嘉境·瓣旅丨陕西中医药大学第二附属医院柏本健主任团队成功应用TaurusElite为高龄重度AS患者完成TAVR植入

2022年11月5日,陕西中医药大学第二附属医院心外科柏本健主任田永仓聂太宝医生麻醉医生刘德军,联合超声科林思昭医生导管室技师团队,成功应用TaurusElite可回收经导管主动脉瓣系统,为一位78岁高龄主动脉瓣重度狭窄患者实施TAVR手术。患者自10年前便间断出现胸闷、胸痛等症状,由于高龄且合并其他疾病,无法接受外科手术置换主动脉瓣,一直未得到有效治疗。随着TAVR技术蓬勃发展,越来越多的主动脉瓣狭窄患者,可以接受这一创伤极小的的手术,完成主动脉瓣置换,重获“心生”。故而患者慕名来到陕西中医药大学第二附属医院就诊,在柏本健主任团队详细评估之后,顺利为其实施TAVR手术。术后TaurusElite瓣膜表现优异,血流动力学改善显著,患者生活质量明显提高。

患者基本信息

女性,78岁,主诉间断胸痛、胸闷十余年,加重一年有余,既往糖尿病史20年,高血压病史20年,房颤病史1年余。入院后心脏彩超检查,提示主动脉瓣重度狭窄合并轻度主动脉瓣反流。

术前CT评估

• 三叶式主动脉瓣,瓣叶增厚,R-L交界增厚粘连,轻度钙化,钙化主要沿无冠窦瓣缘分布;LVOT近似直筒型;

• 左、右冠高度可,切线位测量,左窦瓣叶稍长于左冠开口下缘;左主干及前降支可见部分钙化斑块;

• 左室内径偏小;

• 瓦氏窦内径尚可,STJ小于30mm,升主动脉无扩张,瓣上40mm处测得约33.7mm;

• 主动脉瓣水平夹角约59°,接近横位心,主动脉弓宽度角度可,弓顶部少许钙化分布;

• 股-髂动脉走行适宜,内径可,腹主-髂总较多钙化分布。

主动脉根部评估

钙化评估

冠脉评估

瓣上多平面分析

主动脉弓

股动脉入路

3D打印评估

术前3D打印评估主动脉根部

术前手术策略讨论

• 三叶式主动脉瓣,瓣叶增厚,R-L交界疑似增厚粘连,轻度钙化,钙化主要沿无冠窦瓣缘分布,LVOT近似直筒型,预估假体瓣膜植入锚定难度适中,结合瓣环及瓣上分析尺寸,选择TaurusElite AV23瓣膜,可以保证充分锚定力且径向支撑性好;

• 左、右冠高度可,切线位测量,左窦瓣叶稍长于左冠开口下缘,结合瓦氏窦、STJ内径综合预估,冠脉阻挡风险适中,术中在瓣膜释放至工作位后进一步观察冠脉灌注情况;

• 左室内径偏小,术中密切关注血流动力学变化;

• 接近横位心,升主无扩张,主动脉弓宽度角度可,预估TaurusElite输送器可顺利过弓及跨瓣,弓顶部少许钙化分布,过弓时轻柔操作;

• 股-髂动脉走行适宜,内径可,腹主-髂总较多钙化分布,股动脉穿刺点位置附近无钙化,选择右侧股动脉作为主入路。

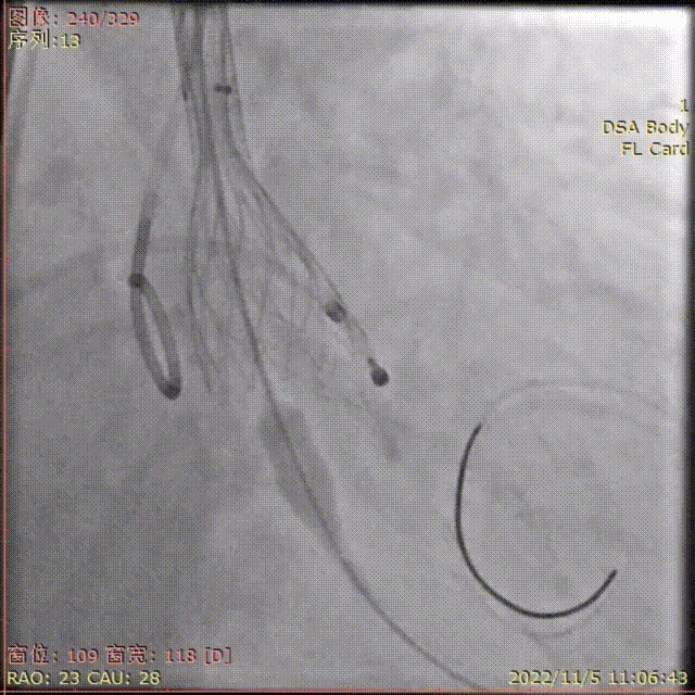
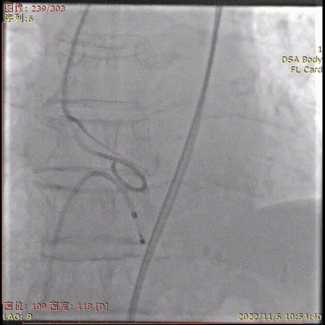
术中影像

主动脉根部造影

导丝顺利跨瓣

TaurusElite输送器顺利过弓

瓣膜初始定位

瓣膜稳定释放到工作位,无位移

工作位多角度评估

瓣膜完全释放

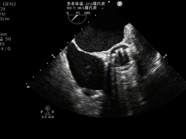
术后超声评估

植入后超声多切面评估,瓣膜位置理想,血流动力学改善显著。

科室介绍

陕西中医药大学第二附属医院心脏外科是集医疗、教学、科研为一体的重点学科,也是咸阳市特色专科,为咸阳市心胸外科质控中心挂靠单位,陕西省体外生命支持分会副主任委员单位,咸阳市医学会心脏和血管外科委员会主任委员单位,上海同济大学附属东方医院Jarvik Heart VAD人工心脏装置(中国)首批多中心临床试验和应用合作单位之一。

科室现有医护人员31人,包括主任医师1名,副主任医师2名,主治医师4名,住院医师2名;副主任护师1人,主管护师3人,护师10人,护士6人。病区开放床位42张、ICU开设床位10张,拥有百级层流复合杂交手术室。配备呼吸机、有创动脉血压监护仪、除颤仪、主动脉球囊仪、体外循环机、CRRT(床旁血滤机)、ECMO(体外膜肺氧合机)、无创血流动力学监测系统等设备,为临床急重症患者的救治提供了可靠保证。

专家简介

柏本健

陕西中医药大学第二附属医院

陕西中医药大学第二附属医院心外科主任,主任医师,硕士研究生导师。兼任中国医师协会心血管外科分会委员,中国医师协会心血管外科分会心脏瓣膜和心衰委员会委员,陕西省心脏重症委员会常委,咸阳市医学会心脏及血管外科专业委员会和咸阳市心胸外科质控中心主任委员。从医30余年,完成了近5000例心血管手术。曾先后获得第四届“中国医师奖”,第十一届“中国健康传播大使•突出贡献奖”,陕西省“科技兴陕”有突出贡献人物,陕西省“医德标兵”,陕西省“白求恩精神奖”,以及第一届和第二届中国医师节陕西省“优秀医师”等称号,并入选 “2021年中国心血管外科专家50强”。

阅读数: 634