近日,浙大一院余杭院区首次成功应用我国创新器械JensClip完成了一例高难度二尖瓣缘对缘修复手术,手术圆满成功。术前心脏大血管外科马量主任、李伟栋主任、徐鸿飞副主任联合超声科、麻醉科、心脏重症监护室、护理团队等多学科对患者病情进行了周密评估,迎难而上,突破前进,组织了多学科充分讨论,术中团队完美配合,精准操作,最终手术圆满完成,患者重获“心”生,术后即刻超声显示二尖瓣反流显著改善,术毕即刻拔管,患者恢复良好。

此次手术在余杭院区顺利开展,开台即是高点,标志着浙大一院又一院区有条件开展二尖瓣缘对缘修复手术,将为更多不能耐受外科开胸手术的二尖瓣反流患者带来福音。
患者基本情况
83岁的男性患者,数年前无明显诱因出现胸闷,偶有胸痛无法平卧,因症状加重为求进一步诊治入院。患者有多年心衰史,冠心病20余年,于8年前行冠脉支架置入术,1年前置入起搏器。
入院诊断
1.二尖瓣关闭不全(重度) 2.主动脉关闭不全(轻度) 3.三尖瓣关闭不全(轻度) 4.肺动脉高压(中度) 5.心脏起搏器植入后 6.I度房室传导阻滞 7.肺部感染 8.胸腔积液 9.胆囊结石。
超声提示
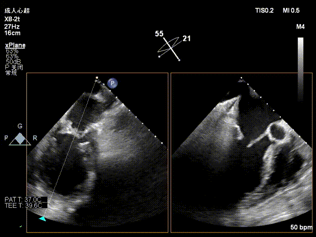
1.术前超声提示双房增大,四腔心切面左房大小约77*65mm,右房大小约41*59mm;2.二尖瓣瓣叶稍厚,回声增粗增强,开放可,关闭不佳,关闭时二尖瓣后叶(P2区及部分P3区)脱垂伴重度关闭不全;3.主瓣、三尖瓣少量反流。




术前二尖瓣大量反流,脱垂宽度超过20mm,主要为P2区及部分P3区
手术难点及策略
本例患者属于后叶脱垂引起的原发性二尖瓣反流(DMR),反流程度达到4+,且后叶广泛脱垂,脱垂宽度达21mm,脱垂高度达11mm。如此宽的脱垂范围给TEER手术带来极大难度,但综合患者情况,认为患者高龄,心功能降低,一般情况较差,已经无法用外科解决二尖瓣反流问题。马量主任、李伟栋主任、徐鸿飞副主任团队迎难而上,决定为其实施经导管二尖瓣缘对缘修复术。
结合患者的解剖结构,在保证瓣口不出现狭窄的前提下尽可能地降低二尖瓣反流程度,团队计划植入两枚瓣膜夹。第一枚瓣膜夹尽可能植入于P2P3位置解决大的脱垂,第二枚瓣膜夹植入于P2残余脱垂处。后叶脱垂较高,将会给夹合器的抓捕带来较大难度。术中考虑尝试进行单边分开捕获瓣叶,以降低同时捕获的难度,在捕获瓣叶时,要精准把握时机,在心脏舒张期时,夹合臂才能捕获脱垂的瓣叶,此刻Clip下夹,成功捕获脱垂的瓣叶,尽可能增加瓣叶夹合量,保证瓣膜夹稳定。

手术过程
手术经股静脉-房间隔入路,采用全身麻醉插管,在TEE和DSA引导下完成房间隔穿刺。置入JensClip瓣膜夹系统后,在左房调整瓣膜夹的位置和轴向,后进入左室,在TEE引导下捕捉二尖瓣前后瓣叶,并关闭瓣膜夹。经TEE反复确认手术效果后最终锁定并释放瓣膜夹。由于该病例二尖瓣后叶P2区及部分P3区脱垂,脱垂范围宽度达20mm,术中植入了两枚长宽(LW)的瓣膜夹。术后即刻超声显示瓣膜夹位置稳定,功能良好,二尖瓣反流由术前4+减少至微量,肺静脉逆流和左房压都显著好转,手术圆满成功。术后患者状态良好,目前已安排出院。



