嘉境·瓣旅 | 重庆大学附属三峡医院心外科李稳发主任团队连续成功完成3例高难度TAVR植入

近日,重庆大学附属三峡医院心外科李稳发主任团队连续成功完成3例经导管主动脉瓣置换(TAVR)手术,病例极具挑战,

第一例患者82岁高龄,瓦氏窦、STJ内径小,左冠窦瓣叶长度>瓣叶附着缘到冠脉开口的距离,左右冠均有钙化,其中前降支50%狭窄,近横位心;

第二例尿毒症患者,重度钙化,双侧髂外动脉伴有溃疡、陈旧血栓,内径最细4.1mm,左侧为主入路;

第三例纯反流,升主轻微扩张。对术者及假体瓣膜有着较高的要求,术中使用可回收瓣膜优异的径向支撑力协助术者顺利完成手术,术后即刻患者血流动力学得到了显著改善,为患者带来更长久生存期受益和更高生活质量。

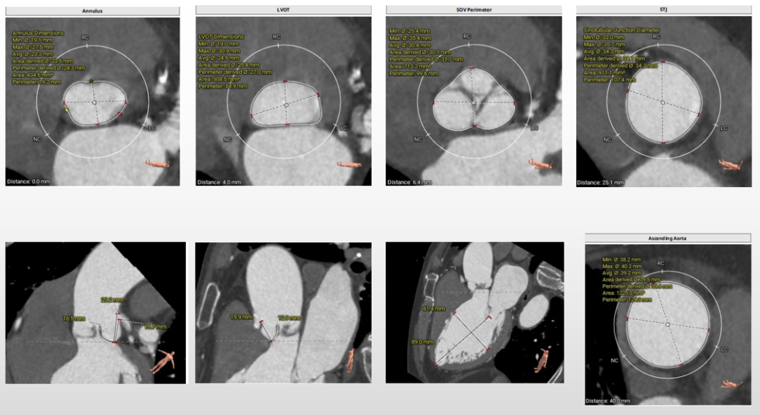
第一例术前评估

主动脉根部评估

三叶式主动脉瓣,瓣叶增厚,流出道呈敞口状,左右冠均有钙化,由于瓦氏窦、STJ内径小,左冠窦瓣叶长度>瓣叶附着缘到冠脉开口的距离,VTC3.1mm,术中冠脉阻挡风险较高。

瓣环上解剖结构评估

中度钙化,瓣上6-8mm限制最重,根据瓣环及瓣上情况,选18mm球囊预扩、AV23瓣膜。

外周血管及主动脉弓解剖

双侧髂总动脉轻度扭曲少量钙化,腹主动脉折角明显,入路血管直径尚可,选择右侧为主入路,左侧为辅入路。

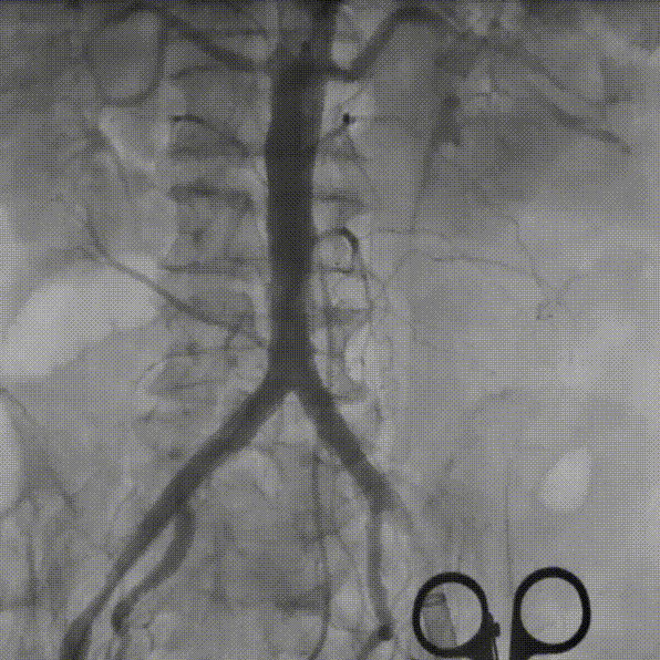
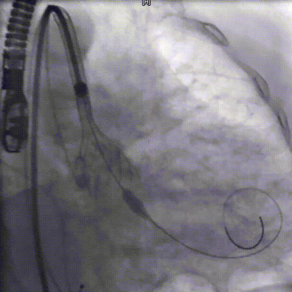
手术过程概览

