嘉兴市第一医院完成嘉兴地区首例VitaFlow Liberty™植入,成功救治一名80岁重度主狭患者

嘉兴市第一医院心血管内科团队为一位主动脉严重狭窄、钙化、关闭不全的高龄患者实施TAVR手术,即经导管主动脉瓣置换术。此项技术是嘉兴市第一医院完成的首例TAVR手术,填补了本院“心”技术的空白,标志着本院心血管介入技术再上台阶。

病史资料

男性,80岁,患者1月余前在其他医院体检时发现主动脉瓣及二尖瓣区局部致密影;

心电图提示:左心室高电压、ST段压低、T波改变。患者遂查心脏彩超提示主动脉瓣狭窄,患者现无明显不适,为进一步诊治收住入院。患者自述有高血压病史,目前未用药治疗。

诊断

1、主动脉瓣狭窄(重度);

2、二尖瓣脱垂;

3、肺动脉高压重度;

4、颈动脉硬化;

5、甲状腺结节;

6、左肾囊肿;

7、肝血管瘤;

8、右肝囊肿;

心脏超声

结论:

1、主动脉瓣钙化性病变:主动脉瓣极重度狭窄伴轻度关闭不全;

2、二尖瓣后内联合部脱垂伴轻度-中度关闭不全;

3、三尖瓣少-中等量反流,肺动脉收缩压重度升高;

4、左房增大,左室肥厚,左室整体收缩功能正常低值,左室舒张功能减低(II级)。

术前讨论

经过与王建安教授、刘先宝教授的探讨,翟昌林主任总结了该病例特点:

1.该患者为Type-1型二叶瓣。瓣叶略微增厚、重度钙化;

2.钙化主要分布于无冠瓣叶、右冠瓣叶交界,如支架与血管壁贴合不牢,可能会造成较多瓣周漏;

3.该患者股动脉内径偏小,轻度迂曲。

手术策略

通过充分的术前讨论,翟昌林主任决定使用24mm球囊进行预扩,植入上海微创心通的27# VitaFlow Liberty™瓣膜,使用输送系统自带内联鞘;

该瓣膜径向支撑力适中,能够更好的贴合钙化与血管壁,且独有的10mm双层裙边能够有效减少瓣周漏;

该患者钙化于三个窦内的分布并不均匀,对于释放的稳定性要求更高,VitaFlow Liberty™全球独有的电动释放输送系统,在释放瓣膜时能够更精准的操控,提升瓣膜释放过程的稳定性;

此患者的股动脉内径最窄处仅有6.2mm,VitaFlow Liberty™的自带内联鞘系统可降低对血管内径的要求,使装载了瓣膜的输送系统能够顺滑的通过股动脉,降低血管并发症的风险。

手术过程

患者全麻,气管插管。经左侧股动脉作为辅入路,将6F猪尾巴导管送至无冠窦窦底,右股动脉作为主入路,右侧股动脉作为主入路,置入18F大鞘,先行主动脉根部造影,可见术前有轻中度返流,行24mm球囊进行预扩,无瓣周漏,无明显腰征,双侧冠脉血流通畅,决定按计划选择27# VitaFlow Liberty™瓣膜,在王建安教授的线上指导、刘先宝教授的现场支持下,将瓣膜释放至功能位,再次造影发现瓣膜位置偏高,遂进行回收,再次释放,最终脱钩,再次造影确认瓣膜位置及形态良好,压差从术前的80mmHg降低至2mmHg,无瓣周漏。

嘉兴市第一医院翟昌林教授、浙江大学医学院附属第二医院刘先宝教授术中操作

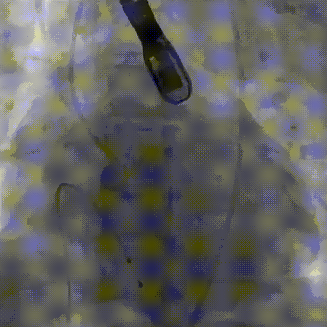
主动脉根部造影

24mm球囊预扩

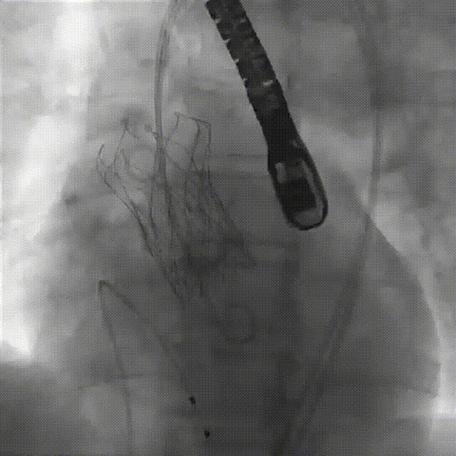
瓣膜初始定位

释放到工作位评估植入深度,

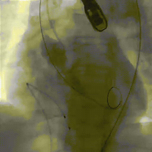
瓣周漏情况

完成瓣膜植入

浙江大学医学院附属第二医院王建安书记线上评估瓣膜植入深度、瓣周漏情况

“心心相赢”党建会

手术当日,我院心血管内科党支部还与浙江大学医学院附属第二医院心脏党总支进行了“心心相赢”党建联建活动。浙江大学医学院附属第二医院党委书记王建安、心脏总支部书记刘先宝,嘉兴市第一医院党委书记钱钢,心血管内科党支部书记翟昌林王志勇副主任、徐文博副主任等参加活动。活动中,共建双方就学科建设经验成果、经历分享、建设目标、存在问题等方面相互探讨。钱钢书记提出希望今后能与浙江大学医学院附属第二医院心血管内科进行更广泛的合作和交流,党建引领业务,业务促进党建。

结语

在多学科协作下,嘉兴市第一医院心血管内科完成经导管主动脉瓣膜置入(TAVR)手术,经过2个小时紧张有序的操作,手术取得圆满成功,患者苏醒后顺利转入普通病房,术后第四天即顺利出院。

翟昌林教授说到,相比传统开放手术,经股动脉的TAVR手术,不需要体外循环,不需要打开胸骨,几乎没有明显的失血,麻醉时间更短,创伤小、恢复快。

嘉兴市第一医院心血管内科开展TAVR手术,突破性的医疗新技术,这将为辖区内更多患者带来福音。

随着我国社会的老龄化,越来越多的高龄患者严重退行性主动脉瓣狭窄,已成为影响人类寿命和社会健康的重要疾病。据统计,主动脉瓣狭窄发病率在>75岁人群达2.5%,在>85岁人群可达8%,是仅次于高血压和冠心病是第三常见的心血管疾病,一旦患者出现症状后不及时治疗,平均生存期仅为2-3年,成为威胁老年人生命的严重老年病。

经导管主动脉瓣置换术(TAVR)是指通过输送系统将人工辦膜送至主动脉瓣环的位置并释放、固定于主动脉瓣环,来代替患者发生病变的主动脉瓣。作为一种新兴技术,对AS患者者创伤小,不需要输血、住院时间短、恢复快,给外科手术禁忌或者高危的忠者带来了治愈的希望。

阅读数: 1940