
洞见“心”视界,新“声”谋未来
春暖花开,万物复苏,生机盎然。近日,宁波大学附属第一医院储慧民教授(项目共同主要研究者,Co-PI)率领团队成功启动并完成了赛禾医疗心腔内超声成像系统(ICE)上市前注册临床试验的浙江首例入组,标志着该项由上海市胸科医院何奔教授担任PI的中国首个国产ICE系统前瞻性、多中心注册临床试验项目步入了新的阶段,将加速在多种心脏介入手术类型中的临床实践经验积累。通过该注册临床,赛禾医疗自主研发的UDG3900彩色多普勒超声诊断仪和DynaSight®2D ICE导管有望在年内成为中国首个上市的国产心腔内超声成像系统,力争实现国产高端医疗器械又一“卡脖子”技术的全面突破。

洞见“心”视界
患者为47岁男性,1月余前因“头痛伴右侧肢体麻木1天余”到院就诊,经食道心脏超声检查,提示卵圆孔未闭。经心内科复诊,患者卵圆孔未闭明确,符合卵圆孔未闭封堵适应症。
手术情况
在经过术前充分的评估和准备后,储慧民教授率团队使用赛禾医疗的ICE系统进行了超声影像指导下卵圆孔未闭封堵术。

储慧民教授(右一)率团队实施ICE指导下卵圆孔未闭封堵术
术中情况
ICE导管经股静脉入路输送至患者的右心房,通过导管调弯,可以清晰观察到右心房、右心室、三尖瓣、房间隔、左心房、左心耳、左心室、二尖瓣等心脏结构,并通过超声心动图完成了血流的评估和卵圆孔未闭的评估。在ICE的指导下,封堵器一气呵成地完成释放。术后实时的超声心动图显示封堵器位置固定完美,封堵效果理想,手术取得圆满成功。ICE系统的超声影像质量和导管操控性能均表现优异,获得了临床专家的一致好评。
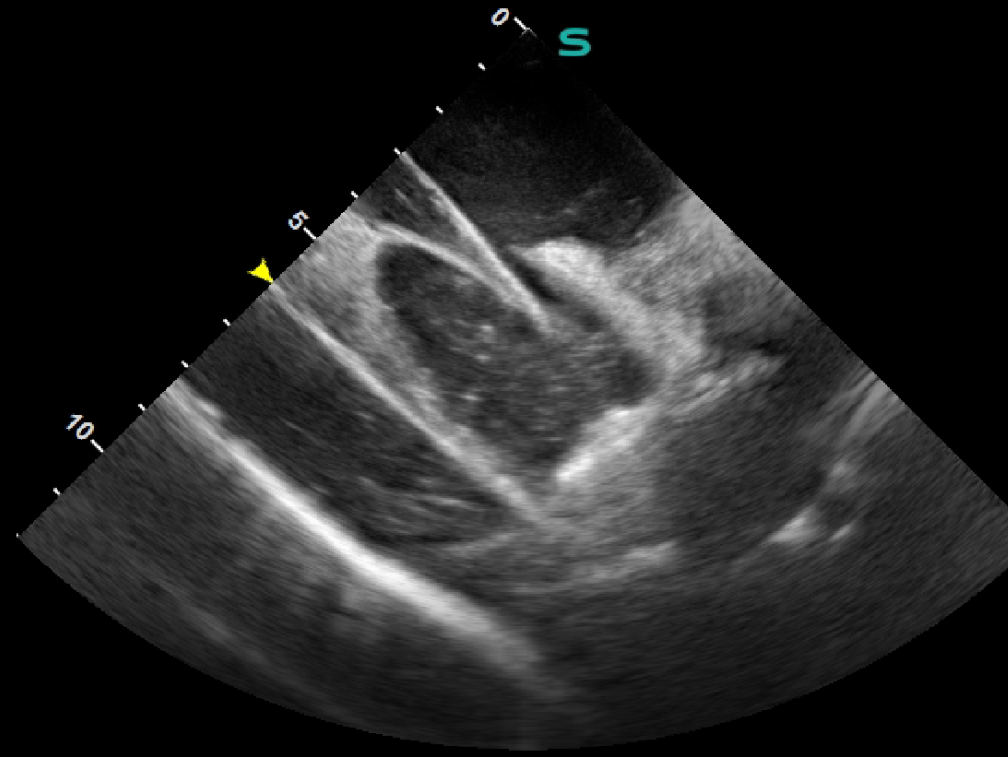
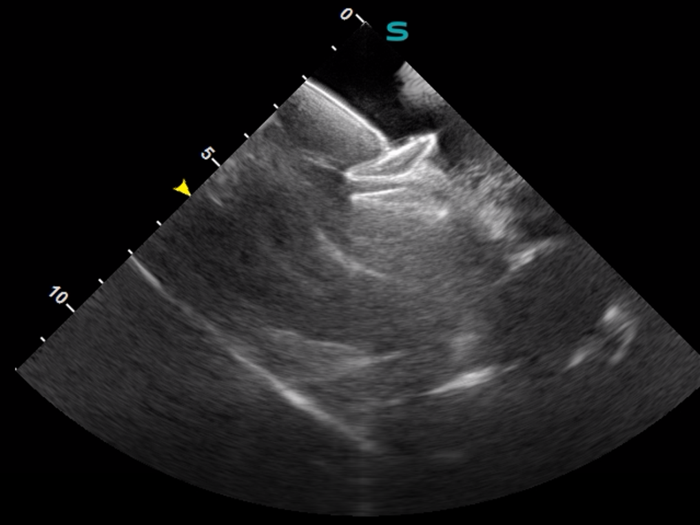
影像图片

