4月1日,山东第一医科大学附属省立医院(山东省立医院)心脏大血管外科结构性心脏病治疗团队在邹承伟教授、王正军教授的带领下,联合心脏超声科、麻醉手术科等多个科室,在复旦大学附属中山医院心外科魏来教授,超声诊断科李伟老师的指导下,成功完成山东省首例经心尖导管缘对缘二尖瓣夹合手术。

病例
患者:尹某某,男性,67岁,
主诉:阵发性胸闷4年余,加重4月,
术前诊断:心脏瓣膜病:二尖瓣重度反流,三尖瓣中度反流 。
心超数据
【二尖瓣相关参数】二尖瓣重度反流(继发性);
AFMR5+,A2:2.8cm P2:1.5cm, MVOA:5.46cm²,2偏1区处A-P 3mm gap,VC宽度18mm,后叶栓系角度:70°
手术过程



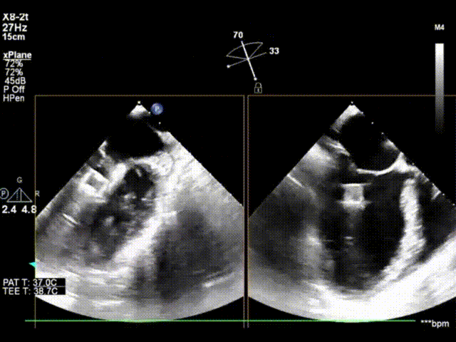
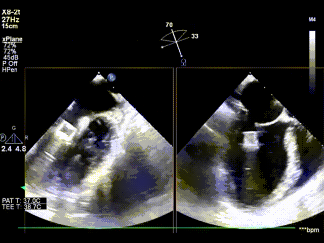
术前心超显示大量二尖瓣反流(反流宽度约1.8cm)


X-plane模式外科视角下,跨瓣器顺利跨瓣,第一个ValveClamp夹合器上下夹定位夹合

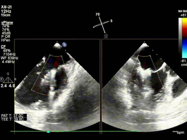
X-plane及3D模式外科视角下,跨瓣器顺利跨瓣,第二个ValveClamp夹合器上下夹定位夹合



夹合后3D左房观,反流减少至轻微,跨瓣压差PGmax:6mmHg,PGmean:2mmHg
难点分析
术前TEE检查发现该患者二尖瓣反流区域宽(18mm),缩流颈覆盖2个区,同时由于二尖瓣装置结构的改变,二尖瓣后叶拴系角度达70°,手术复杂性高、难度大,国际经验即使能行TEER也常需要多个夹子。国产自主原创的ValveClamp无论是夹合深度还是夹合范围都更大,能产生更强的瓣叶对合,适用于此类操作难度较大的病例。术前,瓣膜微创治疗团队详细讨论了手术方案,并结合ValveClamp结构与患者术前超声数据进行了手术预演,确保将风险降到最低。最后该患者使用二个夹子,反流基本消失,得到了良好的治疗效果。导管操作仅40分钟,夹合后跨瓣压差、瓣膜夹合量及瓣叶形态均呈良好状态。
术中剪影



背景介绍
目前我国功能性二尖瓣返流患者超过1千万,有相当一部分患者尽管接受了规范的抗心衰治疗,仍存在严重的功能性二尖瓣返流,心衰症状仍存在。近年来的研究表明,经导管二尖瓣夹合手术可以降低患者的近中期死亡率,二尖瓣夹合手术联合药物治疗的临床效果优于单纯药物治疗。小切口经心尖入路二尖瓣夹合手术,创伤小,避免体外循环及放射线损伤,操作简单,手术时间短,在单纯超声引导下就可以完成,是目前针对此类疾病的前沿治疗方法。此次手术的成功实施,是山东省首例经心尖导管二尖瓣夹合术,也为该类患者提供了微创有效的治疗方法。
医院介绍
山东第一医科大学附属省立医院始建于1897年,迄今已有126年历史,现为集医疗、科研、教学、预防保健和指导基层为一体的大型综合性三级甲等医院,开放床位3889张。现有中心院区和东院两个院区,2021年门急诊总量438万人次,出院患者21.6万人次,手术14.6万台次。病例组合指数(CMI)、疑难病例占比(RW≥2)连续多年保持全省第一。全国三级公立医院绩效考核国家监测指标排名居全国27位,所有医疗专业进入科技量值学科排行榜前100强。
专家简介
邹承伟
山东第一医科大学附属省立医院
王正军
山东第一医科大学附属省立医院
心脏大血管外科副主任,主任医师,博士研究生导师,Mayo Clinic高级访问学者。担任山东省康复医学会心血管外科分会主任委员,山东省医学会心血管外科分会副主任委员,山东省医师协会心外科医师分会副主任委员,山东省心脏大血管外科质控中心副主任委员,国家心血管病专家委员会微创心血管外科专业委员会委员,中国医师协会结构性心脏病专业委员会委员,亚洲心脏瓣膜学会中国分会介入治疗技术学术委员会委员,中国研究型医院学会互联网医院分会心血管研究学组委员,山东省立医院第二届十佳青年医师。主要从事结构性心脏病和冠心病的临床和基础研究,完成急诊经导管主动脉瓣植入术例数居山东省首位。目前共完成山东省劳动与社会保障厅课题一项,山东省重点研发计划1项,在研山东省自然科学基金课题1项,在国内外医学杂志发表论文近30篇,SCI收录13篇,总影响因子70余分,主编著作1部,参编著作3部。