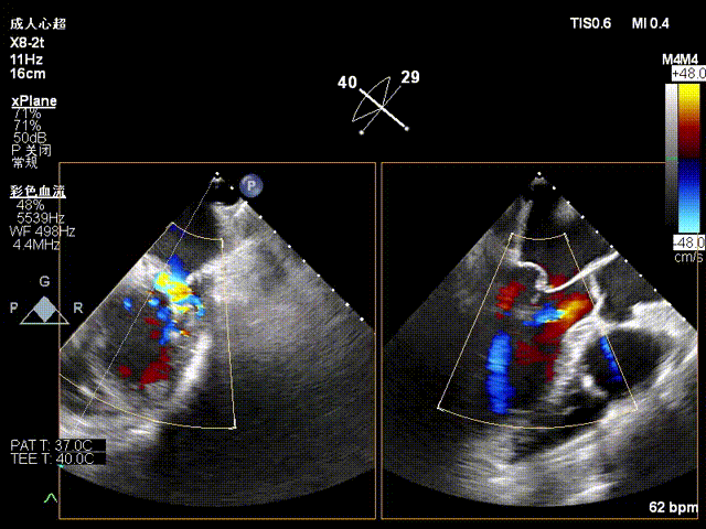
第一枚瓣膜夹植入于P2P3位置,植入后内侧反流消失


第二枚瓣膜夹植入于P2残余脱垂处


术后二尖瓣反流降至微量,瓣膜夹稳定,功能良好
专家简介
马量
浙江大学医学院附属第一医院
浙江大学医学院附属第一医院心脏大血管外科博士,主任医师,博士生导师,瑞士洛桑大学医学院博士学位获得者。现任心脏大血管外科主任,心脏移植中心主任。2018年中国医师协会心血管外科好医师之“金刀”荣誉称号获得者。目前担任浙江省医学会胸心外科学分会候任主任委员、浙江省医师协会心血管外科医师分会会长、亚洲瓣膜病学会常务委员、中国医师协会器官移植分会委员、浙江省医学会器官移植分会委员、国家心血管病专家委员会微创心血管外科专业委员会常委等。
从事心胸外科的临床工作30年,完成心脏外科手术超万例,在成人心脏瓣膜病、先心病、冠心病、心脏肿瘤、主动脉夹层、房颤等心脏疾病的外科治疗积累了十分丰富的经验。尤其在微创心脏外科领域成绩斐然,带领科室发展迅速,在2020年度微创二尖瓣手术排名全国第二,连续5年举办心脏微创瓣膜手术全国直播演示。在心脏移植领域也独有建树,主刀百余例,主动脉阻断时间创全国最短纪录,2020年并完成全国最高龄78岁心脏移植。2021年完成全国首例心肌淀粉样变心肝联合移植。为浙江省和中国在心血管外科领域的发展和后备队伍建设不断贡献着力量。
获得浙江省科学进步二等奖、浙江省医药卫生科技二等奖等多个奖项,已发表SCI论文60余篇,申请授权专利2项。主持国家自然科学基金2项,浙江省重点研发项目1项,参与多项十二五、十三五国家重点研发计划。
李伟栋
浙江大学医学院附属第一医院
浙江大学医学博士,主任医师,英国伦敦心脏病中心访问学者。目前担任浙江大学附属第一医院心脏大血管外科副主任、心脏移植中心副主任、微创中心副主任,心胸外科党支部副书记。兼任中华医学会胸心血管外科学分会全国青年委员、亚州心脏瓣膜病协会中国分会全国委员、国家结构性心脏病介入质量控制委员会委员、浙江省医学会胸心外科学分会秘书兼青年委员会副主任委员、浙江省心血管外科医师协会常委兼总干事。
同时熟练掌握外科微创手术技术和内科介入技术,致力于为每一位患者提供最优化的微创治疗方案。至今已主刀完成各类心胸外科手术近5千例,手术效果优良,心脏瓣膜类手术微创化手术比例超过80%,各类瓣膜介入手术量排名华东区心外科前三。成功完成多例全省及全国首例微创复合手术(全国首例经心尖TAVI联合同期肺癌根治术,全国首例经心尖mitralstitch”缘对缘+腱索”二尖瓣介入成形术,全国首例微创冠脉多支搭桥联合同期肺癌根治手术,华东区首例MitraFix经导管二尖瓣置换术等)。先天性心脏病介入封堵手术量全省心外科第一,省内首创24小时日间手术模式。在省内率先开展一站式房颤全腔镜微创射频消融加左心耳切除手术及瓣周漏封堵手术,手术数量和效果均居全国先进行列。另外,作为主要参与人,成功完成我省多例心脏及多器官联合移植手术。
近年来,主持及主参国家自然科学基金、省科技厅重大项目、省自然基金课题等共13项。以第一或通讯作者共发表SCI论文25篇(10分以上2篇,5分以上3篇),获国家专利一项,获浙江省科技进步二等奖及三等奖各一项。
徐鸿飞
浙江大学医学院附属第一医院
心脏大血管外科,医学博士,副主任医师,浙江省医师协会心血管外科医师分会秘书。
毕业于浙江大学,师从金刀奖获得者倪一鸣和马量教授,临床擅长结构性心脏病介入手术、微创心脏手术、临床新技术新项目招募和入组,近三年已完成/协助完成主动脉瓣微创介入置换手术(TAVI/TAVR)200余例,二尖瓣介入修复/置换(TEER/TMVR)20余例,三尖瓣反流的介入修复手术40余例,瓣周漏介入封堵100余例,先天性心脏病经股无疤痕介入封堵500余例( 房间隔缺损、动脉导管未闭、室间隔缺损及卵圆孔未闭等),小切口微创心脏手术上千例。以第一作者或通讯作者发表SCI论文12篇。主持国家自然科学基金1项,主持省自然科学基金1项。获得国家专利4项。研究方向为终末期心衰的发病机制及新治疗技术进展(心脏移植及人工心脏植入),心脏恶性肿瘤的发病机制及治疗进展(活检/靶向治疗/免疫治疗)。


