
“开栏” 的话
谈及荆楚特色时,人们自然首先能想到800年楚国余韵长存,483公里长江水道百舸争流……但在一个更广阔的视野下,在荆楚文明滋养和熏陶下,一家家本着生命至上,不断攻坚克难的心血管病诊疗团队在这片土地上践行着荆楚文化中守土尽责的精神。
由此,2023年5月,严道医声网与刘金平教授及王斌教授合作推出的《金楚心声》学术专栏——首篇病例报道正式上线。
专栏集手术直播、主题论坛、病例分享等多种学术交流形式于一体,旨在面向全国心血管医生共同分享团队近些年在心血管病诊疗领域的经验与思考,传递“金楚”之声,展示荆楚印象,为武汉乃至湖北地区心血管病诊疗水平发展贡献绢滴之力。
2023年4月30日,由胡盛寿院士牵头,由潘湘斌院长团队协助,武汉大学中南医院刘金平教授团队,超声科王斌教授团队紧密配合连续应用沛嘉医疗自主原研的GeminiOne经导管瓣膜缘对缘修复系统,单日成功完成3例退行性二尖瓣返流病例多中心临床试验入组。三例手术过程均顺利流畅,器械表现优异且稳定,手术效果良好,术后即刻二尖瓣返流消除显著。


中南医院刘金平教授团队、王斌教授团队植入成功,进一步推动了沛嘉GeminiOne自主知识产权的国产创新器械人体多中心临床试验入组,探寻原创器械设计的独特临床优势与价值。本项目的顺利开展得益于武汉大学中南医院强大的临床试验平台;武汉大学中南医院临床试验中心从项目的伦理审批、项目立项、启动实施进行了全方位的管理与指导,保障了项目的顺利开展。同时在临床试验中心的支持下,武汉大学中南医院心血管外科已经启动了包括主动脉瓣、二尖瓣、三尖瓣、肺动脉瓣等多项瓣膜介入诊疗器械的临床试验项目,为众多患者提供更多更好的诊疗方案。
Case1患者情况
72岁男性,因“活动后气喘2年”入院;患者自诉2年前出现活动后气喘,不伴胸痛或咳嗽,患者近一个月胸闷气喘加重。2023年2月在我院查心超示二尖瓣中重度关闭不全,双房扩大,三尖瓣中度关闭不全。
既往病史:房颤一月余,脑梗两月余,高脂血症,否认糖尿病,18年行右肾切除术。
术前超声诊断:双房扩大,二三尖瓣中度关闭不全,二尖瓣P2P3偏P2区脱垂,主动脉瓣轻中度关闭不全,升主动脉增宽,TEER解剖难度分级:黄区,轻度肺高压。LVEF为73%。
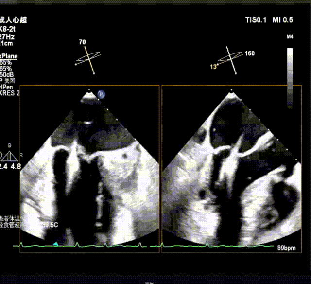
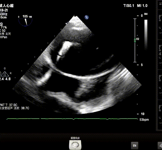
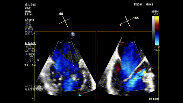
术前超声诊断
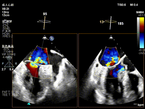
X-plane视窗可见二尖瓣病变区脱垂,重度偏心性返流.
3D enface view示二尖瓣P2P3区瓣叶脱垂,偏心性返流


