3月17日,南方医科大学珠江医院心血管外科王晓武教授、毕生辉教授团队成功应用J-Valve,为一名主动脉瓣极重度狭窄患者完成1例经心尖TAVR。团队经过详细的术前评估和策略分析,最终在密切配合下,顺利完成手术,术后患者反流消失,无瓣周漏,症状得到明显改善。
病例特点:极重度钙化、狭窄+升主动脉增宽
病史简介
患者为70岁男性,主诉:气喘2年半,加重1年。
本院心脏超声显示:主动脉瓣开放明显受限,瓣叶布满钙化灶,Vmax 5.4m/s,PGmean 65mmHg,诊断主动脉瓣狭窄(极重度)伴关闭不全(中度),左室收缩功能正常,右室收缩功能正常,EF 66%。NT-proBNP 4293.3ng/L。
入院诊断:主动脉瓣重度狭窄,腔隙性脑梗塞。
CT分析
患者主动脉瓣三叶式,瓣叶基本等大,瓣叶增厚,右无交界钙化融合,瓣叶游离缘重度钙化至窦底可见并累积部分流出道;主动脉瓣环周长折算直径约26.3mm:


升主动脉显著增宽,最大径47.2mm:

双侧冠脉开口高度可,LCA 13.1mm,RCA 18.7mm,左右冠脉轻度钙化:

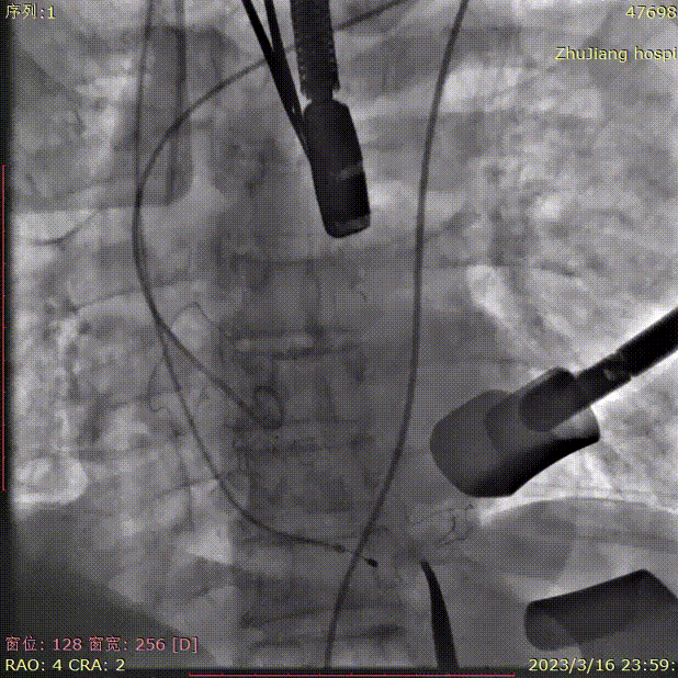
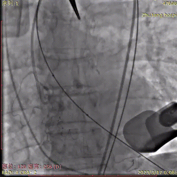
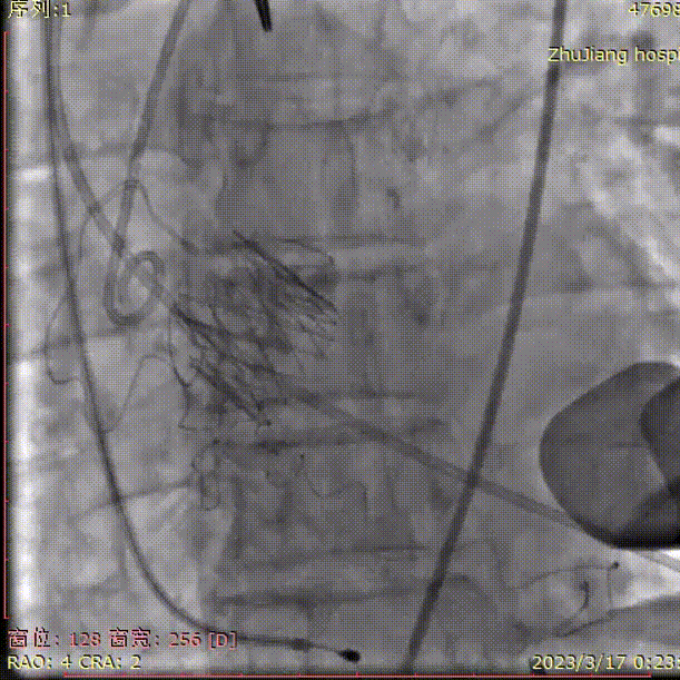
术中造影角度RAO 4°,CRA 2°(其它参考角度如下图):

心室角度53°:

降主动脉稍迂曲,成角120°:

升主动脉、主动脉弓、降主动脉散在钙化,局部管壁增厚;双侧髂总动脉多发钙化,管壁增厚,右侧髂总动脉局部严重狭窄:

瓣叶重度钙化,钙化负荷2171mm³:

手术步骤
猪尾放置于无冠窦行根部造影,可见瓣叶钙化影及明显造影剂反流:

球囊预扩张,无漏,双侧冠脉显影良好:

定位件入窦,瓣膜件下落到瓣环平面,造影确认位置:

释放瓣膜:

复查根部造影,未见明显反流:

术后血压103/60mmHg,即刻行食道超声,主动脉瓣口可见生物置换瓣回声,启闭正常;Vmax 2.0m/s, PGmax 16mmHg;瓣周未见分流:

彻底止血,逐层缝合心尖和闭合皮肤切口,手术完成。
专家简介
王晓武
南方医科大学珠江医院
向上滑动阅览
毕生辉
南方医科大学珠江医院
向上滑动阅览

