瓣法 | 陈晖:超强顺应 安心领航-SAFARI²预塑形导丝匹配自膨式瓣膜应用
2023-04-27 21:06
患者简介
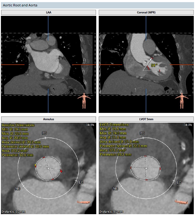
术前CT检查







手术策略
该患者术前CT分析瓣环20.0mm,流出道22.0mm, Type0型二叶瓣,瓣叶轻中度钙化并增厚,瓣膜锚定力可,流出道直筒偏敞口,预估瓣膜释放后位移风险低,少量瓣周漏可能;
冠脉开口高度可,右冠瓣冗长瓣叶,预估冠脉阻挡风险低术中密切关注冠脉血流灌注,必要时冠脉保护;
预计右股主入路,股动脉分叉略高,注意穿刺点位置,18mm球囊预扩,植入TaurusElite AV23瓣膜,瓣膜释放到工作位后多体位充分评估瓣膜位置及形态情况,结合超声结果,确认无误再行释放,必要时瓣中瓣处理。

SAFARI²左室稳定定位并辅助球囊扩张和瓣膜输送定位


SAFARI²导丝轨道辅助瓣膜展开


SAFARI²辅助瓣膜定位并展开


病例总结
SAFARI²具有很好的顺应性和极佳的形状保持能力,在本例手术中,很好的帮助球囊扩张、瓣膜定位、及释放。
SAFARI²为预塑性导丝,在塑弯处具有非常圆滑的过渡点,一方面节约塑性时间,另一方面降低因塑性不当引起的心室穿孔等并发症。
SAFARI²具有极好的安全性和支撑性,可精准定位瓣膜在预设的位置。
专家简介
陈晖
首都医科大学附属北京友谊医院