Vmax=185cm/s 平均跨瓣压差为5mmHg
PW显示左肺静脉内收缩期可见逆流信号


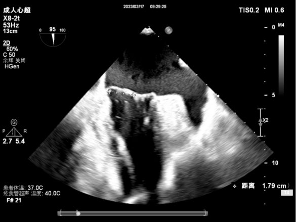
3D测量二尖瓣瓣口面积4.50cm² 病变宽度为1.79cm


手术过程
GeminiOne瓣膜夹输送系统顺利送到二尖瓣目标位置,在TEE辅助下精确定位瓣膜夹,夹合P2P3区病变瓣叶,瓣膜夹M/L和A/P调整垂直P2P3病变区,超声验证夹合完全,释放后整体反流量改善,多平面验证夹合充分,PW 示肺静脉收缩期逆流消失,手术顺利下台,安返病房,整体手术时间仅50分钟,器械操作仅27分钟,手术植入一枚瓣膜夹,返流改善效果显著。
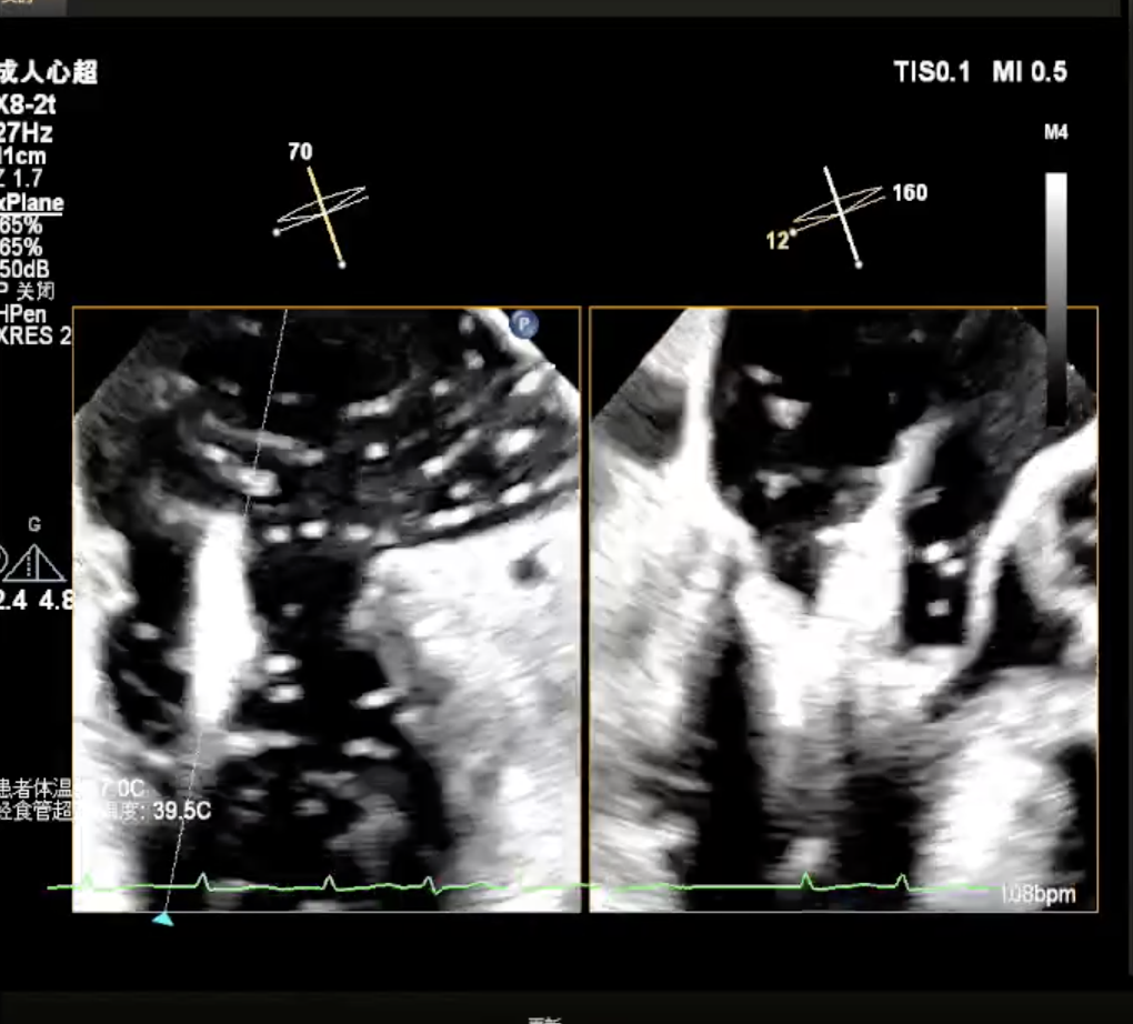
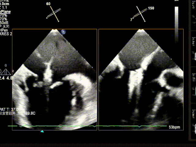
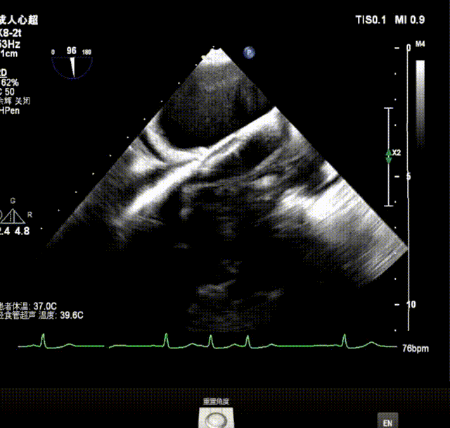
术中及术后即刻超声评估


