2023年6月09至11日,TAIPEI VALVE SUMMIT 2023于台北振兴医院成功召开,本次大会邀请来自25个国家/地区之领域专家学者与会,关注TAVR治疗未达理想的临床需求以及TAVR介入治疗时代的外科视角,共同研讨TAVR和其他经导管心脏瓣膜干预治疗的综合解决方案。厦门大学附属心血管病医院王焱院长团队受大会邀请成功应用由复旦大学附属中山医院葛均波院士牵头,沛嘉医疗自主研发的TaurusNXT“非醛交联”经导管主动脉瓣系统,向在线国内外专家进行一例TAVR手术演示。在王焱教授、王斌教授、陈翔博士带领下,以及麻醉科、超声科的协助下,为一位二叶畸形重度主动脉瓣狭窄伴轻度关闭不全、合并LBBB患者实施经导管主动脉瓣置换手术,手术过程顺利,取得圆满成功。术后患者状态良好,血流动力学均得到显著改善。

本次直播由曹殿萍教授,周玉杰教授,王焱教授作会议主持,罗建方教授、李捷教授、吴磊明教授、Jian Ye教授,Cheng-An Chiu教授作参会嘉宾,共同讨论TAVR在AS与AR不同病症下的临床选择与挑战。目前主动脉瓣二叶瓣畸形、高钙化仍是TAVR临床应用的关注点。本次手术的成功演绎展现了厦心团队的高超技艺和默契配合,与会专家对沛嘉TaurusNXT“非醛交联”干瓣系统在应对二叶瓣、高钙化病例中的表现表示赞扬。通过本次会议,促进海峡两岸及外国专家学者交流,学术内容深入聚焦,携手同心,共同推动两岸心脏瓣膜疾病治疗的发展。






患者信息
患者70岁男性,因“反复气促4年余,夜间出现阵发性呼吸困难”入院,既往高血压病史,术前超声心动图提示Type0二叶式主动脉瓣重度狭窄伴轻度关闭不全、瓣叶重度钙化增厚、交界粘连,峰值流速 4.0m/s、平均跨瓣压差 34mmHg、有效瓣口面积 0.51cm²;双房及左室扩大;升主动脉增宽;左室壁增厚;肺动脉增宽;二尖瓣后瓣环钙化伴轻中度反流;轻中度三尖瓣反流;中度肺动脉高压;EF值44%。
主动脉根部评估