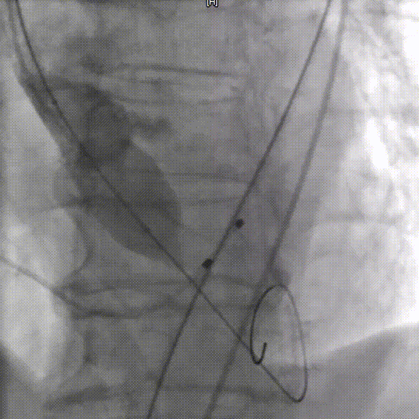
右侧主入路造影

左侧辅入路造影

主动脉根部造影

18mm球囊预扩,冠脉灌注良好 

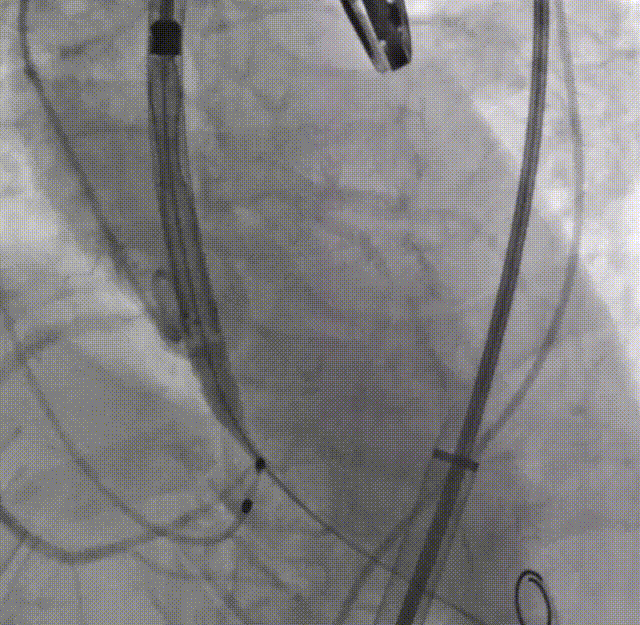
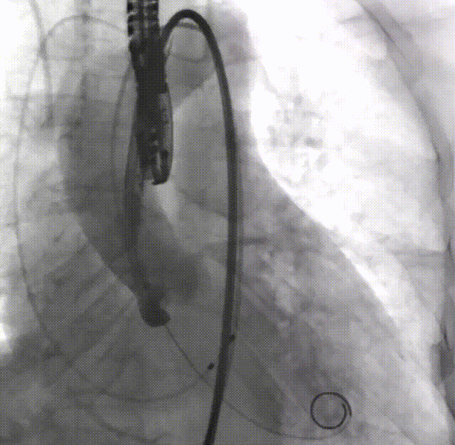
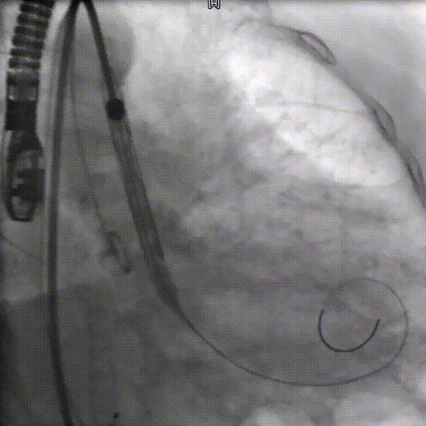
输送器过弓

