2023年4月28日,青海省心脑血管病专科医院(青海省高心所)心脏外科路霖主任,联合冠心病科刘宝宝主任、心律失常科高琴主任、超声科金仁波主任、麻醉科王锦鹤主任、ICU湛守青主任以及导管室何媛媛护士长团队,共同为一例高龄重度主动脉瓣狭窄合并冠脉阻挡高风险患者完成经导管主动脉瓣置换(TAVR)手术。患者于1年前活动后出现胸闷、气短症状,未予以重视,1月前突发急性心肌梗塞,收治我院心内科治疗,经心脏超声检查,提示主动脉瓣重度狭窄,心功能减低。路霖主任团队在精细评估之后,向患者建议行经导管主动脉瓣置换手术,创伤小、恢复快,且技术成熟可靠,患者及家属欣然应允。据悉,手术结束后,TaurusElite人工瓣功能正常,植入位置理想,手术过程中无并发症发生,独特的收腰设计亦规避了冠脉阻挡风险,患者恢复极好,日前已康复出院。

患者基本信息
70岁,男性,主诉:活动后胸闷、气短1年,加重3天;
入院心超提示:Vmax 5.41m/s,PGmean 70mmHg,诊断为重度主动脉瓣狭窄伴少量反流,二尖瓣轻度狭窄伴少量反流,三尖瓣少中量反流。
术前CT评估
三叶式主动脉瓣,瓣叶增厚且中重度钙化,致使主动脉瓣狭窄;
左冠开口高度较低,瓣叶略冗长;
根部瓦氏窦、STJ结构偏小;
左室内径偏小,心肌肥厚;
股-髂动脉走行适宜,内径可,钙化较少。
CT影像
主动脉根部:






瓣环21.1mm,LVOT近直筒型
根部整体结构偏小,非横位心
冠脉评估:




左冠开口高度较低,瓣叶略冗长
根部结构较小,冠脉阻挡风险偏高
钙化评估:


中重度钙化,三窦内瓣缘均有钙化附着
瓣上多平面分析:






入路评估:



股动脉作为TAVR入路条件良好
主动脉弓评估:


TaurusElite输送系统可柔顺过弓及跨瓣
术前策略
路霖主任联合多学科团队,对手术细节做了详细讨论:
•
结合患者根部尺寸及解剖风险点,选择18mm球囊预扩,TaurusElite AV23瓣膜植入,良好的支撑性可以应对重度钙化,得到较好的展开形态;收腰设计可以尽可能规避冠脉阻挡风险;
•
以股动脉为入路完成介入换瓣,TaurusElite输送器具有外径细、输送柔顺的特性,能有效减少血管并发症发生;
•
请心律失常科高琴主任协助临时起搏器放置、测试;
•
请冠心病科刘宝宝主任协助完成左冠保护;
•
手术全程全麻管理,采用食道超声术中应用。
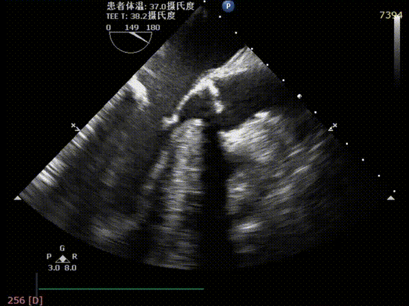
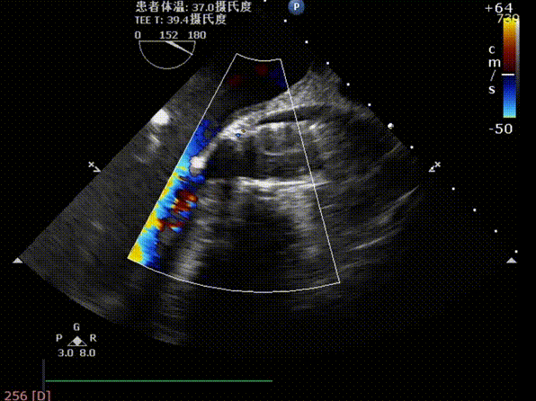
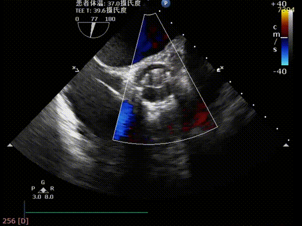
手术影像


术前TEE评估主动脉瓣

主动脉根部造影

球囊预扩左冠显影良好

瓣膜初始定位

释放中确认位置


工作位多角度评估,位置可,冠脉灌注正常


完全释放后评估,位置理想,冠脉灌注正常
释放后超声评估


释放后超声下多切面评估,瓣膜位置可,无明显瓣周漏
测得主动脉瓣流速由5.4m/s改善至1.9m/s
精彩一刻
科室介绍

青海省心脑血管病专科医院心脏外科团队是一个集合外科,介入手术治疗,内科基础治疗、基础科研为一体的综合团队。自1991年建立科室以来,不断发展,承担省内绝大部分心脏外科工作,且作为青海省心外科质控中心,负责省内各个医院心外科的质控工作。科室拥有床位57张,科室下业务设有结构性心脏病、成人大血管、微创心外科、小儿心脏外科、成人心脏外科等5个方面。心脏外科目前共有医师15人,高级职称7人,中级职称3人,初级职称5人,硕士研究生3人;护理团队共28人,其中高级职称1人,中级职称11人,初级职称16人,团队诊疗及护理能力强大。
作为省内最早开展心脏手术的专科医院,心脏外科团队共完成心脏微创介入手术共8000余例,开胸手术约7000余例。先心病介入治疗总例数位居西北五省区第二,专业业务能力在省内独占鳌头。独立开展A型主动脉夹层、结构性心脏病、微创心外科、冠心病外科、经导管主动脉瓣置换(TAVR)等特色医疗服务,手术治愈率98%以上。
术者介绍
路霖
青海省心脑血管病专科医院
向上滑动阅览