主动脉瓣瓣环周长79.9mm,周长径25.4mm

LVOT 周长 87.8mm,周长径27.9mm

SOV:30.6mm*46.3mm

STJ 周长:119.4mm

HU850:879mm³

瓣环水平夹角50度

左冠开口高度15.1mm

右冠开口高度17.6mm

左瓣叶长度18.3mm

右瓣叶长度20.9mm
血管外周及入路评估



整体入路血管条件良好:入路走行可、无扭曲,双侧髂总动脉散在少许钙化,左侧髂总动脉可见偏心脂质斑块、内膜不光滑;双侧股动脉分叉不高,股动脉穿刺处无明显钙化。
病例特点及策略
• Type0型二叶瓣,瓣叶重度钙化伴增生肥厚,钙化呈偏心性分布;受右冠窦及前交界重度钙化影响及瓣口形态限制,存在人工瓣膜形变、少-中量瓣周漏等风险
• 冠脉开口高度可,瓣叶稍冗长,结合瓦氏窦、STJ内径综合预估,冠脉风险相对不高,术中仍需结合球 囊预扩进一步评估。
• 接近横位心,动脉弓部夹角、弓距可,因二叶瓣重钙化,预备Snare协助跨瓣。
• 左室腔较大,EF值低(EF 44%),术中循环崩溃风险较高,关注血流动力学变化。
• 整体入路血管条件良好,管腔内径可,术中谨慎操作,避免入路血管损伤及相关并发症。
• 拟采用20mm球囊进行预扩,植入TaurusNXT AV26瓣膜,使用零位释放的策略降低术后新发传导阻滞风险。
TaurusNXT植入过程
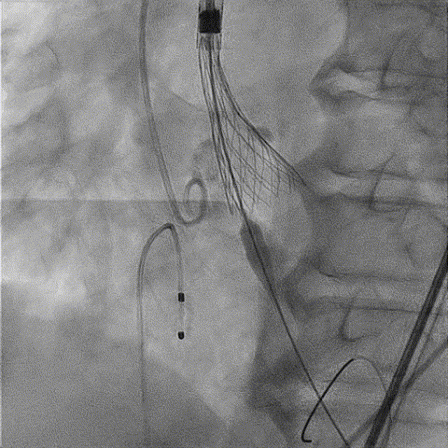
全麻后超声引导下建立入路,左侧股动脉置入TaurusNavi 20F血管鞘。跨瓣后左室放置Lunderquist导丝,使用TaurusAtlas 20mm球囊预扩,球囊无明显位移,有轻微腰征、无漏。输送系统预备同侧Snare从右股动脉送入,安全顺利通过主动脉弓。瓣膜在双窦展开位约瓣上2mm位初始定位释放,工作位造影多角度评估后予以释放(一次定位释放,未采用多次回收功能)。超声下显示瓣膜偏椭圆,之后使用TaurusAtlas 22mm球囊后扩,支架形态改善明显,导管测压由术前的70mmHg即刻下降至1mmHg,术后即刻超声心动图评估显示瓣膜位置良好,微量瓣周漏,血流动力学指标理想。
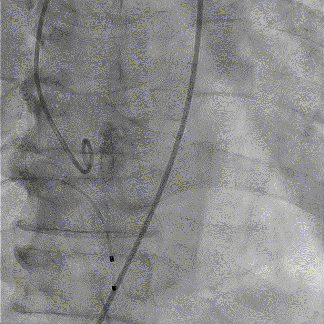
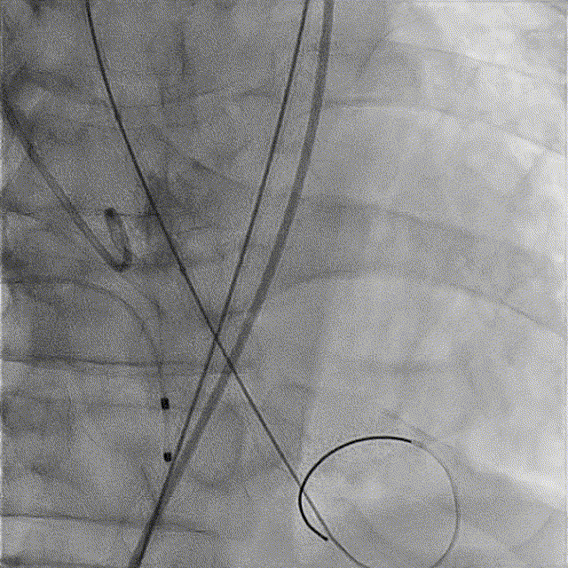
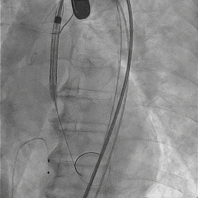
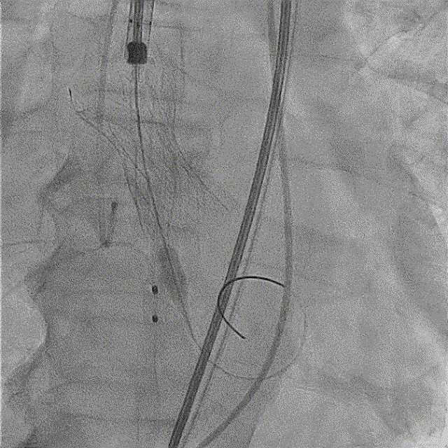
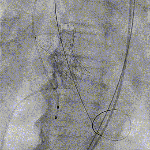
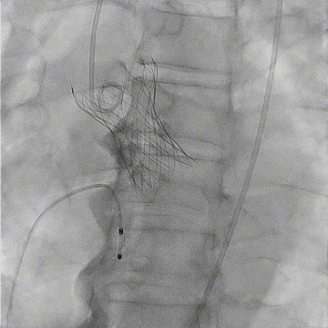
术中影像

主动脉根部造影

球囊预扩

预备Snare跨瓣

瓣膜初始定位

工作位造影(双窦展开位)

完全释放

球囊后扩

最终造影
超声影像


血流动力学改善,瓣膜形态良好。

会议期间,王焱院长团队与线上专家就国内TAVR技术进行了深入的交流和讨论,中国患者主动脉根部解剖与欧美人群存在差异,具有先天性二叶瓣发病率高、风湿性瓣叶交界粘连重、瓣叶钙化程度高等特点。面对二叶瓣畸形患者,针对自膨瓣或者球扩瓣,选择合适的瓣膜尺寸,始终是TAVR领域研究的难点和热点。而平衡TAVR术后血栓和出血风险,也是临床上需要着重考虑的问题。王焱院长指出针对个体化出血风险的评估是目前各项手术术后抗栓治疗指南的重点,对于合并更多种类的手术风险的TAVR患者而言,更需要全面评估患者的出血风险,谨慎地制定抗栓治疗方案。此次演示的国产TAVR器械TaurusNXT针对国内患者的特点进行径向支撑力的优化,既满足足够径向支撑力的同时保证释放的稳定性,瓣膜干瓣预装载,配合良好输送性能,增加手术安全性,缩短手术时间。

创新突破,行稳致远
沛嘉自创立之初即潜心研究瓣叶处理技术,历经多年终实现技术的革命性突破。TaurusNXT经导管主动脉瓣系统,是沛嘉医疗第三代介入牛心包瓣膜,是将“非醛交联”瓣叶生物处理技术和超低温真空冻干处理技术应用于经导管主动脉瓣系统并顺利进入人体临床试验。和醛基封闭或醛基清洗技术不同,非醛瓣叶生物处理技术避免戊二醛处理瓣叶而残留的醛基所诱发的组织钙化,从机制上消除钙化的主要风险,并且应用全新的复合交联、除原体细胞、抗降解性能、病毒去活等技术,以期带来更优越的耐久性和更好的生物相容性,瓣叶在复水后即刻血液动力学指标良好。超低温真空冻干的瓣叶干式处理,完整保持瓣叶物理性能,同时实现瓣膜系统的预装载,减少植入前准备时间。TaurusNXT优化支架结构和输送系统,在瓣膜锚定、封堵、瓣口面积等血流动力学改善以及术者操控性等方面均有进一步的提升。
