祝贺中国科学技术大学附属第一医院(安徽省立医院)徐健教授团队TAVR突破100例!

2022年12月09日,中国科学技术大学附属第一医院(安徽省立医院)徐健教授团队成功完成了第100例TAVR植入!本次患者主动脉瓣结构是罕见的四叶瓣,主要诊断为“主动脉瓣重度反流”,术前徐健教授联合超声科、医学影像科对患者病情进行全面评估,在麻醉科、CCU团队等科室全体医护人员的协同配合下,瓣膜植入后工作稳定,血流动力学有效改善,患者即刻获益,手术取得圆满成功!

患者基本情况

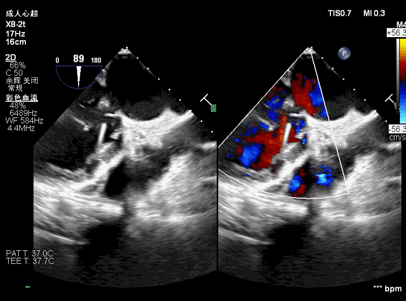
女性,72岁,身高152cm,体重62kg,3~4年前发现房颤,4月前出现胸闷、憋喘、乏力、双下肢水肿等症状并逐渐加重,于我院就诊,心脏超声提示:

1、 主动脉瓣中重度反流(四叶式畸形);

2、 左房增大,左室偏大,室间隔基底段增厚;

3、 二尖瓣轻度反流;

4、 左心耳内血液高凝状态;

既往高血压病史十年、冠心病史、脑梗病史三月余,精神状态良好。

主动脉根部评估

四叶式主动脉瓣,右无间窦体发育较小且窦底高于瓣环平面约6mm;

AAO轻度扩张,Max>43.1;

目前针对单纯反流TF-TAVR锚定力较弱,而患者四叶瓣结构的特殊性更加增加了锚定的难度。

瓣环上结构测量

收缩期瓣上结构

收缩期瓣上可提供4~6mm筒状区域。

舒张期瓣上结构

舒张期瓣上5mm内区域均小于收缩瓣环径;

该病例的瓣上结构可提供的辅助锚定区域较长,有利于瓣膜的辅助锚定。

流出道结构测量

收缩期流出道结构

收缩期流出道可提供6mm筒状区域。

舒张期流出道结构

舒张期流出道约3mm筒状区域;

流出道收缩期和舒张期可锚定区域波动较大,整体约4mm辅助锚定区域。

冠脉高度、瓣叶长度及左室内径

左冠高度:7.1mm;右冠高度:13.4mm;

左冠-窦底距:9.7mm;右冠-窦底距:14.4mm;

左冠瓣长度:12.3mm;右冠瓣长度:14.8mm;

左冠水平高度较低,开口内径较大,瓣叶略长,LCC至对合缘距离约30mm,存在一定左冠阻塞风险。

左室室间隔基底部肌性凸起,增加了流出道锚定有利因素。

外周血管及主动脉弓形态

右侧股动脉分叉较高,考虑本中心常规采用切开游离方式,选择左侧主入路。

手术策略讨论

• 四叶瓣纯反流,无钙化及瓣叶增厚,常规的Oversize率可能存在不足,因此考虑备AV31瓣膜进行植入。

• AV31瓣膜腰部直径约27mm,可能会增加左冠阻塞风险,故讨论策略决定在植入前先行左冠保护,保证冠脉安全。

• 瓣膜主要锚定区为瓣环,瓣上6mm内、流出道4mm内提供次要锚定,室间隔基底部的增厚凸起为瓣膜锚定增加了有利因素,初始定位采用0位,释放后预计5~6mm整体植入深度。

手术过程概览:一波三折最终成功!

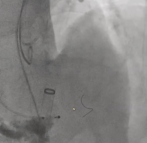
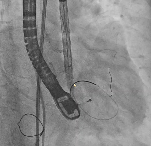
行左冠保护,预置左冠球囊

第一折:血压异常降低

降低原因 — 冠脉?

输送器系统跨瓣后,出现血压异常降低,血压下降至55/30mmHg,给予升压药物无效。

● 考虑冠脉保护球囊置入较深可能影响冠脉灌注?

