近日,福建医科大学附属协和医院心血管内科心脏瓣膜病团队陈良龙教授、方军教授以及心脏超声孙旭东主任医师、陈华博士等,联合复旦大学附属中山医院周达新教授、李伟教授,应用我国自主创新器械LuX-Valve Plus经血管三尖瓣置换系统,使用右颈静脉入路,成功为三例重度三尖瓣关闭不全并发右心功能不全患者实施经导管三尖瓣置换术(TTVR),均已顺利出院。

病例一
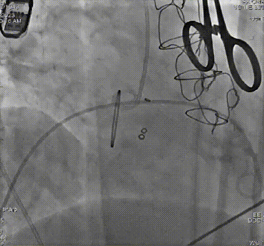
患者73岁,女性,“心房颤动”病史10年,4年前因“风湿性二尖瓣狭窄、冠心病”于心外科行“二尖瓣生物瓣置换术+三尖瓣成形术+冠脉旁路移植术”。近1年出现活动时气促,1个月来双下肢水肿。心脏超声:重度三尖瓣关闭不全,二尖瓣生物瓣位置及功能未见明显异常。TTVR术后三尖瓣关闭不全消失,无明显瓣周漏。


术前、术后造影结果
病例二
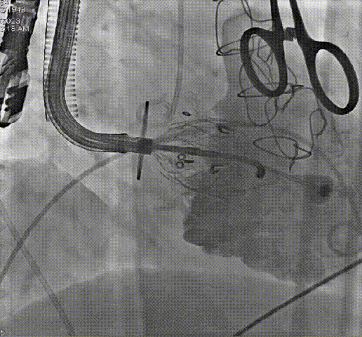
患者79岁,女性,“心房颤动”病史5年,近5个月出现活动时气促、双下肢水肿、乏力。“高血压”病史10年。心脏超声:极重度三尖瓣关闭不全,轻-中度二尖瓣关闭不全。TTVR术后三尖瓣关闭不全消失,轻微瓣周漏。


术前、术后造影结果
病例三
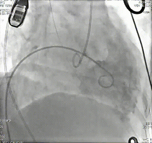
患者68岁,女性,“心房颤动”病史6年,近半年出现活动时气促。心脏超声:重度三尖瓣关闭不全,轻度二尖瓣关闭不全。“高血压”病史4年。TTVR术后三尖瓣关闭不全消失,无明显瓣周漏。


术前、术后造影结果
三例患者均在全身麻醉下穿刺右侧颈静脉建立手术入路,在X线及超声引导下,将输送系统送到右心房,通过调整弯度,顺利跨过三尖瓣口进入右心室,释放夹持件,使其固定在三尖瓣前瓣,再通过藏针将锚定件固定在室间隔,最后撤出输送系统,完成LuX-Valve Plus人工三尖瓣瓣膜的植入。
演示视频LuX-Valve经导管三尖瓣置换系统在国际上率先采用“非径向支撑力”和“室间隔固定”设计理念,可更好适应三尖瓣结构,减少并发症,是我国拥有完全自主知识产权的心脏瓣膜介入器械。LuX-Valve Plus是LuX-Valve第二代产品,采用经颈静脉入路,可通过穿刺建立入路,实现完全介入治疗,进一步减小损伤。
三尖瓣关闭不全是临床常见的心脏瓣膜病,由于药物及传统外科换瓣手术效果欠佳,长期以来缺乏有效的治疗手段。近年来,经导管三尖瓣修复及置换术等微创介入治疗方法的出现,为重度三尖瓣关闭不全患者的救治带来希望。
心血管内科心脏瓣膜病团队在陈良龙教授带领下,砥砺前行,积极开展各类经导管心脏瓣膜介入技术。特别是在常规开展经导管主动脉瓣置换术及经导管二尖瓣修复术基础上,近期相继开展经导管肺动脉瓣置换术及经导管三尖瓣置换术,成为福建首个实现四个瓣位介入治疗全覆盖的团队,将为广大心脏瓣膜病患者提供更安全、有效、创伤更小的治疗选择。
专家简介
陈良龙
福建医科大学附属协和医院
主任医师,二级教授,博士生导师,福建省心血管病医学中心主任,福建医科大学附属协和医院心血管内科主任,国家卫生健康委员会突出贡献中青年专家,福建省科技创新领军人才,享受国务院特殊津贴。担任中华医学会心血管病学分会委员兼结构性心脏病学组副组长、中国医师协会心血管内科医师分会常委兼冠脉介入学组副组长、福建省医学会心血管病学分会前任主任委员、福建省医师协会心血管内科医师分会副会长。长期从事心血管病临床诊疗与科研工作,擅长介入心脏病学及心血管超声医学。主持国家自然科学基金等项目。
方军
福建医科大学附属协和医院
主任医师,教授,博士生导师,福建省级高层次人才,福建医科大学附属协和医院心血管内科结构性心脏病专业组组长。担任中华医学会心血管病学分会结构性心脏病学组委员、中国医师协会心血管内科医师分会结构性心脏病学组委员、福建省医学会心血管病学分会结构性心脏病学组副组长、中国瓣膜中心专家委员会工作组成员、亚太结构性心脏病青年俱乐部黄金会员。擅长心脏瓣膜病、先天性心脏病等结构性心脏病介入治疗和经皮左心耳封堵预防心房颤动脑卒中。主持国家自然科学基金等项目。
孙旭东
福建医科大学附属协和医院
主任医师,副教授,医学博士,莱顿大学医学中心访问学者,硕士研究生导师。擅长复杂先天性心脏病外科手术以及经导管瓣膜介入手术的超声评估。曾获福建省科技进步奖二等奖。现任海峡两岸医药卫生交流协会台海医学发展委员会心血管学组副主任委员、福建省海峡医药卫生交流协会超声医学分会执行会长。


