
2023年4月2日,第四届中国结构性心脏病大会暨第三届卵圆孔未闭规范化诊疗研讨会的最后一天,再次上演了手术直播的华彩乐章!
中国医学科学院阜外医院潘湘斌教授团队联合国际顶尖术者——意大利圣拉斐尔科研研究医院Francesco Maisano教授、新加坡国家心脏中心Khungkeong Yeo教授和意大利米兰的圣多纳托医院 Mario Carminati教授成功完成了全超声引导二尖瓣钳夹术和可降解PFO封堵术两例手术演示。
两例手术全程仅使用超声作为唯一影像引导手段,手术的成功,标志着中国原创的全超声引导下的介入手术已发展成为成熟的技术体系。手术最终取得的安全性和良好效果,更是得到了在场国内外专家的一致好评,再次向世界有力展现了中国术者的经验和实力!

全超声引导二尖瓣钳夹术
手术转播的第一例患者为80岁女性,在食道超声引导下使用MitraClip™完成TEER术。
手术过程

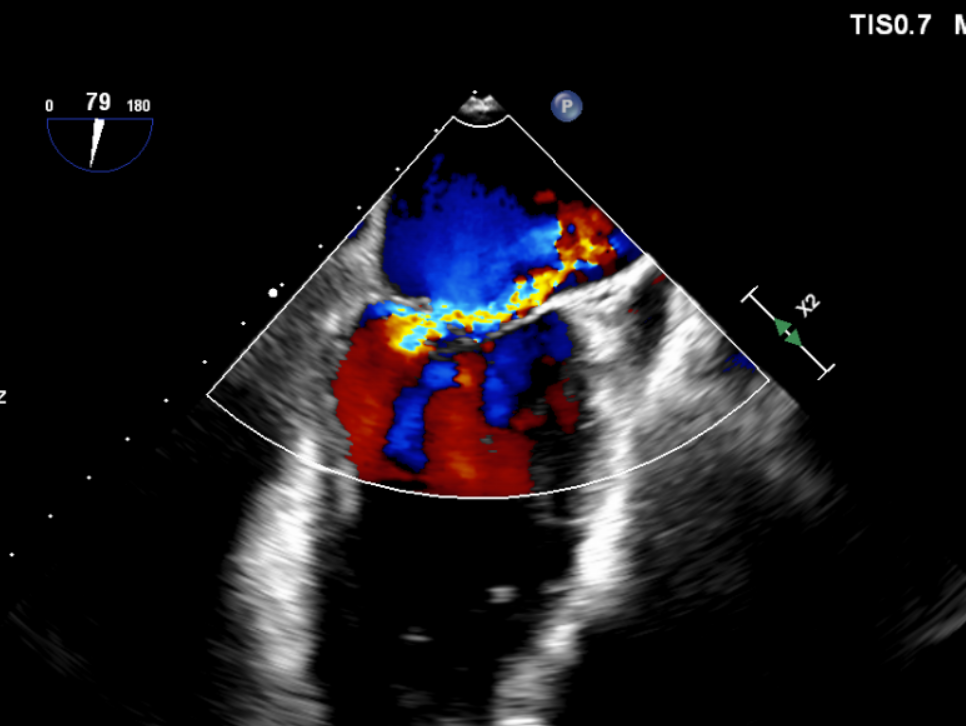
基线显示二尖瓣大量反流

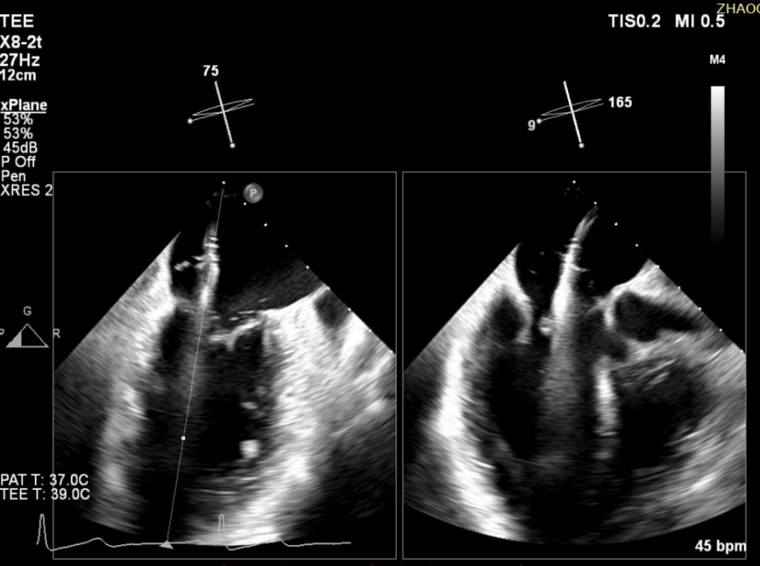
使用我国自主研发的超声引导专用介入导丝进行房间隔穿刺定位

CDS放置在二尖瓣处

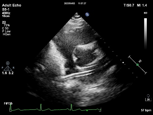
打开夹子,调整弹道,使其垂直于二尖瓣瓣环

将MitraClip™推进至左心室,并向上拉,直到瓣叶被抓捕

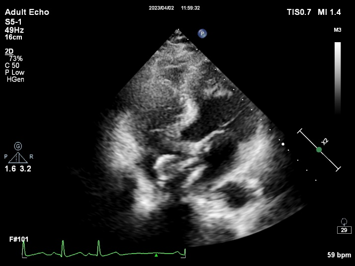
成功捕捉瓣叶后,经超声心动图反复确认瓣叶夹持牢固,释放瓣膜夹

复查超声,P3区无反流,仅2区微量中心性反流

二尖瓣跨瓣压差仅为1mmHg,闭合外周入路,止血,手术顺利结束
完全可降解PFO封堵术
此例患者为50岁男性,既往有脑栓塞,伴有反复头痛,因金属过敏,潘湘斌教授团队经过充分术前评估后,决定为其施行经胸超声引导下完全可降解PFO封堵术。



术前TEE+发泡试验证实PFO存在并分级
手术过程



导丝经下腔静脉顺序进入右房、穿过PFO、进入左房



鞘管及输送封堵器系统跨过PFO进入左房,封堵伞左房面打开

封堵伞右房面打开,回拉,锁定封堵伞,测试封堵器稳定


完全释放封堵器,超声复查位置显示良好、稳定,手术顺利结束
全超声引导介入治疗技术,前景广阔
一花独放不是春,百花齐放春满园。
好的技术需要普及推广,需要更多术者学习掌握,并应用到更多有需要的患者身上,也是此次中外顶级专家携手,同台联袂演绎手术的真正意义所在。
术后,线上线下的专家学者都对全超声引导下的介入治疗技术产生了浓厚的兴趣。
在手术直播线上互动栏里,有这样一条评论格外引人注目:
“中国棒!阜外棒!专家们棒!”
这是来自线上学员的欢呼声和自豪声!
不止于此
在导管室现场的国外专家们,也纷纷发表了对全超声介入治疗技术的感想:
