3月1日,陆军军医大学第二附属医院(新桥医院)肖颖彬、蹇朝教授团队应用J-Valve,成功为一名左冠遮挡高危、心功能极差的主动脉瓣狭窄患者完成1例经心尖入路TAVR。
病例特点:
冠脉风险+低心功。结合患者术前超声及CT分析,肖颖彬,蹇朝教授团队经过详细研讨,制定了完善的手术流程及预案。术中团队成员紧密配合,保证手术顺利开展,患者状态良好,血流动力学即刻改善。术后复查患者根部造影,无反流,冠脉血流通畅,复查超声,无瓣周漏,二尖瓣反流明显减少,手术圆满结束。

病史简介
患者为69岁女性。
主诉:劳累性心悸、气促1年。
门诊心脏超声显示:全心增大,升主动脉增宽;左室壁增厚;主动脉瓣增厚并明显钙化,重度狭窄,中度反流;二尖瓣中-重度反流,三尖瓣中度反流,反流压差增高,考虑有肺动脉高压;左室前侧壁、下壁、后壁动度降低,左室收缩功能降低、舒张功能减退。
诊断:主动脉瓣重度狭窄伴反流,二尖瓣中-重度反流,三尖瓣中度反流,肺动脉高压,升主动脉扩张,心功能III级,肝淤血、肾结石,髂总动脉狭窄。
CT分析
患者主动脉瓣三叶式,瓣叶基本等大,瓣叶增厚,瓣叶游离缘重度钙化,右无瓣叶交界钙化有融合,左右冠瓣钙化至窦底可见。主动脉瓣环周长折算直径约26.1mm:


升主动脉增宽,最大径44.6mm:

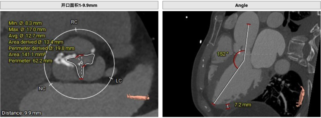
环上9.9mm开口面积141.1mm²,入路角度152°:

左侧冠脉开口高度低,LCA 9.1mm,左冠瓣瓣叶长度约14.7mm;右侧冠脉开口高度可,RCA 18.7mm:


重度钙化,850HU下765mm³:

主动脉弓、降主动脉及双侧髂总动脉散在钙化,降主动脉走行迂曲,胸-腹主动脉成角84°:

左髂总动脉局部增宽:

手术策略
本例患者双侧冠脉高度均小于瓣叶长度,尤其左冠开口 9.1mm,而左冠瓣瓣叶长度约14.7mm,加之窦高较小,此外右无交界钙化还可能在瓣膜释放中将瓣叶推挤至左冠开口,上述因素都预示了其左冠遮挡的极高风险。另外,该患者冠脉开口大且分叉距离短,无法做冠脉保护;加之心功能较差,循环崩溃风险高,食道超声评估未发现二尖瓣有结构性改变,考虑主动脉瓣重度病变导致的二尖瓣功能性改变可能性大;综合各项情况,团队最终选择进行经心尖入路TAVR。
患者瓣环周长径26.1mm,流出道径线30.1mm,右无钙化有融合伴重度钙化,拟选择25号瓣膜和25mm球囊预扩张。
手术步骤
猪尾放置于无冠窦行根部造影:

球囊预扩张:25mm球囊扩张可见轻微腰征,左冠瓣叶被完全推起来并超过左冠开口。

定位件入窦,瓣膜件下落到合适的瓣环平面造影:

释放瓣膜:瓣膜释放后造影确认发现左冠窦侧定位件将左冠瓣叶牢牢束缚在支架瓣膜上,让冠脉开口有更大的空间,团队决定行后扩张,以保证有更加完美的瓣膜形态和血流动力学。

再次以25mm球囊扩张后复查根部造影,瓣周未见明显反流,冠脉显影良好,超声复查,主动脉瓣无瓣周漏,前向流速1.8m/s,二尖瓣反流也较术前明显减少。

闭合外周入路,手术顺利完成。
本例患者左冠开口高度低,冠脉开口大且分叉距离短,无法进行冠脉保护,加之心功能较差,循环崩溃风险高,因此经心尖入路TAVR是合适治疗方案。手术的成功实施展现了肖颖彬,蹇朝教授团队勇于挑战,尽力为患者解除病痛的决心,也充分展现了团队在TAVR领域不断追求突破,长期积累的技术优势,团队将持续精进,为本地区广大患者提供更加优质的诊疗服务。
专家简介
肖颖彬
陆军军医大学第二附属医院(新桥医院)
主任医师,教授。陆军军医大学第二附属医院心血管外科技术带头人,全军心血管外科研究所所长,外科学和野战外科学教研室主任。是中华医学会胸心血管外科分会常务委员,中国医师协会心血管外科医师分会常务委员,全军胸心血管外科专业委员会主任委员,重庆市医学会胸心血管外科专委会名誉主任委员,重庆市心脏大血管外科医疗质控中心主任,重庆市医师协会心血管外科医师分会会长。
蹇朝
陆军军医大学第二附属医院(新桥医院)
副主任医师,副教授,博士研究生导师,陆军军医大学第二附属医院心血管外科副主任。在瓣膜成形重建和重症瓣膜疾病的综合治疗上有较深的造诣。融会外科瓣膜修复、瓣膜置换、微创和经导管介入技术,为不同瓣膜疾病患者提供个体化治疗。在微创冠脉搭桥、胸腔镜下房颤消融、梗阻性肥厚型心肌病(HOCM)的外科治疗中具有丰富经验。先后主持国家自然科学基金4项,重庆市重点项目1项,发表论文30余篇。是陆军科技英才、重庆英才·创新领军人才、重庆市中青年高端医学人才。任职中国医师协会心外科医师青年委员会委员,国家微创心血管外科专业委员会委员。

