凝心聚力,守护”心门"|汤圣兴教授团队成功完成一例重度钙化伴轻度反流Type 0型二叶式主动脉瓣重度狭窄TAVR手术

2022年10月21日,皖南医学院弋矶山医院汤圣兴教授与麻醉科、超声医学科、影像科、血管外科等多学科协作,带领团队成功为一名重度钙化伴轻度反流Type 0型二叶式主动脉瓣重度狭窄的患者完成TAVR手术。

病史资料

患者为74岁女性,2年前无明显诱因下出现心慌、气喘、偶伴胸痛,于体力劳动后加重,休息后好转。1周前,患者自觉胸闷加重。外院超声心动图提示:主动脉瓣重度狭窄伴轻度瓣口反流,轻度肺动脉高压。

现患者为求进一步治疗,入院就诊。拟“心脏瓣膜病”收住入院,入院诊断:心脏瓣膜病,主动脉瓣重度狭窄、心功能不全。

心脏超声

峰值流速4.88m/s,最高跨瓣压差95mmHg,平均跨瓣压差54mmHg,瓣口面积0.57cm²,左室射血分数EF 62%,左室舒张末期内径(LVD)44 mm。

诊断结果

主动脉瓣明显钙化(二叶瓣)伴重度狭窄,轻度返流;

左室壁弥漫性增厚,左室流出道加速不明显;

二尖瓣轻度反流;

心房增大;

升主动脉瘤样扩张、主肺动脉增宽。

主动脉根部CTA

瓣环周长67.3mm,平均径21.4mm,LVOT周长73.0mm,平均径23.2mm;横位心76°,瓣叶交界钙化粘连;股动脉入路迂曲,分叉高度可,髂总-腹主钙化斑块;左侧血管平均最小内径6.0mm, 右侧血管平均最小内径6.1mm;左、右冠开口高度低,瓣叶长,窦宽相对瓣膜小,冠脉风险高。

手术策略

综合评估,该病例为二叶式主动脉瓣,Type 0型,瓣叶纤维增厚,重度钙化;冠脉风险高;钙化重且延伸至流出道,存在瓣环撕裂、瓣周漏风险;横位心76°,瓣叶交界钙化粘连;升主扩张,存在夹层破裂风险。考虑18mm球囊预扩,TAV21瓣膜,备TAV24瓣膜;右侧股动脉为主入路,VitaFlow Liberty™电动可回收瓣膜输送系统。

手术过程

患者全麻呼吸插管,TEE,JR4.0造影导管行髂外动脉造影示:髂外动脉弥漫性狭窄,最重70%狭窄。

髂外动脉狭窄

16扩张鞘扩张

沿导丝送入一枚60*120mm高压球囊于狭窄段7atm*120s扩张,AL1、AL2直头导丝跨瓣,测量压力阶差80mmHg,置于超硬导丝到左心。

60x120mm7atm*120s扩张

18m*40mm瓣膜球囊扩张导管,起搏160bpm,行球囊扩张。

18x40mm球囊预扩

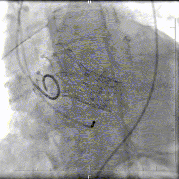
同侧Snare协助下成功将TAV21mm微创瓣膜支架系统沿导丝送达主动脉瓣狭窄处,定位满意后起搏160bpm,缓慢释放支架系统。

瓣膜定位

定位释放

完全释放

起搏160bpm后先后使用20m*40mm瓣膜球囊扩张导管后扩张支架瓣膜。

20x40mm球囊后扩

复查造影:瓣膜支架系统膨胀,微量瓣周漏,冠脉显影正常,测量压力阶差5mmHg;术后超声再次评估瓣膜形态,位置可,未见明显反流,手术圆满完成。

术后造影

全力以赴,逐个击破手术难点

术后,汤圣兴教授介绍道,此次TAVR手术主要存在两处挑战:

首先,这是一位重度钙化伴轻度反流Type 0型二叶式主动脉瓣重度狭窄患者,手术本身具有一定挑战性。其次,患者体重仅在70斤左右,双侧入路都非常狭窄,入路整体从股动脉到腹主动脉呈现严重扭曲,术中操作过弓困难;同时,患者心脏角度76°,为大角度横位心,增加了跨瓣难度。

守护“心门”一直都非易事,没有一台手术能随随便便成功,但世上无难事,只怕有心人。汤圣兴教授与团队将手术存在的各项风险逐一评估,并制定了相应策略,对于入路较细的问题,在血管外科协助下得以顺利解决;而横位心挑战也通过同侧Snare操作成功克服,手术最终取得成功。