GeminiOne瓣膜夹输送系统进入左房,
进行打弯调整使瓣膜夹朝向二尖瓣


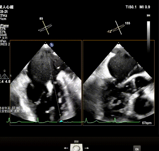
瓣上M/L和A/P调整瓣膜夹,在X-plane进行超声确认,
瓣上进行前后瓣对应夹片确认


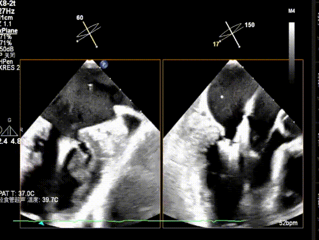
3D指示下调整瓣膜夹朝向病变区域P2偏P3区

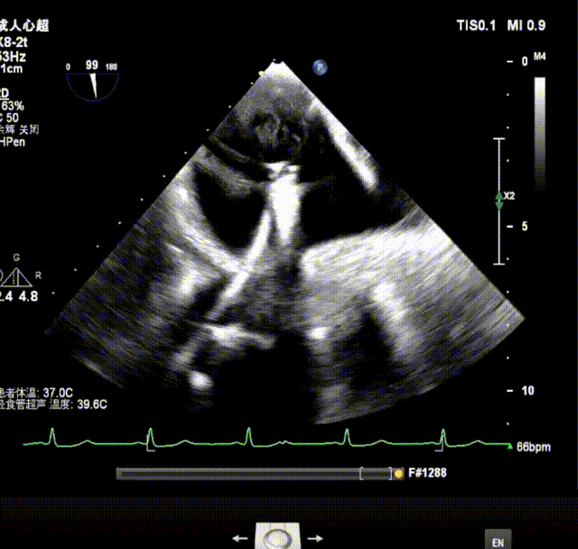
关闭瓣膜夹在超声指引下推进到左心室;打开瓣膜夹至120°,超声下抓捕瓣叶


确定瓣膜夹与病变区域垂直后,放下夹片,超声确认前叶后叶都夹合充分,3D检查瓣膜夹位置.