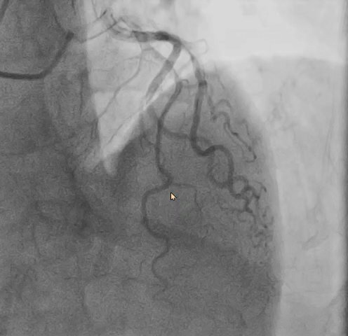
冠脉造影评估灌注后撤出球囊,血压未回升,给予升压药物仍无法回复血压。

降低原因 — 二尖瓣?

● 考虑超硬导丝缠绕腱索导致二尖瓣关闭受限,予以超声检查。

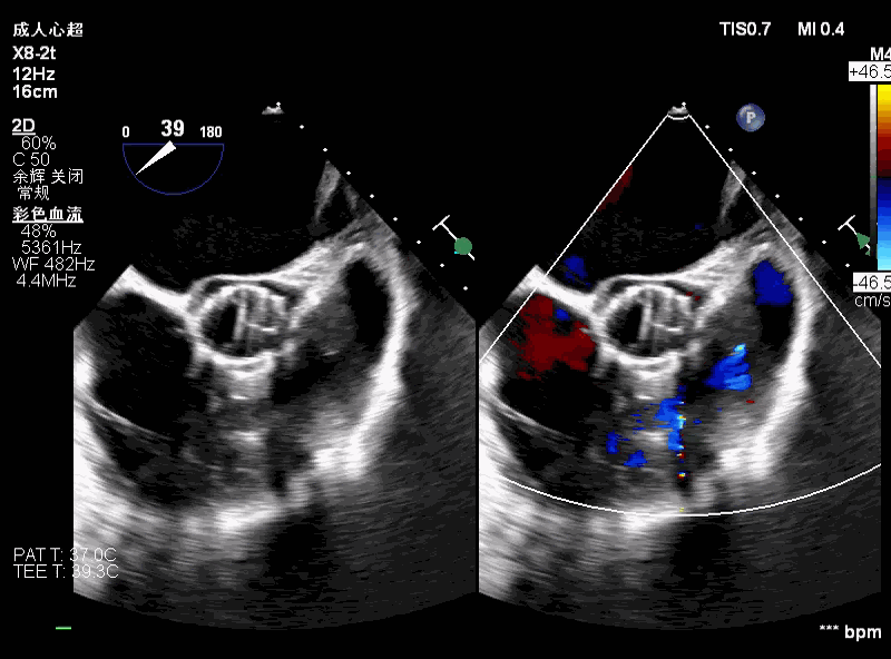
 术前评估主动脉瓣可见中大量反流,二尖瓣轻微反流。

术中超声可见超硬导丝缠绕,二尖瓣大量反流,引起血压无法回升。

撤出输送器,重新调整超硬导丝大小及位置,血压回升,患者情况稳定。

第二折:释放难?

初始定位约瓣下2mm位置,血压约110/58mmHg

● 第一次释放,初步张开后给予160次/分起搏,起搏后血压未降低反而升高至约135/80mmHg,释放前1/3过程中发生上跳,故回收。

● 第二次释放,初始定位在瓣下4mm,瓣膜张开后起搏,血压仍不降反升,仍在前1/3释放中发生上跳,故回收。

● 第三次释放,定位瓣下4mm再次尝试,起搏后释放,仍有上跳趋势,故回收。

● 第四次释放,定位约瓣下8mm,瓣膜初始张开后,略提拉寻找锚定位置,至瓣下4mm位置,起搏准备释放至工作位,仍有上跳趋势,故回收,考虑到远期患者获益,更换新瓣膜尝试。

