4月9日,华中科技大学同济医学院附属同济医院心脏大血管外科魏翔教授团队,协同心脏超声科刘娅妮教授、麻醉科、手术室等多个科室,在复旦大学附属中山医院超声诊断科李伟教授的协助下,完成世界首例经心尖导管一站式经心尖不停跳室间隔切除术联合二尖瓣夹合手术(TA-BSM)联合二尖瓣缘对缘修复手术(ValveClamp)。

据心脏大血管外科科魏翔教授介绍,本次手术通过左胸第五肋间(近心尖部)侧胸小切口,一个切口同期解决这例左室流出道梗阻,二尖瓣重度关闭不全患者两个心脏问题,在最小化创伤的前提下一次性达到最好的治疗效果。术后患者无升压药物支持,循环稳定,当晚脱离呼吸机,后续接受常规监护和心脏康复治疗。
病例介绍
患者:女性,71岁,主诉:活动后胸闷、乏力2月。
术前诊断:
1. 肥厚型梗阻性心肌病;
2. 二尖瓣关闭不全;
3. 心功能不全III级 (NYHA分级)。
术前超声TEE检查结论:
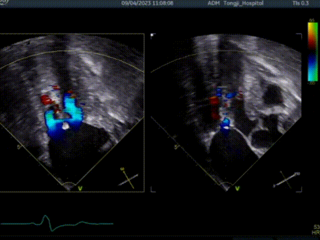
1. 左室非对称性肥厚,左室流出道梗阻,二尖瓣重度关团不全;
2. 二尖期后叶脱垂;
3. 卵圆孔未闭(极细缝隙)。
手术过程
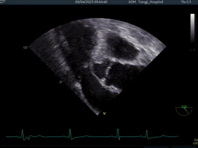
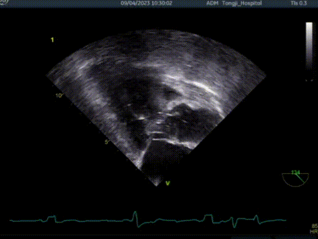
一、经心尖不停跳室间隔切除术



患者术前大量反流,前叶SAM征,室间隔增厚最厚处13mm



共切除3刀

切除的心肌
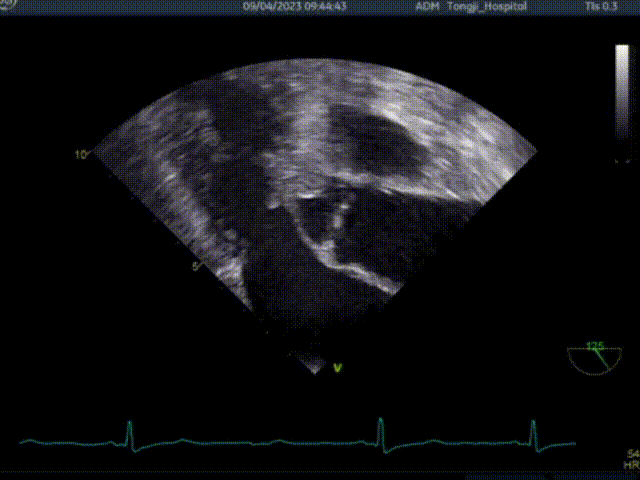
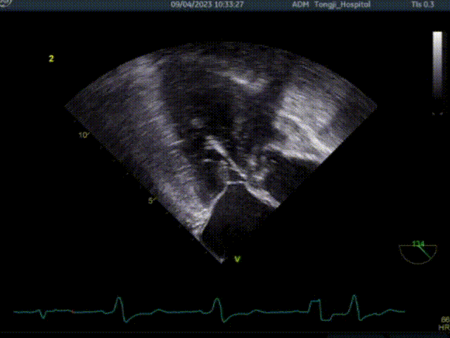
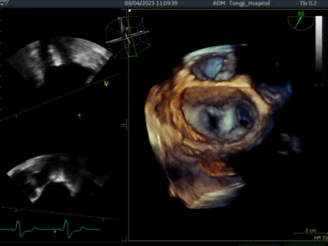
二、行经心尖介入二尖瓣夹合手术ValveClamp


ValveClamp抓捕瓣叶并收入闭合环内


难点分析
该患者为老年女性,左室流出道压差134mmHg,二尖瓣前后叶冗长,即便切除了增厚的心肌组织,二尖瓣仍然可能存在反流,同时前叶冗长有阻挡流出道的风险,术前魏翔教授团队就治疗方案进行了充分的商议,最终提出使用两种来自中国原创的新器械(心肌旋切系统+ValveClamp),在同一切口下行不停跳魏氏心肌旋切术加经心尖介入二尖瓣夹合术。
术中剪影



背景介绍
肥厚型梗阻性心肌病是最常见的遗传性心血管疾病之一,全国约有200多万人罹患该病,起病隐匿,但病情会慢慢加重,一活动就容易导致胸痛胸闷,近年来发病率逐年升高,是青少年及运动员猝死的主要原因。目前该疾病的治疗方式主要有药物治疗、外科手术及化学消融等。传统的外科方式需要在心脏停跳、体外循环下进行手术,创伤大、手术风险高、恢复慢。目前全国每年开展肥厚型梗阻性心肌病的外科手术并不多,全球年手术量超过100例的中心不超过5家。肥厚型梗阻性心肌病合并重度二尖瓣反流的患者,切除肥厚的心肌组织后,有一部分患者的仍存在二尖瓣反流的问题。微创经心尖不停跳心肌切除手术+经心尖二尖瓣钳夹手术方式,可以有效解除患者二尖瓣反流及以及流出道受阻的问题,实现了“1+1大于2”的效果,这一方式大大降低了对患者的创伤,同时无需体外循环辅助,术后恢复快等优点。与此同时,应用Valveclamp经心尖介入二尖瓣夹合器系统具有操作简单、手术时间快,医生学习曲线短等优点。单纯超声引导下就可进行,无需医院配备复合手术室。
此例手术的成功实施,为肥心病合并二尖瓣反流患者的临床治疗提供了一个全新的思路,也是世界首例一站式经心尖不停跳室间隔切除术(Transapical Beating-heart Septal Myectomy, TA-BSM)加经心尖二尖瓣缘对缘修复手术(Transapical Edge-to-Edge Repair,TEER)。
团队介绍
华中科技大学同济医学院附属同济医院心脏大血管外科是中南地区最早成立的心血管外科疾病治疗专科,常规开展先天性心脏病外科,冠脉外科,大血管外科,瓣膜外科,心肺移植以及微创心脏外科等手术治疗,多项技术居国内乃至国际先进水平。在国际上率先开展微创肥厚心肌切除术,在国内率先开展小儿心脏移植术、修心换肺治疗艾森曼格综合征、国内年龄最小(出生不满20小时)的完全性大动脉转位动脉调转术、无输血心脏移植术、肺移植、尿毒症患者冠脉搭桥手术等,在中南地区率先开展婴幼儿复杂危重先天性心脏病手术,心脏移植术,全主动脉置换术,胸腔镜心脏手术和心血管疾病杂交手术,在湖北省率先开展不停跳冠脉搭桥、微创搭桥、全动脉化搭桥、心肺联合移植术,为全国一流心脏大血管外科专科之一。
专家简介
魏翔
华中科技大学同济医学院附属同济医院(点击进入专家个人主页)