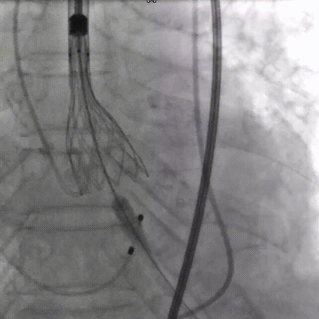
瓣下3mm定位

左冠窦侧偏深,需回收再定位

回收调整至零位定位,释放到工作位位置合适

完全释放后无反流,冠脉灌注良好

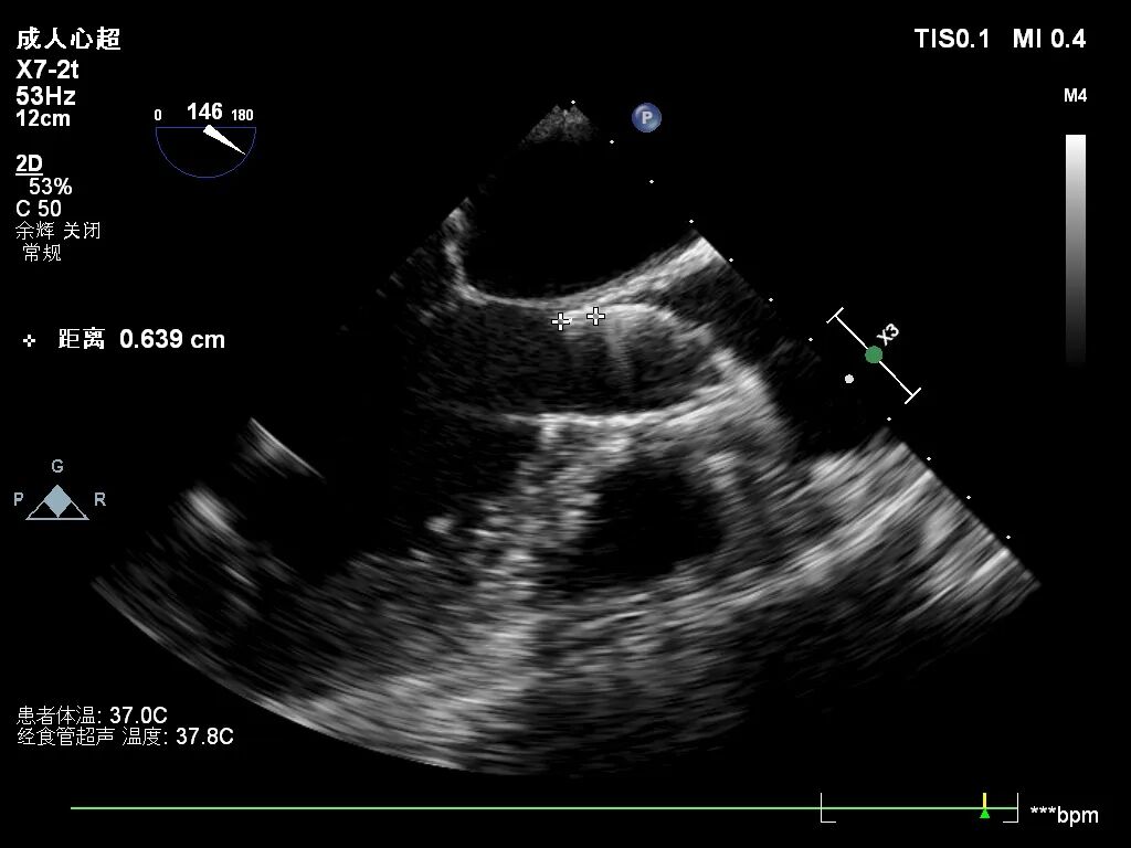
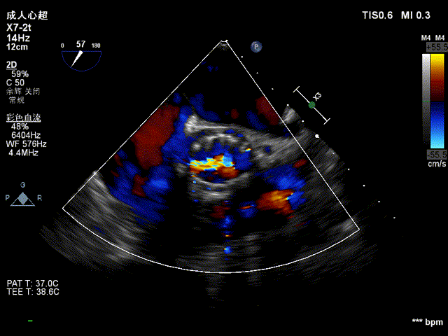
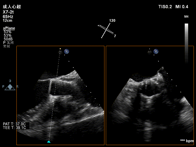
超声看位置合适,无反流

