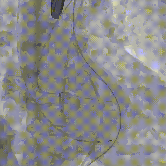
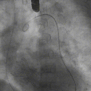
术中影像

主动脉根部造影

直头导丝跨瓣

球囊预扩

释放

后扩前

后扩

最终工作位置

术中及术后未出现相关并发症,瓣膜植入位置完美,患者症状得到明显改善,手术圆满完成。

术前术后超声

科室简介

新乡市第一人民医院心血管内科一病区是我市重点专科,是国家级胸痛中心、房颤中心、心衰中心,国家级住院医师培训基地、全科医师培训基地;是新乡地区规模较大、技术力量雄厚、融无创与有创协同治疗于一体的心血管疾病诊治中心,科室硬件设施一流;现设有床位65张,包括心内科一区(60张)、心脏重症监护室(CCU)(5张),拥有心脏专用导管室, 血管内超声(IVUS),血管光学相干断层成像(OCT),冠状动脉血流储备指数(FFR),主动脉内球囊反博(IABP)冠脉钙化旋磨系统;心内电生理三维标测系统;心脏有创血流动力学监测系统等一系列先进监测及治疗仪器;在冠心病复杂冠脉介入治疗、血管内超声、OCT,冠状动脉血管内旋磨,经皮结构性心脏病介入方面均居我市领先水平。心脏起搏与射频消融术处于我市前列。设有心衰,房颤,胸痛专科门诊、心血管疾病康复室、心血管无创检查室、心脏彩超室、心电图室、活动平板室、心电生理室等部门。   

新乡市第一人民医院心血管内科,凭借着强大的胸痛、心衰诊疗、房颤、顶尖手术治疗团队,一流的康复护理手段,出色的随访团队,对房颤,心衰,冠心病的患者全方位评估,使患者从院前院中院后全方面提供医疗支持,进而提高我市心脏病患者的生存时间,降低医疗成本,改善生活质量。

专家简介

郭彤

新乡市第一人民医院

心血管内科一病区主任 副主任医师,胸痛中心主任,心衰中心主任;河南省医师协会心血管专业委员会委员 河南省微循环专业委员会委员 河南省医师协会介入医师协会 委员 新乡电生理及起搏专业委员会副主任委员 新乡市心血管病介入治疗质量控制中心 副主任委员 心血管专业委员会委员,介入专业委员会委员,新乡市中医药学脑心同治专业委员会常委,医院十佳医师,中部地区CTO俱乐部成员;擅长急性心肌梗死介入治疗,药物球囊治疗冠心病;冠脉旋磨治疗冠脉钙化病变,冠状动脉血管内超声检查;冠状动脉光学相干断层成像检查,冠脉血流储备分数检查,逆向介入治疗冠状动脉慢性闭塞病变;保护伞下冠状动脉桥血管介入治疗,左心耳封堵术;经皮主动脉瓣置换术;冠脉微导管血流储备分数检查等一系列心血管介入技术。在国家级专业期刊发表论文十余篇。编写专著3部。

阅读数: 567