2023年3月14日,复旦大学附属中山医院心外科王春生、魏来教授团队成功应用南京圣德医疗科技有限公司研制的带结构贴合锚定及全新释放方式的自膨式瓣膜产品Xcor™,为一位二叶式主动脉瓣重度狭窄的高龄女性患者实施了经导管主动脉瓣膜置换手术(TAVR)。该例手术也标志着中山医院团队在应用Xcor™进行TAVR手术领域正式起航。
Xcor™系圣德医疗团队基于世界首创的“结构贴合(form-fitting)”的理念研发,是目前全球唯一从流出端开始释放且通过创新支撑臂结构实现双向锚定的TAVR瓣膜系统。Xcor™提出独特的分阶段、可回收、自上而下的全新释放机理,提供稳定血液动力学特性和精确植入放置,避免血流冲击下瓣膜移位的风险,大大降低手术操作难度,防止瓣周漏的发生,降低并发症风险,达到最优的治疗效果。
同时,本例手术也应用了圣德医疗子公司拓微摹心原创的TAVR手术辅助决策系统Tavigator™进行术前规划测量。人工智能Tavigator™系统实现了对CT影像主动脉根部解剖结构的全自动化、全流程手术规划测量,为瓣膜选型、术中并发症风险预测提供关键依据,将心脏瓣膜手术规划真正做到了“一键式”操作,极大的降低手术门槛,提高手术可及性,颠覆了传统手术方案,正在国内多家顶尖心脏中心联合迭代。Tavigator™系统在核心测量指标精度上,表现出与影像核心实验室高年资医生极高的相关性,且优于低年资核心实验室医生的测量结果;系统可进行准确的瓣叶分型,且不同分型瓣叶术前影像在核心测量结果上,均表现出与影像核心实验室高年资医生极高的相关性和稳定性;同时,Tavigator™系统也表现出极强的鲁棒性和良好的数据泛化能力;在确保分析精度的同时,分析效率显著高于手动分析。
王春生、魏来教授团队主导的本次手术是Xcor™瓣膜在中国的第68例植入,同时也是上海第一例使用基于人工智能的心脏瓣膜疾病辅助决策软件进行术前规划的瓣膜手术。导管操作步骤简单,操作时间仅15分钟。

患者信息
患者为71岁女性,因活动后胸闷气急入院。术前报告显示,患者为主动脉瓣狭窄(重度),Type0型二叶瓣,瓣叶明显增厚,轻度钙化。主动脉粥样硬化,左前降支中段浅表心肌桥。
术前影像学评估
临床团队同时使用了Tavigator™进行术前影像学评估,配合医生手工描点评估。
主动脉瓣瓣环及其它基本平面测量








主动脉瓣瓣上及瓣下多平面测量




外周血管评估

Tavigator™AI术前辅助决策平台

术前评估
患者为71岁女性。瓣环圆化直径21.8mm,Type0型二叶瓣,瓣叶增厚轻度钙化。左侧冠脉开口高度13.1mm,右侧冠脉开口高度13.8mm,并且STJ高度可以达到22.3mm。投照角度推荐LAO8度/CRA8度。可行18mm球囊前扩,考虑到环上锚定,推荐0位植入Xcor™-23瓣膜,酌情后扩。
多科室团队制定手术策略
• 全麻下经心尖入路,选择植入Xcor™-23经导管主动脉瓣膜。植入前使用小球囊(18mm)预扩钙化病变,并再次评估主动脉根部情况及人工瓣膜尺寸选择;
• 充分利用器械的可回收功能,尽可能精准标准位释放瓣膜,以降低对心脏传导系统的影响。通过术前影像分析及模拟,术中拟采用近左冠切线位投照角度进行瓣膜释放。
手术关键过程

18mm球囊预扩张

流出道释放

球囊后扩

最终造影
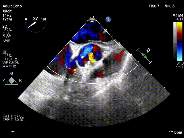
术前、术后超声对比


术前


术后
术后评价
术后超声显示瓣口未见明显反流,无瓣周漏,主动脉瓣前向血流加速Vmax=1.65m/s,有效开口面积1.61cm²,PGmean=4mmHg。术后监测,心率心电正常,无传导阻滞。患者生命体征稳定。本次手术植入瓣膜定位准确,操作简便,症状即刻改善,手术圆满成功。
专家简介
王春生
复旦大学附属中山医院
向上滑动阅览
魏来
复旦大学附属中山医院
主任医师,博导;复旦大学附属中山医院心外科副主任;微创心血管外科主任;上海市心脏瓣膜工程技术研究中心副主任;上海市医学会心脏大血管外科分会副主委;国家心血管病中心微创心血管外科专委会常委兼秘书长;中华医学会胸心血管外科学分会全国委员;中国医师协会心血管外科医师分会全国委员;中国医师协会腔内血管学分会心脏瓣膜病专家委员会副主委;中国医师协会机器人外科医师分会常委。