封堵前的ICE评估确认

ICE指导房间隔穿刺

ICE指导PFO封堵

ICE评估PFO封堵效果
储慧民教授
心腔内超声(ICE)被称为介入医生深入心脏的“天眼”,具有“见所未见、看透一切”的特点,可应用于导管消融、左心耳封堵,结构性心脏病等几乎所有心脏介入领域,所以我们中心很早就应用了ICE技术,在全球首创了“LOVE术式(电解剖心腔内超声指导零射线左心耳封堵术)”也在2020年欧洲心脏病学会(ESC 2020)年会上发出中国学术强音。考虑到ICE技术多学科交叉的特点,我们又从2021年起开始举办《中国天眼大会暨心腔内超声指导心血管疾病诊疗峰会》,邀请跨领域的专家共同探讨和推广ICE的临床应用。令人鼓舞的是,我们今天看到了赛禾医疗作为国内行业先行者,已经率先突破了ICE这一“卡脖子”关键技术。第一代ICE系统就已经表现出来优异的导管操控性和清晰的图像质量,系统整体性能令人惊艳,达到了并部分超过进口同类产品水平。希望赛禾医疗不忘初心,与我们临床医生一起加强合作,普及和发展ICE这项优秀的技术,让更多的患者得到更加安全、精准、有效、绿色的治疗。
赛禾医疗刘斌董事长
赛禾医疗的中国首个国产ICE系统注册临床试验今年在众多专家的关心和支持下已顺利开启,近日宁波大学附属第一医院储慧民教授的启动入组将该项目推向了新的阶段。赛禾医疗一定不负期望,敢于争先,将继续在ICE技术上保持持续创新,与临床专家一起携手奋进,积极推动ICE技术实现更大范围、更深层次的临床应用普及,同时加速更先进4D-ICE技术的开发和产品实现,持续为广大医患群体创造价值。
新“声”谋未来
国产ICE乘风破浪
心腔内超声(ICE)是一种将相控阵超声成像和心脏导管术进行融合的经皮血管介入超声影像技术,可常规应用于房颤射频消融、房间隔穿刺、左心耳封堵、PFO卵圆孔封堵等心脏介入治疗手术。ICE具有实时超声成像、不受成像窗限制以及良好耐受性等优点,在手术实施过程中只需局部麻醉,无辐射,调弯操作灵活,超声影像全程可视,帮助临床医生获取心腔内的解剖结构,实时监测术中并发症,并进行多普勒血流评估,从此减少手术时间和手术并发症,也同时降低对于麻醉科、超声科资源的协同需求,帮助医疗机构进一步优化整体运营效率。根据学会和第三方调研结构数据显示,目前每年国内整体电生理手术量已超过20万例水平,各类结构性心脏病介入手术总计也超过10万例,并且在未来仍然将以高双位数迅速发展。ICE的临床应用将进入高速发展时代,大有可为。
2022年10月全球首个《心腔内超声心动图中国专家共识》正式发布,为推动ICE技术的临床普及提供了行业规范和指导,我们相信随着ICE技术逐渐得到更大规模的临床应用,心脏介入临床诊疗都会朝着更安全、更高效、更便捷的术式持续发展。
当前在泛血管介入领域,围绕技术赋能和疗法创新,国内高端医疗器械行业正在高速发展。赛禾医疗作为国内泛血管有源介入诊疗方案提供商和先行者,通过自主创新成功开发出首个国产ICE系统,突破了高端医疗器械又一“卡脖子”关键技术,填补了国内产业空白,将携手临床专家一起共同推进国产ICE的技术发展和临床应用,共同谱写一幅波澜壮阔的历史篇章。
专家简介
储慧民
宁波大学附属第一医院


