“成功!”
2023年1月30号下午,北京大学深圳医院DSA(数字减影血管造影)手术室内,心血管外科韩振、任明明教授团队为一位急性重度肺动脉栓塞、呼吸衰竭患者采用了国际先进的单管双腔静脉插管,成功实施VV-ECMO(静脉-静脉方式的体外膜式氧合)。

心外科团队术中建立ECMO

经典two-site模式

双腔one-site模式
病人情况
患者男性,22岁,突发胸痛、晕厥,院外检查提示急性重度肺动脉栓塞,呼吸衰竭,氧合极差,生命危在旦夕,紧急送入北京大学深圳医院急诊。
接到抢救信息,院内心血管外科团队迅速出动。经积极抢救及进一步检查:患者确诊“急性肺动脉栓塞(重度);梗阻性休克;呼吸衰竭;左下肢深静脉血栓形成;肾功能不全;易栓症”。虽积极予以溶栓、抗凝、氧疗、强心、抗感染、CRRT等治疗,但患者心肺情况仍继续恶化。考虑患者有家族遗传性易栓症,血栓有继续进展可能,团队会诊决定在DSA手术室以介入微创方式行“肺动脉血栓抽吸术;下腔静脉滤器置入术”,同时行ECMO支持。
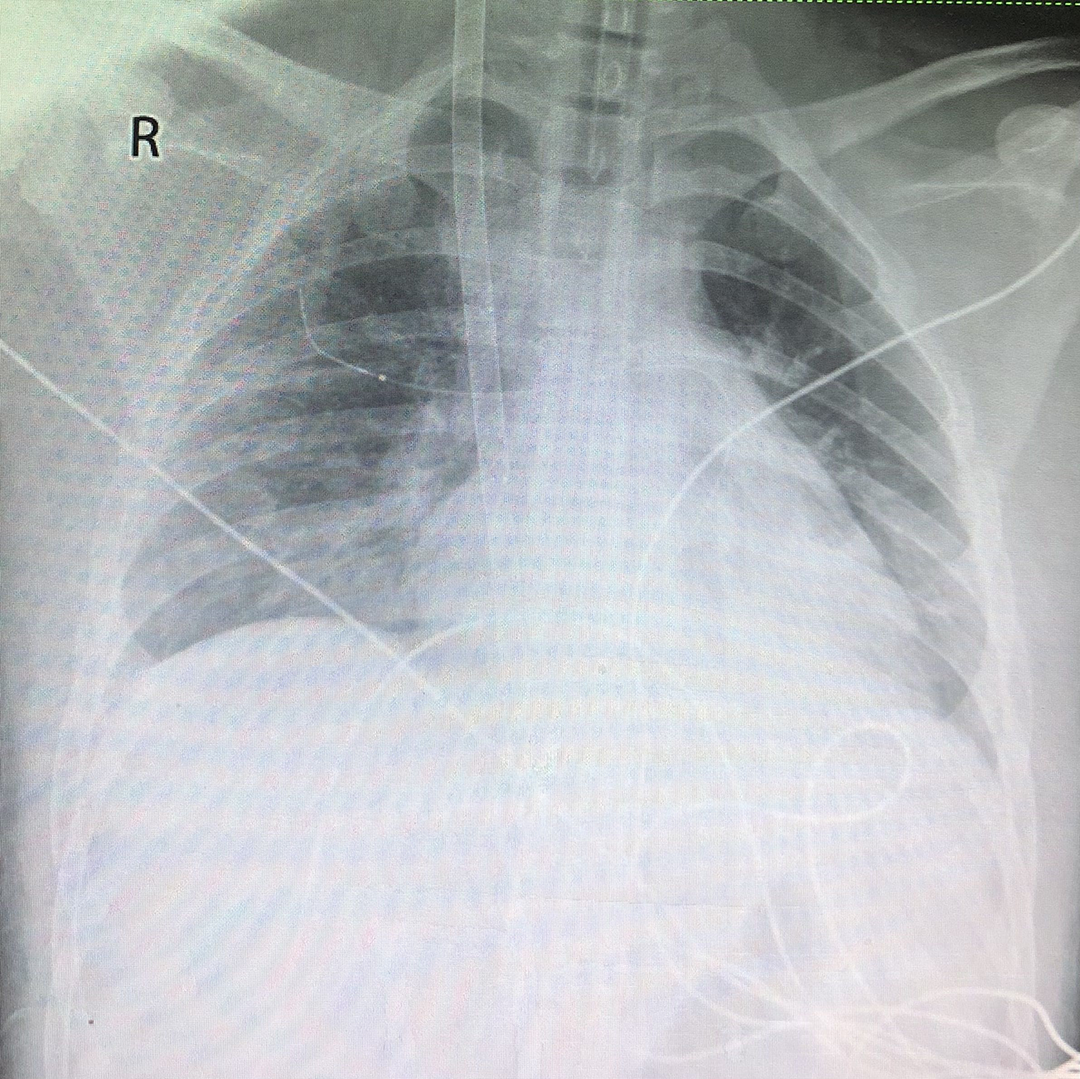
ECMO置管
ECMO,即:体外膜氧合技术,是目前针对严重心肺功能衰竭最核心的支持手段。此次为患者采用的VV-ECMO双腔置管方式,相较于传统单腔插管,其置管技术要求准确性高:插管的灌注口位置需要朝向三尖瓣,将氧合血液灌注至右心室。因此,这一技术需要在X线或超声引导下精准定位置管。
其优势也非常显著:
减少损伤、减少感染、出血等并发症
可降低再循环分数,提升ECMO效率
不占用股静脉置管,更便于患者早期开始康复治疗
为了精准管道定位,此次操作由北京大学深圳医院任明明教授团队在DSA引导下进行精准双腔ECMO插管置管定位。此次应用的Crescent双腔颈静脉插管,因独家设计的不透射线标记,可在X线下清晰辨识,为插管的置管(及后续日常定位)提供了极大便利。