前瓣超声测量抓取1.00cm,后瓣抓捕1.04cm,抓捕充分;
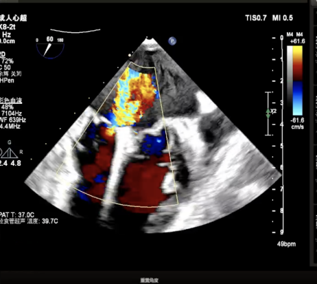
瓣膜夹释放前评估发现返流改善明显,仅存少量返流。


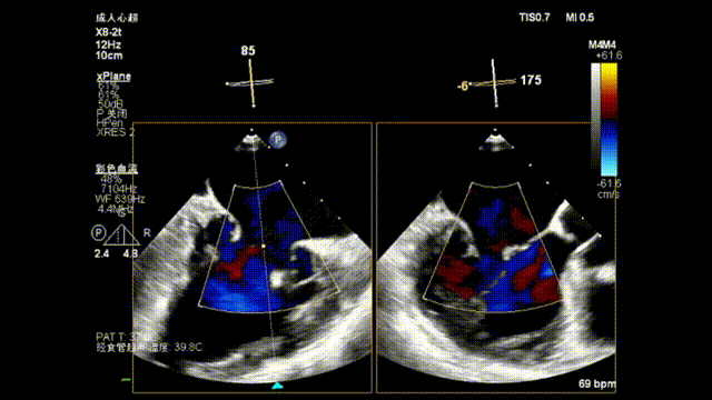
超声PW显示左肺静脉收缩期逆流消失.


最终释放用多普勒超声评估返流程度,返流情况改善明显,仅存在极微小返流;无瓣口狭窄;肺静脉逆流情况消失,血流动力学显著改善;3D超声下,瓣膜组织桥稳定。术后即刻评估,术后反流消失(MR 0+),术后跨瓣压差2mmHg,手术成功。
整体手术时间仅50分钟左右,器械时间27分钟。
Case2患者情况
患者情况:72岁男性,因“间断胸痛伴胸闷不适8年余,加重3天”入院;患者自诉2015年劳累后出现胸痛胸闷,于当地医院药物治疗后好转,随后上述症状反复发作。2023年4月于当地医院查心超提示二尖瓣重度关闭不全。遂至我院就诊,入院后行冠脉CTA检查未见明显异常。
既往病史:2019年疝气手术;房颤病史8年余;否认糖尿病、高血压病等慢性病,无饮酒吸烟史。
术前超声诊断:左心及右房扩大,二三尖瓣重度关闭不全,主动脉瓣轻中度关闭不全,升主动脉增宽,轻度肺高压,TEER解剖难度分级:黄区。二尖瓣P2区脱垂,LVEF为60%。
术前超声诊断
X-plane视窗可见二尖瓣2区脱垂;3D enface view示二尖瓣内P2脱垂,偏心性返流


反流束宽 15.4mm PISA半径 9mm,PISA 法估算EROA= 0.21cm²,Rvol=42ml
PW显示左肺静脉收缩期血流频谱呈逆向


3D模式测量二尖瓣瓣口面积5.57cm²;
二尖瓣口平均跨瓣压差=3 mmHg


手术过程
患者麻醉方式为全麻,建立静脉通路后,穿刺右侧股静脉,食道超声指导下房间隔穿刺成功,将超硬导丝送至左房,沿导丝将可调弯导引导管送入左房,经导管鞘系统将GeminiOne瓣膜夹输送系统顺利送到二尖瓣目标位置,在TEE辅助下精确定位瓣膜夹,夹合A2-P2区病变,第一枚瓣膜夹释放后彩色多普勒超声显示残余少量分流,手术团队决定植入第二枚瓣膜夹,经超声多平面验证充分夹合,释放后整体反流量改善,肺静脉血流翻转消失,手术顺利下台,安返病房。
术中及术后即刻超声评估
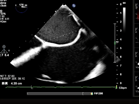
测量穿刺点距离二尖瓣环的位置,测量为4.35cm;沿着导丝置入可调弯导引导管,使其穿出穿刺点2cm左右


