近日,武汉大学中南医院刘金平教授团队应用J-Valve,成功为一名大瓣环、重度主动脉瓣反流患者和一名二尖瓣人工瓣膜衰败患者分别完成1例TAVR和1例TMVR(经导管二尖瓣置换术)。其中第一例患者前降支中段重度狭窄,同期进行了PCI。术前,团队综合患者情况及各项评估,经充分讨论后制定了详细的手术策略;术中各成员紧密配合,凭借团队丰富的经验和精湛的手术技巧,保证手术顺利开展;术后患者症状均得到极大改善,手术取得圆满成功。
左右滑动查看更多
病例一:大瓣环、同期PCI
病史简介
患者男性76岁,主诉:心肺复苏术后半月,肾功能衰竭,规律透析。
现病史:患者半月前在当地医院行规律透析过程中突发消化道大出血,心率血压进行性下降,转入ICU后心衰仍控制不住而转到武汉大学中南医院,经积极治疗后症状有所缓解但仍反复发作心衰,经瓣膜多学科团队讨论决定采用介入处理挽救生命。2022年12月份冠脉造影提示冠脉三支病变;
超声提示:主动脉窦部瘤样扩张,内径5.6cm,窦管交界处内径3.9cm,升主动脉增宽(3.8cm);主动脉瓣为三叶瓣,瓣叶增厚,回声增强,开放可,舒张期右冠窦脱向左室流出道侧,闭合不佳,瓣环径约2.9cm。肺动脉增宽,肺动脉瓣形态、活动正常;左心扩大,右心不大;室间隔稍厚,左室后壁稍厚,二者呈逆向运动,未见节段性室壁运动异常;EF 64%;
诊断结果:主动脉窦部瘤样扩张、升主动脉增宽、主动脉瓣重度关闭不全、左心扩大及室间隔增厚、二尖瓣轻度关闭不全、左室舒张功能减低。
CT分析
患者主动脉瓣三叶式,瓣叶基本等大,窦部增宽,瓣叶不厚,瓣叶未见明显钙化;主动脉瓣环周长折算直径约28.3mm:



左室流出道平均直径30.7mm:

主动脉瓣环夹角56°:

左侧冠脉开口高度LCA 10.3mm,右侧冠脉开口高度RCA 20.8mm,左冠脉重度钙化,右冠脉前端支架:

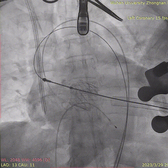
术中造影角度LAO 13°,CAU 11°;主动脉弓、降主动脉及双侧髂总动脉散在钙化,主动脉弓、腹主动脉局部管壁增厚,腹主动脉局部管壁不规则;升主动脉夹层、窦管交界增宽。
手术策略
1.患者前降支中段重度狭窄,先行PCI术后进行TAVR;
2. 患者为大瓣环,瓣环周长直径折算28.3mm,超声测得瓣环径为29mm,拟选用J-Valve 29mm瓣膜并做挂线处理。
手术步骤
患者前降支中段重度狭窄,充分预扩后置入3.5*19mm支架一枚,复查造影提示支架膨胀良好,无明显残余狭窄。



术前超声显示主动脉瓣大量反流:

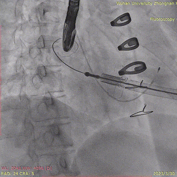
猪尾放置于无冠窦行根部造影:

定位件于瓣环下打开,将瓣膜件降至合适平面,造影确认:

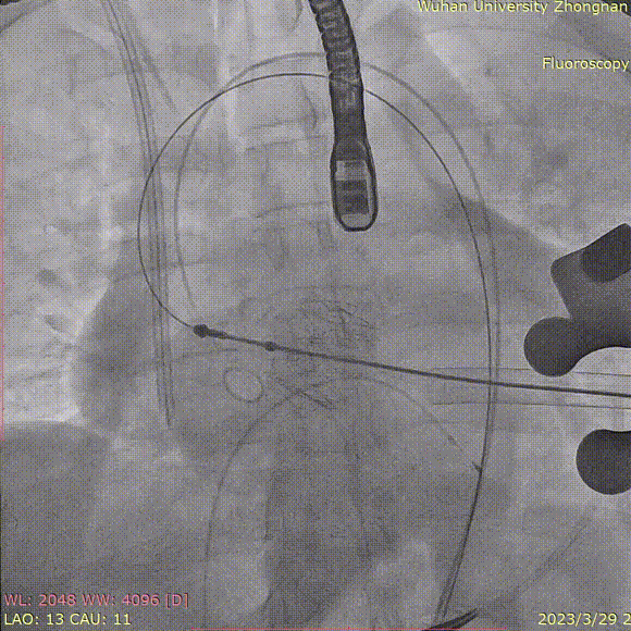
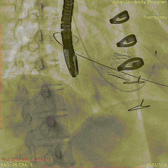
定位件入窦,造影:

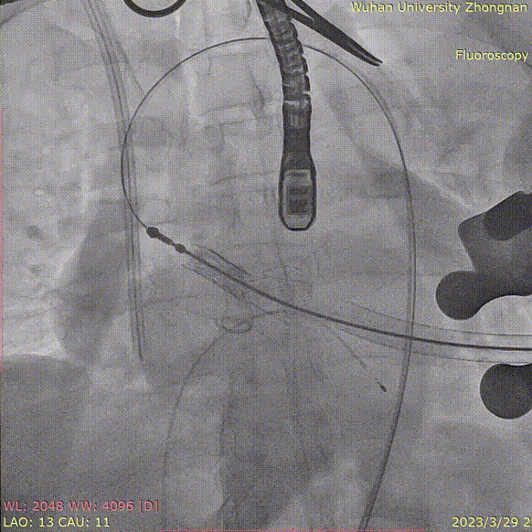
调整导丝,使得瓣膜同轴:

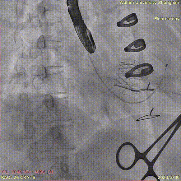
再次造影确定位置:

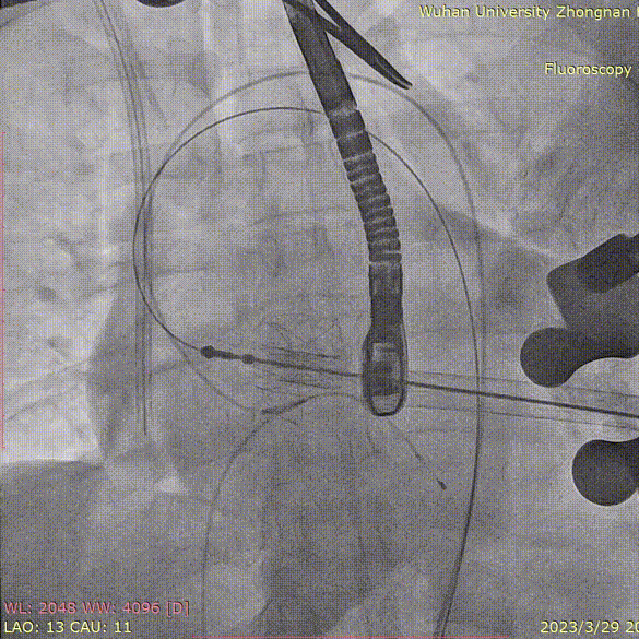
释放瓣膜,复查根部造影,未见明显反流,瓣膜形态和位置满意,双侧冠脉未见遮挡征象:

退出介入器:

血管减影造影,瓣膜形态正常、未见瓣周漏:

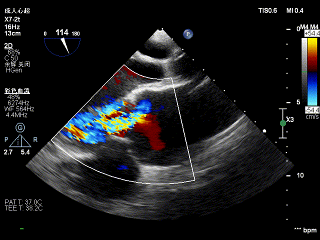
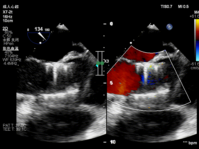
即刻复查食道超声,长轴切面显示瓣架深度合适,瓣叶启闭正常,未见明显瓣周漏:

彻底止血,闭合心尖手术切口,手术圆满结束。
病例二:人工二尖瓣衰败
病史简介
患者女性71岁,主诉:二尖瓣置换术后6年余,发现生物瓣术后衰败2年。
既往史:风湿性心脏病,2016年行二尖瓣生物瓣置换术;
心超显示:二尖瓣位见生物瓣架回声,瓣叶增厚、回声增强,收缩期可见瓣叶脱向左房侧,闭合错位,瓣环径约1.9cm;三尖瓣形态、开放可,闭合欠佳;主动脉瓣形态、开放可,闭合欠佳。二尖瓣口收缩期左房侧见大量反流信号,二尖瓣口反流VC约0.6cm;三尖瓣口收缩期右房侧见少量反流信号;主动脉瓣口舒张期见少量反流信号;
诊断结果:二尖瓣生物瓣置换术后:生物瓣衰败、脱垂并重度关闭不全;主动脉瓣轻度关闭不全;三尖瓣轻度关闭不全;
其他检查:心电图为窦性心律。
CT分析
患者二尖瓣生物瓣换瓣术后:病史提供原生物瓣品牌epic 27号,生物瓣环呈环形细丝,两瓣脚稍有显示,生物瓣周长折算内径24.6mm,外径26.9mm,瓣架高度12.7mm:



术中建议投射角度RAO 64°/CAU 7°:

左心室和二尖瓣轴线角度153°:

主动脉-二尖瓣角度123°:

手术策略
该患者原生物瓣狭窄伴有瓣叶脱垂,真实内径22.5mm,据此选择J-Valve 25mm瓣膜;
术中需注意同轴,3DTEE监控下释放瓣膜,并提前准备体外循环、自体血液回收机。
手术步骤
术前食道超声提示二尖瓣生物瓣大量反流:

穿刺心尖、导丝跨瓣:

释放定位件,三个定位件均入瓣角,形态良好:

准备释放瓣膜:

释放瓣膜,先打开瓣膜鼻锥,形态位置满意后再让瓣膜完全释放:

原有生物瓣架提供支撑力,瓣膜得以持续膨胀,并获得良好形态:

即刻行食道超声显示无瓣周漏:

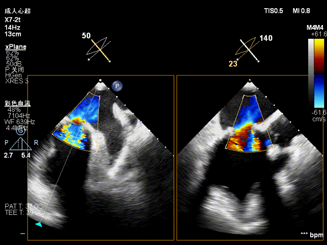
三维食道超声显示瓣架展开呈圆形,形态满意:

彻底止血,闭合心尖手术切口,手术圆满结束。
此次两台手术各具挑战,术前团队进行充分讨论,制定了详尽的手术方案,术中多学科专家团队尽心尽力,紧密配合,保证了手术顺利实施;手术的圆满成功也充分展现了术者精湛的技术与丰富的经验。
2021年,武汉大学中南医院成立了湖北省第一家心血管病医院院中院——武汉大学中南心血管病医院,刘金平教授担任院长。医院自成立以来,坚持“以患者为中心”的服务理念,深化心血管外科、心血管内科、结构性心脏病中心和心血管超声医学科交叉融合,打破学科界限,形成了多学科融合的心脏团队合作诊疗模式。近年来,在刘金平教授带领下,聚焦心血管疾病领域的关键技术和核心难题,不断提升手术水平,积累各类病例诊疗经验,致力于为广大患者提供更加精准、优质、便捷的诊疗服务。
专家简介
刘金平
武汉大学中南医院
向上滑动阅览
梁川
武汉大学中南医院
心血管外科,副主任医师,留美医学博士。湖北省心血管外科医师分会委员,湖北省医学会血管外科分会委员,中国白研会介入医学分会委员。2012年博士毕业于武汉大学医学院。2008-2011年美国乔治亚医学院梅林实验室交换学者,2012年至今工作于武汉大学中南医院胸心血管外科,2018年3月-2019年1月,上海海军军医大学长海医院血管外科进修。擅长血管外科疾病的诊治诊断和诊疗,静脉曲张、静脉血栓诊治,复杂下肢动脉闭塞疾病治疗,腹主动脉、主动脉夹层的腔内治疗。心脏瓣膜及先心病介入治疗,从事心血管外科近10年,对于心血管外科疾病诊疗有较丰富的经验。
张力
武汉大学中南医院
向上滑动阅览