X线显示导管置入位置准确良好

Crescent不透射线标记:“X射线下的置管及日常定位”成为可能
随着ECMO的运行,血氧饱和度从70逐步升至98以上,患者指标平稳,危机暂时解除,患者送重症监护室继续治疗。
突破传统技术,精准治疗更进一步
心血管外科任明明教授介绍,双腔插管VV-ECMO技术今年引入国内,目前在国内大型ECMO中心同步开展。该技术难度超越了以往常规“股静脉—颈静脉”的双管置管VV-ECMO技术。北京大学深圳医院ECMO中心此次率先应用单管双腔颈静脉插管技术,填补了深圳市体外生命支持技术的该项空白,是北京大学深圳医院ECMO团队在精准治疗、减少医源性损伤方面做出的又一项积极尝试,是北京大学深圳医院高水平医院建设的重要成果之一。
心血管外科科室简介
北京大学深圳医院心血管外科1999年随医院开业正式开科,历经二十年耕耘,已发展成为集医疗、教学、科研于一体的综合学科。学科是北京大学深圳医院重点学科,广东省高水平医院建设B类学科,广东省医师协会心血管外科分会副主委单位,深圳市医学会心血管外科分会主委单位,深圳市医师协会心血管外科分会会长单位。
学科连续四年进入中国医院科技量值(STEM)排行榜心血管外科专科排名全国百强,是深圳市唯一进入STEM排行榜心血管外科专科排名前百强单位。学科常规开展各类心脏、大血管、外周血管疾病等的外科治疗,特色开展胸腹主动脉夹层、胸腹主动脉瘤、心脏瓣膜病、先心病、外周动脉疾病的微创及经皮介入治疗,为国内少有的同时具备开展体外循环手术、经皮介入手术及胸腔镜手术能力的学科。
学科为心血管外科专科医师规范化培训基地、广东省心血管病护理及技术规范培训基地及深圳市心胸外科住院医师规范化培训基地。科室多人担任多个医学院校硕士研究生导师,高质量完成研究生、规培医师、实习医师带教工作。
专家简介
韩振
北京大学深圳医院
心血管外科主任,主任医师,医学博士,教授,研究生导师。中国医师协会冠心病学术委员会委员,国家心血管病专家委员会微创心血管外科专业委员会委员,广东省基层医药学会血管外科专业委员会副主任委员,广东省心血管外科医师分会常务委员,广东省医学会心血管外科分会委员,深圳市医学会心血管外科分会主任委员,深圳市医师协会心血管外科分会副会长。从事心血管外科专业27年,累计完成心血管外科手术6000多例,在深圳市率先开展不停跳微创冠脉搭桥手术,首例一体化支架主动脉腔内修复术、首例经心尖微创主动脉瓣置换术等医疗新技术。曾荣获省级科技进步奖、医疗新技术奖多项,主编著作多不,发表SCI论文十余篇。2019年获得深圳首届十大“深圳市医师奖”,并带领学科获得2018年度《深圳医疗卫生机构科技影响力排行榜》心血管专业第一名。
任明明
北京大学深圳医院
心血管外科副主任,主任医师,九三学社社员,硕士研究生导师。
社会任职:1.亚洲心脏瓣膜病学会(AAHVD)中国分会 委员 2.广东省医学会心血管外科分会青年委员会 副主任委员3.广东省医师协会心血管外科分会 委员4.广东省临床医学学会心源性卒中专业委员会 常委5.广东省介入性心脏病学会结构性心脏病分会 委员6.广东省基层医药学会血管外科专业委员会 常委7.深圳市医学会心血管外科分会/血管外科分会 常委8.深圳市医师协会心血管外科分会/血管外科分会 常务理事9.深圳市医院管理者协会HTA与DRG管理应用中心委员