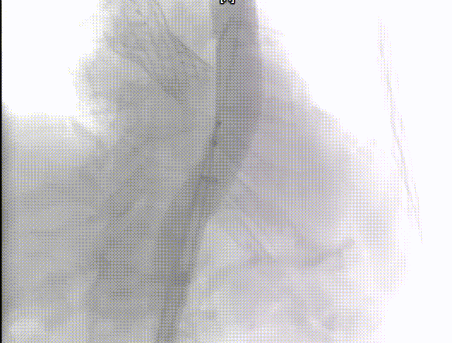
降主动脉良好

外周入路良好

患者压差从64mmHg降为4mmHg,效果显著。

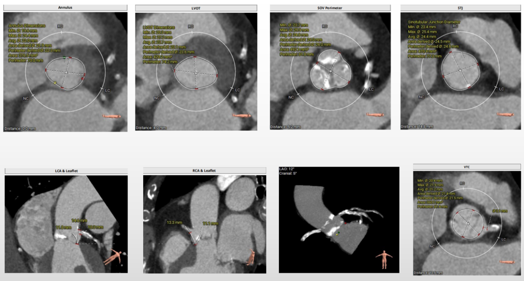
第二例术前评估

主动脉根部评估

三叶式主动脉瓣,瓣叶增厚,流出道呈直筒状,由于瓦氏窦、STJ内径小,左冠窦瓣叶长度>瓣叶附着缘到冠脉开口的距离,术中有冠脉阻挡风险。

瓣环上解剖结构评估

重度钙化,瓣上4-8mm限制最重,根据瓣环及瓣上情况,选20mm球囊预扩、AV23瓣膜。

外周血管及主动脉弓解剖

双侧髂总动脉轻度扭曲少量钙化,双侧髂外动脉内径细,左侧内径稍好,最细5.2mm,选择左侧为主入路,右侧为辅入路。

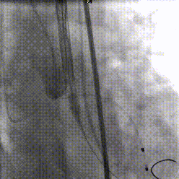
手术过程概览 

整体入路造影,右侧细,走左侧为主入路,左侧用外周球囊预扩后送大鞘

术前压差163mmHg 

20mm球囊预扩,球囊下滑

再次预扩,球囊上跳

瓣下3mm定位

释放到工作位,瓣下5mm左右

缓慢脱钩

左冠窦侧微量反流

22mm球囊后扩

患者压差从163mmHg降为6mmHg,效果显著。

第三例术前评估

主动脉根部评估

三叶式主动脉瓣,瓣叶增厚,流出道呈敞口状,升主轻微扩张,左心室偏大,左冠窦瓣叶长度>瓣叶附着缘到冠脉开口的距离,术中有冠脉阻挡风险。

瓣环上解剖结构评估

无钙化,根据瓣环及瓣上情况,选AV29瓣膜。

外周血管及主动脉弓解剖

双侧髂主动脉轻度扭曲无钙化,双侧入路内径良好,选择右侧为主入路,左侧为辅入路。

手术过程概览

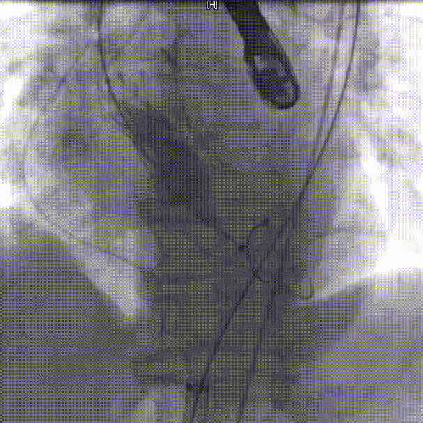
主动脉根部造影,反流明显

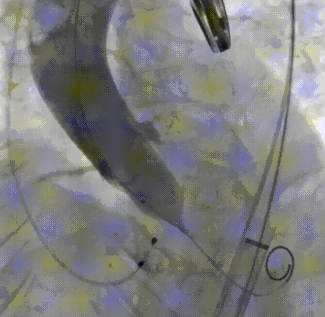
瓣上3mm定位

释放到工作位下滑至零位

瓣架打平,同轴性好

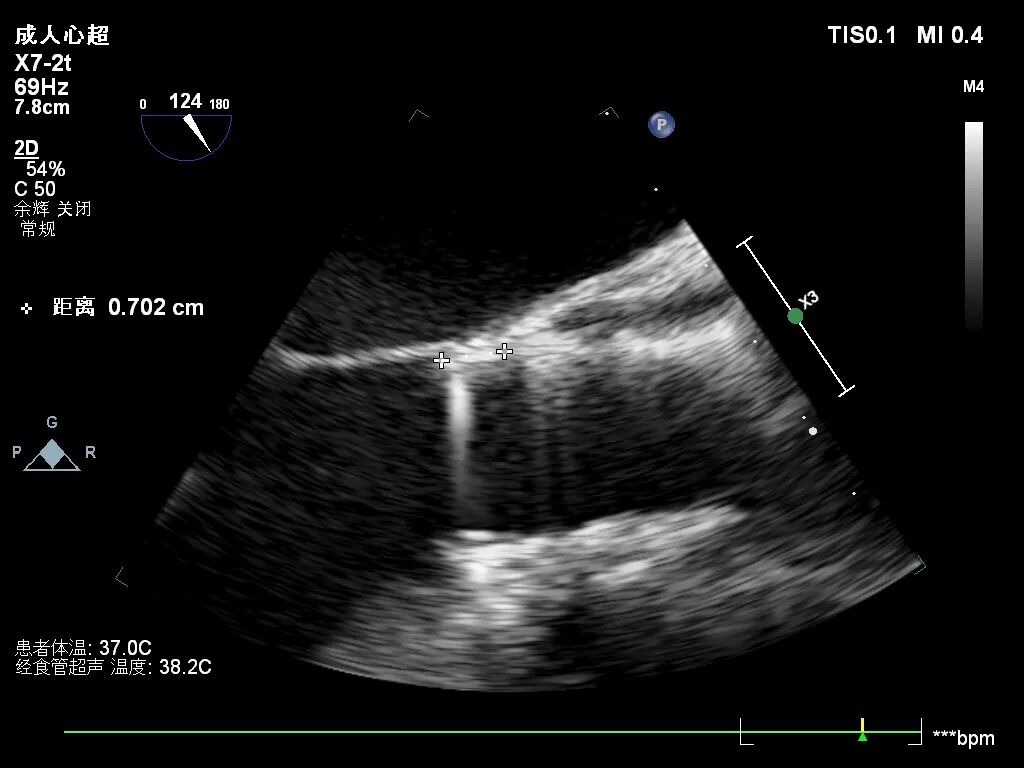
超声看左冠窦侧6mm左右

完全释放,无反流

超声看完全释放下滑至7mm

几乎无反流

几乎无瓣周漏

观察后无下滑

手术难点及心得