新加坡国家心脏中心Khungkeong Yeo教授表示,全超声引导介入治疗技术是潘湘斌教授团队的一项精彩发明,尤其在一些无DSA设备的地区,这项技术可以发挥非常大的作用。潘湘斌教授团队向全世界展示了全超声引导下行TEER和经胸超声引导PFO封堵是完全可行的,这是非常了不起的成就,值得推广普及,希望在未来的研究中进一步确认获益最大的人群。我本人以前曾经跟我的同事提起这项技术,他们都不相信。今天我亲身参与了手术,我准备在不久的将来带领我的团队来阜外交流学习,让我的同事们都来看看这项神奇的技术。
意大利圣拉斐尔科研研究医院Francesco Maisano教授表示对这项新技术印象非常深刻,虽然有一定的学习曲线,但是今天自己亲身参与的Mitraclip手术过程很顺利。在看到经胸超声完成PFO封堵是可行和安全的之后,他认为全超声引导介入治疗有望扩大适应证,并且在更多的地区有很大的应用前景。
意大利米兰的圣多纳托医院Mario Carminati教授表示,介入术者们已经习惯于同时使用造影和超声完成介入手术,但潘湘斌教授展示了全超声引导也能带来很好的安全性和疗效,打破了惯例,具有划时代意义。
在阜外医院进修来自德国的Kolja Sievert医生说道,他从潘湘斌教授团队的精彩演示中学到了很多。通过超声就可以清晰地看到病变,超声专用导丝的引导也很准确,这项技术有潜力、有能力改变那些无法使用放射线引导的地区的诊疗模式,让人受益匪浅。
在阜外医院进修来自菲律宾的Louisa G. Go医生认为,全超声引导介入治疗技术是一项非常有创新力的发明,安全而且经济效益更好,可以让没有配置导管室的中心的医师们能够完成经皮治疗,有望帮助到更多患者。
据悉,此前潘湘斌教授团队曾多次带领团队在国际学术大会上进行全超声引导下不同类型的介入手术,此次,在中国,在阜外医院的主场,以东道主的身份,潘湘斌教授团队再次用自主创新的全超声引导下的介入治疗技术展现中国实力。
通过此次手术直播,潘湘斌教授希望全世界有志于此的同道,对全超声引导介入治疗这项技术能够有更加直观清晰的认识,也帮助更多术者能够规范开展这项技术,为中国乃至世界的更多患者造福。
团队介绍
潘湘斌教授团队致力于单纯超声引导介入治疗结构性心脏病,经过十余年的发展,超声引导介入技术体系取得了从原理、方法到技术及产品的系统性突破,具有“不开刀、无放射线、无造影剂、无需全身麻醉”的巨大优势,可以治疗房间隔缺损、室间隔缺损、动脉导管未闭、卵圆孔未闭、肺动脉瓣狭窄、主动脉弓缩窄、主动脉瓣狭窄、二尖瓣狭窄、二尖瓣关闭不全、心房颤动等多种疾病,甚至实现了门诊手术治疗常见心血管疾病。团队以中国医学科学院阜外医院为依托,建立了国家结构性心脏病介入技术培训基地,培训了来自美国、德国、日本、阿根廷、肯尼亚、哈萨克斯坦、中国等30余个国家的学员3000余名。




