南昌大学第二附属医院心脏大血管外科成功完成一例超宽反流经心尖二尖瓣夹合手术(ValveClamp)
2023-05-02 22:10
日前,南昌大学第二附属医院心脏大血管外科董啸主任团队协同心脏超声科、麻醉科、重症监护室、中心手术室等多个科室,在复旦大学附属中山医院心外科魏来教授、超声诊断科李伟教授的协助下,在红谷滩三角洲院区外科手术室成功再次完成一例经心尖二尖瓣夹合手术(Valve Clamp)。
病例
患者:曾某某,女性,75岁。
主诉:活动后胸闷气促3年余,加重1周。
术前诊断:1.二尖瓣脱垂伴关闭不全;2.心功能III级;3.冠状动脉粥样硬化;4.室性早搏;5.胸腔积液。
心超数据
【二尖瓣相关参数】二尖瓣关闭时P2P3呈弓形脱入左房。二尖瓣后叶脱垂并重度偏心性反流(原发性:Carpentier II型,缩流颈8.3mm,反流面积0.42cm²,反流容积71ml);P2+P3区脱垂,脱垂范围约14×10mm,前叶2偏3区瓣体长度:25mm,后叶2偏3区瓣体长度:19mm;MVA:6.33cm²。左房内径47mm,左室60/39mm。
手术过程




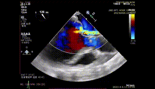
图1-4. 术前在交界、左室长轴切面及3D视角下可见大量二尖瓣反流,反流区宽,MultiVue下可见P2-P3脱垂



图5-7. 顶心尖确定穿刺点,跨瓣球跨瓣及寻找A-P、1-3区方向维度



图8-10. 由于反流偏3区,需在MultiVue指导下进行瓣叶捕获夹合,先植入偏3区的夹子后,再次跨瓣植入偏2区的第二枚夹子,二夹收紧后即刻可见反流降至轻度
图11. 二夹解离后3D心房观
难点分析
术中剪影


医院介绍

专家简介
董啸
南昌大学第二附属医院