“我们通过请教血管外科同事,在他们的帮助下,学会了用血管外科方法扩张狭窄的外周动脉。此外,考虑到患者需要进行左冠保护,我们选择进行同侧Snare,顺利解决了横位心的问题,没有出现血管并发症,术后经过各项检查,确认没有出现夹层的问题;患者的症状基本得到缓解,目前已经顺利出院。”能够让患者最大程度获益,是汤圣兴教授和团队倍感欣慰的结果。

本次手术团队继续选用了VitaFlow Liberty™电动可回收瓣膜输送系统,汤圣兴教授结合既往经验以及病例特点谈到:“该病例为Type 0型二叶瓣,钙化严重,而选用的微创瓣膜系统软硬适中,通过性较好,术中进行预扩后,瓣膜没有移位,表现非常稳定;此外,对于反流患者而言,我们认为它也是合适的选择。”

安徽省开展反流TAVR手术最多的团队

虽然TAVR适应证范围不断扩大,但考虑到AR患者主动脉瓣解剖结构的特殊性,使用TAVR技术治疗AR仍然极具挑战性。此前,汤圣兴教授带领团队成功挑战完成了一例超大瓣环、二叶瓣畸形合并重度AR的TAVR手术,在重度AR TAVR手术治疗领域突破新境界,探索出团队在解决复杂、重度AR患者病痛的新可能。

汤圣兴教授介绍,截至目前团队共计完成了约40例AR TAVR手术,手术量在安徽省内排名第一。同时,他也希望能够与其他中心展开合作,期待能助力我国专家改写TAVR指南,为重度AR患者的TAVR治疗提供来自中国、安徽、皖南的经验。

同舟共济,团队信念坚定前进步伐

2020年10月,独立完成院内首例TAVR手术;2021年11月,成功开展第20例;2022年5月,第50例;2022年8月,第66例;随着本次手术圆满成功,团队成功突破82例。一系列TAVR手术成功开展的背后,凝聚了皖南医学院弋矶山医院TAVR团队每一位成员的付出,经过不断磨合,彼此之间已经形成了充分的默契。

麻醉科医生会根据汤圣兴教授手术习惯提前用药,维持患者术中的生命体征稳定;超声科医生能从专业角度为术者提供清晰的超声图像,精准测量,辅助手术顺利开展......正是一群优秀的成员给予了汤圣兴教授无限的信心与勇气。

“感谢团队每一位成员,在大家的坚守下,保证了每台手术得以顺利实施。我们自独立开展TAVR手术以来,在摸索中逐渐形成了一套规则,坚持术前进行难点、注意事项讨论,术后所有患者都要进行超声复查,并且同步将结果上传至专门的TAVR群进行保存复盘,大家从来没有觉得辛苦,随着手术量不断积累,团队在一些关键环节中的配合越来越默契,信心也越来越强。”

自2014年担任皖南医学院弋矶山医院心内科主任,汤圣兴教授一路参与见证了科室的发展,截至2021年底,总体手术开展量从当初的800台上升到5500台,并且成为安徽省重点学科。下一步,科室将继续以建设六大中心(胸痛中心、房颤中心、心衰中心、高血压达标中心、结构性心脏病中心、心脏康复中心)为目标,积极开展新技术普及应用,重点发展结构性心脏病诊疗,对二尖瓣、三尖瓣诊疗领域发起探索。

凝心聚力,不懈探索,汤圣兴教授与团队在结构性心脏病诊疗之路上还将逆流而上。

专家简介

汤圣兴

皖南医学院弋矶山医院

大内科主任,心血管内科主任,医学博士,教授,主任医师,博士生导师。安徽省江淮名医、安徽省卫生系统青年领军人才(卫健委学术和技术带头人),美国Wisconsin大学访问学者,享受安徽省政府特殊津贴。现任全国心血管病介入诊疗技术培训项目冠心病介入专业培训基地主任,中国医师协会心血管内科医师分会委员会委员,安徽省医师协会心力衰竭委员会第一委员会主任委员,安徽省医学会心血管病分会副主任委员,安徽省医师协会心血管病医师分会副主任委员,安徽省中西医结合学会心血管病学专业委员会副主任委员,中华医学会安徽分会心血管病学分会委员,安徽省医师协会循证医学专业委员会第一届委员会副主任委员,国家心力衰竭医联体安徽省省级指导委员会副主任委员,安徽医药编委,中国临床药理学和与治疗学杂志编委,皖南医学院学报和江苏心电杂志编委。主持安徽省科技厅、卫生厅、教育厅和皖南医学院科研课题10项,获得安徽省自然科学三等奖2项,发表学术论文80余篇。


阅读数: 1848