3月29日,广东省人民医院郭惠明、刘健教授,携同心外科郭海江博士、杨永超、张煜源、烑星星博士,心内科谢年谨、刘方舟教授,麻醉柴云飞、曹忠明教授,在超声科费洪文、朱伟教授全程仅经超声引导下,成功完成一例移植肾功能不全重度FMR病例的二尖瓣介入置换产品MitraFix®注册临床试验植入,该病例为华南首例。MitraFix®作为全国首款完全原创TMVR器械,做到将二尖瓣重度反流(4+)降至术后无反流,充分证明了其易用性、安全性和可靠性。此次成功植入,标志着由胡盛寿院士牵头的MitraFix®经导管二尖瓣置换产品注册临床试验进度及未来应用前景取得新的突破!

患者基本情况
患者73岁女性,入院诊断:慢性心功能不全EF:30%、左心增大、心包积液、室壁运动减弱。重度二尖瓣关闭不全4+;频发室早,偶发室早二联律短阵室速;非霍奇金淋巴瘤化疗后,肾移植术后,胆囊切除术后。
术前评估
经广东省人民医院心外科MDT团队综合评估,该患者为重度FMR患者,考虑外科瓣膜置换手术风险极高,决定进行MitraFix®经心尖二尖瓣植入。术前心脏CTA瓣环面积折算最大直径38 mm 模拟植入34号二尖瓣瓣膜, Neo-LVOT面积大于200mm²。患者二尖瓣瓣环活动幅度大,食道与心脏位移严重,决定放置临时起搏。
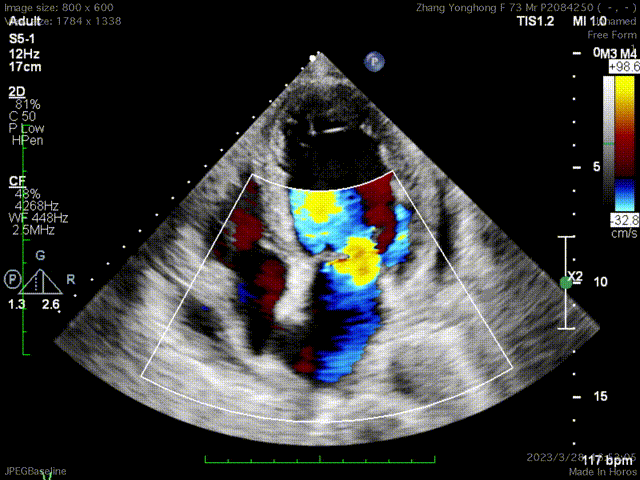
术前反流

术前瓣环形态评估



术前心尖入路评估

术前食道超声模拟
手术过程
手术采用左侧第六肋间微创切口心尖入路,在超声Mutlivue引导下清晰识别MitraFix®输送系统准确跨瓣,并将人工瓣膜准确释放于二尖瓣瓣环,瓣膜释放后支架贴合牢固,术后无瓣内反流及瓣周漏,二尖瓣前向血流通畅、跨瓣压差2mmHg,左心室流出道通畅,流出道血流速度0.8m/s,后顺利撤出输送系统,关闭心尖切口,手术顺利结束。
术后无反流
研究背景
以心医疗新方向
与介入二尖瓣修复不同,上海以心医疗器械有限公司自主创新研发的MitraFix®经导管二尖瓣置换系统不受瓣膜病变解剖的限制,兼容FMR和DMR,植入操作更为简便,有着更广泛的市场应用前景,也是国际介入二尖瓣器械领域的研发热点。
MitraFix®经导管二尖瓣置换系统是仅需经超声引导即可完成的绿色无辐射手术,植入成功率高,操作简便极易上手;此技术能够快速下沉至无复合手术室配置的医院,给高危二尖瓣反流患者带来了新的希望。同时MitraFix®经导管二尖瓣置换系统在第一阶段的法规临床试验中取得了优秀的结果:瓣膜表现评价:与基线相比,术后受试者二尖瓣反流均显著改善;生活质量评价较术前提高;六分钟步行距离较术前提高。
作为我国第一款自主原创设计,拥有全球范围自主知识产权,且同时拥有经心尖途径及经股静脉途径的介入二尖瓣置换产品,MitraFix®经导管二尖瓣置换系统NMPA注册临床研究的顺利开展,也说明以心医疗已同步国际结构性心脏病介入器械难度最高赛道,标志着我国医疗器械研发企业已达到国际一流水准。
专家简介