经导管瓣膜夹输送系统进入左房,进行打弯调整使瓣膜夹朝向二尖瓣


瓣上M/L和A/P调整瓣膜夹,在X-plane和3D下反复确认弹道和夹臂方向


关闭瓣膜夹,在超声指引下推进到左心室;瓣膜夹展开至120°,超声下抓捕瓣叶。


释放瓣膜夹后评估发现返流改善明显,但是仍有2+残余反流,综合考虑决定再植入一枚长宽瓣膜夹


第二枚瓣膜夹紧挨着第一枚瓣膜夹释放形成双孔,返流改善明显。


超声PW显示左肺静脉收缩期逆流消失

最终释放用多普勒超声评估返流程度,返流情况有效改善,术后仅残留少量反流( MR 1+),术后跨瓣压差3mmHg;无瓣口狭窄;肺静脉逆流情况消失,血流动力学显著改善;3D超声下,瓣膜组织桥稳定。术后即刻评估,返流有效降低至少量(1+),手术成功。
Case3患者情况
74岁女性,因“胸闷伴心慌10余天”入院;患者自诉10天前无明显诱因出现胸闷,伴恶心呕吐,于当地医院造影检查提示LAD、RCA中度狭窄,予抗板、调脂、利尿、改善微循环等治疗后,症状稍改善。近期为进一步治疗至我院就诊,入院查心超提示二尖瓣后叶腱索断裂,P3区脱垂并重度反流。
既往病史:10年前行胃大部切除手术;否认糖尿病、高血压病等慢性病,无饮酒吸烟史。
术前超声诊断:二尖瓣口返流VCW约1.5cm;PISA法测得Rvol=145ml,EROA约1.06cm²;
LVEF约63%,三维描记瓣口面积约6.6cm²,二尖瓣叶稍厚、回声稍强,开放可,后叶P2近P1区瓣尖可见断裂的腱索呈“连枷样”运动,后叶P2区及小部分P1区瓣体脱入左房侧,瓣叶对合错位,脱垂高度约0.6cm,脱垂宽度约1.4cm。二尖瓣口收缩期可见极大量偏心性返流信号;右上肺静脉可见逆流信号,TEER解剖难度分级:黄区,左心耳无血栓。
术前超声诊断
X-plane视窗可见二尖瓣瓣叶“连枷样”运动;
3D enface view示二尖瓣内后叶2偏1区瓣尖可见断裂的腱索呈“连枷样”运动,偏心性返流


PISA定量:EROA=1.06cm²,Rvol=145ml,Vmax=399cm/s
PW显示左肺静脉收缩期血流频谱呈逆向


3D模式测量二尖瓣瓣口面积5.62cm²术前TEE房间隔高度约4.72cm


手术过程
经导管鞘系统将GeminiOne瓣膜夹输送系统顺利送到二尖瓣目标位置,在TEE辅助下精确定位瓣膜夹,夹合P1P2病变,第一枚瓣膜夹释放后彩色多普勒超声显示偏1区仍残余少量分流,手术团队决定植入第二枚瓣膜夹,第二枚瓣膜夹释放后整体反流量改善,多平面验证夹合充分,肺静脉收缩期血流翻转消失,手术顺利下台,安返病房。
术中及术后即刻超声评估
测量穿刺点距离二尖瓣环的位置,测量为4.35cm;沿着导丝置入可调弯导引导管,使其穿出穿刺点2cm左右


经导管瓣膜夹输送系统进入左房,进行打弯调整使瓣膜夹朝向二尖瓣


瓣上M/L和A/P调整瓣膜夹,在X-plane进行超声确认(视频),进行弹道路径检查;


3D指示下调整瓣膜夹朝向病变区域

关闭瓣膜夹在超声指引下推进到左心室;打开瓣膜夹至120°,超声下抓捕瓣叶。


确定瓣膜夹与病变区域垂直后,放下夹片;超声确认前叶后叶都夹合充分,3D检查瓣膜夹位置.


瓣膜夹释放前评估发现返流改善明显,但是P1脱垂外侧仍有少量返流,综合考虑决定再植入一枚长宽瓣膜夹;
超声测量前瓣夹持长度0.91cm,后瓣夹持长度约1.14cm


第二枚瓣膜夹紧挨着第一枚瓣膜夹;夹合P2偏P1区脱垂,分担张力,稳定释放瓣膜夹,返流消失。


释放后平均压差2mmHg,瓣口面积可,超声PW显示左肺静脉收缩期逆流消失.