第一例患者78岁高龄,瓦氏窦、STJ内径小,左冠窦瓣叶长度>瓣叶附着缘到冠脉开口的距离,术中冠脉阻挡风险高。对于冠脉风险高的患者可以提前放入导丝或者支架,也可以根据球囊预扩冠脉灌注的情况是否植入支架保护。

第二例患者由于为尿毒症患者,钙化硬度非常高。球囊扩张时移动,后扩时可以选大一号的球囊,对于入路较细的可以先用外周球囊或者小型号些的大鞘预扩,后大鞘内芯预扩看阻力是否继续手术。

第三例对于纯反流的病例,解剖上除了瓣环还需要至少一个额外的锚定点,释放到工作位要完全释放时起搏释放可以减少瓣膜的位移。

心脏瓣膜病症状

患者常表现为活动后心慌、气短、疲乏和倦怠,活动耐力明显减低,稍作运动便出现呼吸困难。本病治疗不及时可合并出现心房纤颤、急性肺水肿、血栓栓塞、心力衰竭等。

1、二尖瓣狭窄症状:呼吸困难、咳嗽、咯血、声嘶,重度二尖瓣狭窄常有“二尖瓣面容”,双额绀红。

2、主动脉瓣狭窄症状:患者会在活动后出现头晕、黑蒙甚至晕厥。也可出现心前区不适或心绞痛症状。

3、二尖瓣关闭不全症状:患者代偿期可无症状,当左心衰竭时可有心悸、气促、乏力等。

4、主动脉瓣关闭不全症状:患者早期无症状,或有心前区不适或头部动脉搏动感。晚期可出现左心衰竭症状,急性重症患者有胸痛。

5、三尖瓣狭窄症状:患者会表现出心排血量降低引起的疲乏,体循环淤血所导致的腹胀、纳差、恶心、呕吐、消瘦、水肿、胸腹水等症状。

6、三尖瓣关闭不全症状:无肺动脉高压情况下,大多数患者无明显症状。肺动脉高压合并三尖瓣反流时,心输出量降低,右心衰症状即出现,在此情况下,患者会出现疲乏、颈动脉搏动、肝大疼痛、腹胀、水肿等。

如有以上症状,尽快去医院进行超声影像检查,必要时进行瓣膜置换手术。

专家简介

张俭荣

重庆大学附属三峡医院

副院长、心脏大血管外科学科带头人。重庆大学附属三峡医院首席心脏病专家、重庆市心血管外科协会副主委;主持省部、区级科研项目9项,发表学术论文25余篇:主刀各类心脏大血管手术近2000余例;擅长瓣膜疾病、主动脉疾病、冠心病的常规及微创手术治疗。

李稳发

重庆大学附属三峡医院

心脏大血管外科主任;主要研究主动脉疾病、重症心脏瓣膜疾病,心脏多瓣膜疾病,冠状动脉粥样硬化性心脏病、心脏肿瘤及心房颤动的诊治:对重症心脏疾病的监护治疗经验丰富。

阅读数: 2551