4月14日,大连医科大学附属第二医院心血管外科吴海波教授团队应用J-Valve,成功为一名二尖瓣、主动脉瓣置换术后的二尖瓣反流患者完成1例TMVR(经导管二尖瓣置换术)。术前,团队综合患者情况及各项评估,经充分讨论后制定了详细的手术策略;术中各成员紧密配合,凭借团队丰富的经验和精湛的手术技巧,保证手术顺利开展;术后患者症状得到极大改善,手术取得圆满成功。
病例特点:双瓣置换术后TMVR
病史简介
患者为男性,主诉:二尖瓣、主动脉瓣置换术后6年,活动后胸闷10天。
既往病史:2017年8月28日曾行二尖瓣、主动脉瓣置换术。术中诊断:风湿性心脏瓣膜病、主动脉瓣关闭不全(重度)、二尖瓣狭窄合并关闭不全;心功能II -III级、心律失常、心房颤动。术中置换23号主动脉瓣生物瓣、27号二尖瓣生物瓣。
此次入院心超显示:主动脉瓣环径21.7mm、左室舒末内径47.0mm、左室缩末内径31.6mm、左房前后径46.7mm、左室射血分数58%、人工二尖瓣口血流速度E=251cm/s、MPG 8mmHg、人工主动脉瓣上血流速度239cm/s、PG 23mmHg。
超声诊断:主动脉瓣位及二尖瓣位人工生物瓣置换术后,主动脉瓣人工生物瓣活动良好,二尖瓣位生物瓣膜脱垂并反流(重度)。
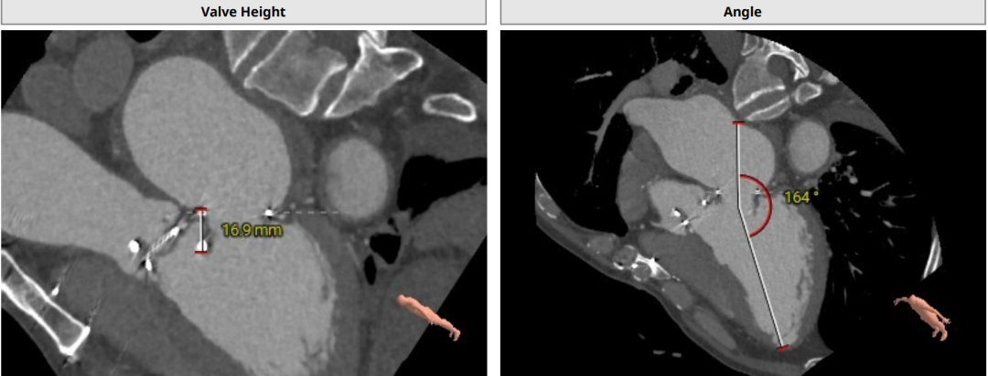
CT分析





手术步骤
心尖穿刺后送入导丝,建立轨道。送入大鞘,瓣膜置于二尖瓣瓣环处:

释放瓣膜:

球囊后扩:

术后造影,结合实时超声评估未见明显二尖瓣反流:

彻底止血,逐层缝合,闭合入路,手术结束。
住院期间复查超声:左室舒末内径44.6mm、左室缩末内径28.2mm、左室射血分数50%、人工二尖瓣口血流速度E/A=123/140cm/s、人工主动脉瓣上血流速度182cm/s、PPG 13mmHg。主动脉瓣位及二尖瓣位人工生物瓣在位,瓣架固定,瓣叶活动良好,未见明显瓣周漏,余瓣膜形态及结构未见异常。
手术的成功实施,不仅展现了手术团队精湛的技艺和专业能力,也是多学科密切合作的最佳体现。面对不断变化的疾病发展形势和临床需求,吴海波教授团队孜孜以求,在开展新技术方面精研探索,不断提升专业水平;未来团队将持续精进,为本地区广大患者提供更加优质的诊疗服务。
专家简介
吴海波
大连医科大学附属第二医院
博士、硕士研究生导师,大连医科大学附属第二医院心外科学科主任。
于德国柏林心脏中心进修学习并完成博士学位,参与及主刀的心脏外科手术数千台,内容涵盖几乎所有类型的心血管外科手术,熟练掌握多项复杂的心血管外科手术技术:心脏移植、心脏辅助装置植入及达芬奇机器人手术操作。曾于我国著名心脏中心——北部战区总医院心血管外科从事临床工作,积累了大量的临床工作经验,并担任了多项学术任职:中国医师协会心脏重症专业委员会心脏辅助循环组专业委员会 委员;辽宁省细胞生物学学会心血管外科专业委员会常务理事;辽宁省器官移植学会委员;辽宁省及大连市医学会医疗鉴定专家库成员;辽宁省孕产期母儿心脏病委员会常务委员等。