最终释放用多普勒超声评估返流程度,返流情况改善明显,术后仅残留少量反流( MR 1+),术后跨瓣压差5mmHg,无瓣口狭窄;肺静脉逆流情况消失,血流动力学显著改善;3D超声下,瓣膜组织桥稳定。术后即刻评估,返流几乎消失,手术成功。
武汉大学中南医院刘金平教授团队、王斌教授团队使用沛嘉医疗自主原研的GeminiOne经导管瓣膜缘对缘修复系统为二尖瓣返流病人带来了可行的,新的解决方案,进一步推动了该具有自主知识产权的国产创新器械的人体临床试验进程,希望GeminiOne早日完成临床试验,造福更多二尖瓣返流患者。

专家简介
刘金平
武汉大学中南医院(点击进入专家个人主页)
主任医师,教授,博士生导师,武汉大学中南医院副院长,心血管病医院院长,武汉大学第二临床学院胸心血管外科教研室主任,心血管外科科主任,心肺移植中心主任,心脏瓣膜病中心主任。湖北省心脏大血管外科微创诊疗工程研究中心主任,武汉市结构性心脏病微创诊疗临床医学研究中心主任,中华医学会胸心血管外科分会青年委员会副主任委员,亚洲心脏瓣膜委员会中国分会副主任委员,湖北省医师协会理事会常务理事,湖北省医学会胸心外科分会副主任委员,湖北省医师协会心血管外科医师分会副主任委员,中国医师协会器官获取与分配工作委员会常委,国家心脏病质控专家委员会委员,国家心脏病微创专家委员会委员,国际微创心胸外科学会委员。长期从事心血管外科临床及科研工作,尤其对微创心脏外科、终末期心肺疾病和心肺移植有深入研究和丰富临床经验。主持国家自然科学基金四项,参与多项国家重点研发及科技支撑项目。在Circulation、Hepatology、ATVB、中华医学杂志等权威期刊发表相关论文数十篇,多次荣获中华医学会及省部级相关奖励。
王斌
武汉大学中南医院(点击进入专家个人主页)
张力
武汉大学中南医院(点击进入专家个人主页)
心血管外科副主任医师,硕士生导师,瓣膜及微创心脏亚专科负责人,武汉大学第二临床学院胸心血管外科教研室副主任,武昌区青年委员,武汉大学中南医院青年知识分子联合会副会长,曾任枣阳市第一人民医院副院长。第五届全国心外科青年医师技能大赛全国总决赛亚军;擅长各类心脏瓣膜手术、房颤迷宫消融手术,尤其是微创胸腔镜瓣膜修复及置换手术,及经导管/经心尖主动脉瓣置换(TAVI),二尖瓣修复或置换(TEER/TMVR),三尖瓣介入治疗等结构性心脏瓣膜病介入及手术技术;主持国家自然科学基金一项,多项省级及武汉大学科研项目。发表第一作者及通讯作者SCI论文6篇(一区5篇),其中一篇为ESI高被引论文,总影响因子超过50分。
王艺
武汉大学中南医院(点击进入专家个人主页)
毕业于华中科技大学同济医学院临床医学八年制,就职于武汉大学中南医院心血管超声医学科,中国民族卫生协会超声医学分会心脏超声委员会委员,赣医联合会理事,中国民族医药学会健康产业分会理事。对先天性心脏病、瓣膜疾病、心肌病、心脏肿瘤等心血管疾病有较全面的诊断认识;熟练掌握经食道超声心动图与术中心脏超声监测;熟练掌握结构性心脏病介入术中超声引导;能熟练开展超声造影工作等。在临床工作中,对人工瓣膜、结构性心脏病治疗器械等的应用有较深入研究并参与多项临床实验研究。