第三折:定位难

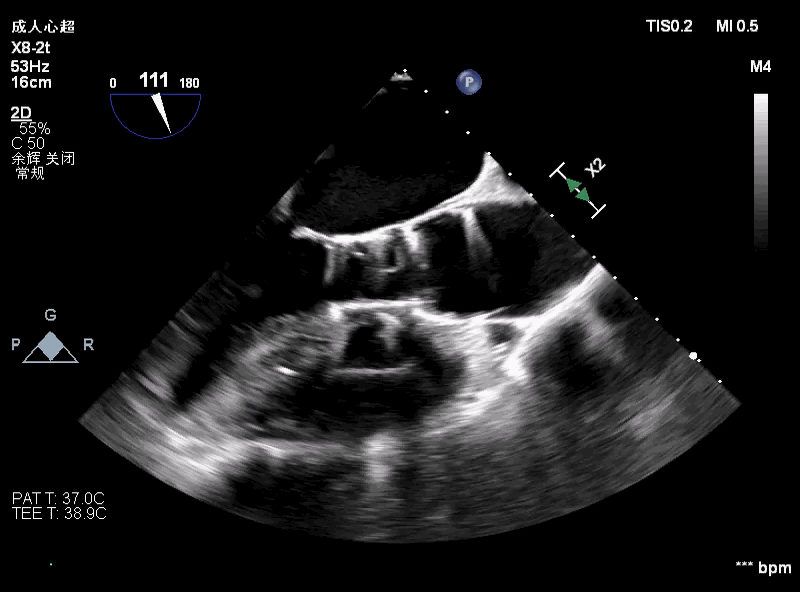
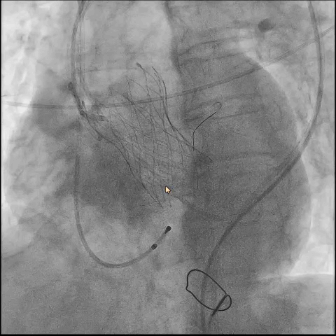
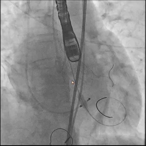
● 更换新瓣膜跨瓣后,猪尾难以送至无冠窦底,故行造影定位窦底。

隐约可见“无冠窦”后部更深窦底,位于“无冠窦”下约6mm,参考该位置后进行0位定位,无起搏逐步释放至工作位,瓣膜无明显位移表现,瓣膜形态压缩良好,造影评估无反流。准备释放瓣膜。


无张力释放,脱钩后瓣膜略微下滑,约位移瓣环下4~5mm位置,瓣膜整体形态良好,造影评估无可见反流。

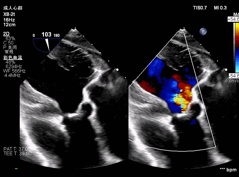
超声评估,微量瓣周反流,二尖瓣工作良好,植入位置理想。

结束手术,一波三折终成功!

术后经验分享

四叶式主动脉瓣在临床中非常罕见,同时合并单纯性反流使得人工瓣膜在锚定难度上也大大增加。该病例手术过程中一波三折,难点颇多,但关关难过关关过,最终还是取得了手术的圆满成功,这离不开术者团队高超技术及成熟经验!

初始在起搏下血压无法降低反而升高大大增加了手术难度,对团队的配合和技术提出了更高要求,三叶式主动脉瓣瓣环是单平面,四叶主动脉瓣瓣环是多平面,该病例也很好的体现了这一点,左右重合体位时,真实的无冠窦被右无间窦重合覆盖,导致了定位高度的多次误判,凭借着术者团队成熟经验、娴熟配合以及多次细致观察才找到了被“掩藏”起来的无冠窦底,最终取得了非常完美的手术效果,患者获益!

专家寄语

随着结构领域瓣膜病治疗手段的快速发展,以及手术经验的积累,经导管主动脉瓣治疗(TAVR)已成为目前结构瓣膜病治疗领域最新的方向,手术100台的突破,是我院此项技术突破一个新高度的标志!但也仅仅是技术发展的开端!加之人口老龄化的发展以及手术器械的更新迭代,未来如何更好更快的发展此项技术,服务患者,造福百姓,值得我们所有医疗服务者思考,未来可期!

专家简介

徐健

中国科学技术大学附属第一医院

心血管病内科主任医师,中科大博士研究生导师,心律失常亚专科科主任,房颤中心主任,心源性卒中防治基地主任,中华医学会安徽心电生理与起搏学会现任主任委员,中国心血管联盟安徽省房颤中心联盟主席,中华医学会心电生理与起搏学会委员,中国医师协会心律学专业委员会常委,中华医学会心电生理与起搏学会室性心律失常工作委员会委员,中华医学会心电生理与起搏学会左心耳工作委员会委员,中华医学会心电生理与起搏学会心力衰竭器械治疗委员会副主任委员,中华医学会结构性心脏病学会委员,安徽心血管病学会委员,美国心律学会fellow。

阅读数: 15529