近日,重庆医科大学附属第二医院心脏介入中心苏立教授团队在多学科合作下,通过急诊TAVR成功救治一名重度主动脉瓣狭窄患者。

病情危急
患者资料
患者为74岁女性。患者以“发热、咳嗽2天”于2023-06-12于我院呼吸科住院。
现病史:入院前2天,患者无明显诱因出现畏寒、发热,最高体温 38°C,伴咳嗽、咳痰、喘累不适,咳少量白色黏痰,无寒战、盗汗,无胸闷、胸痛、咯血、痰中带血,伴头痛、肌肉酸痛,无头晕、视物旋转、恶心呕吐等不适,患者于当地诊所就诊,予以抗感染、止咳祛痰等对症治疗(具体不详),患者感上述症状无明显缓解。患者为求进一步诊治入院,门诊查血常规提示白细胞计数15.05x10^9/L,中性粒细胞百分比85.4%,C反应蛋白 137.21mg/L,超敏C反应蛋白>5.0mg/L。胸部CT提示双肺间质性改变,伴散在炎症可能,左肺上叶下舌段节段性肺不张,门诊以“社区获得性肺炎”收治入院。
既往史:有“心脏瓣膜病”病史10余年,5年前于外院就诊后建议患者行外科换瓣手术,患者因个人原因拒绝手术,后未进一步治疗。
治疗经过:患者入我院呼吸科后经积极抗感染等治疗,但患者呼吸困难明显,大汗淋漓,不能平卧,血压低,迅速进展为休克状态,考虑“急性心力衰竭,心源性休克”,经心内科住院总医师会诊后转入CCU进一步治疗。
入CCU查体
心脏彩超

胸部CT
肾功能
NT-proBNP
血气分析
(06-14)血气分析:动脉氧分压(P02)55.9mmHg ↓,动脉二氧化碳分压(PCO2) 30.9mmHg ↓,全血乳酸测定3.9mmol/L ↑,吸氧浓度(FIO2)41%。
初步诊断
术前情况
临危不乱
迅速制定应对策略
争分夺秒
多学科携手护航手术成功
15点30,杂交手术室刚结束上台手术,患者随即进入导管室,此时患者血压为93/50mmHq、心率94次/分。病情紧急,麻醉科陈玉培教授凭借过硬功底,快速完成桡动脉穿刺测压、深静脉置管、诱导麻醉及气管插管;超声科朱叶锋先用经胸超声进行细致检查;导管室张长志护士长带领护士彭丽娟,技师杨杰同时完成了监护、导尿、仪器术前准备;介入医师进行消毒、器械准备以及瓣膜装配;ECMO小组也已经完成准备工作。
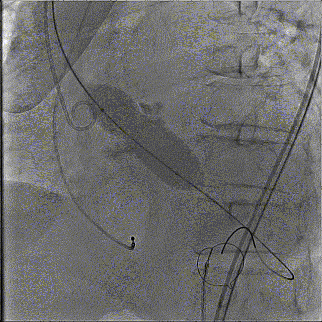
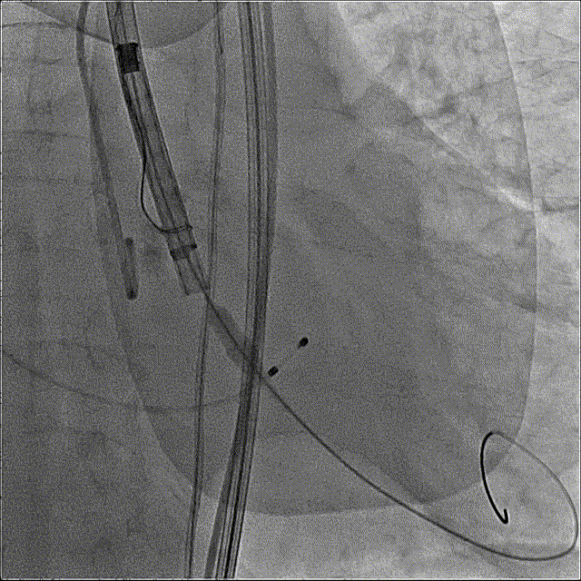
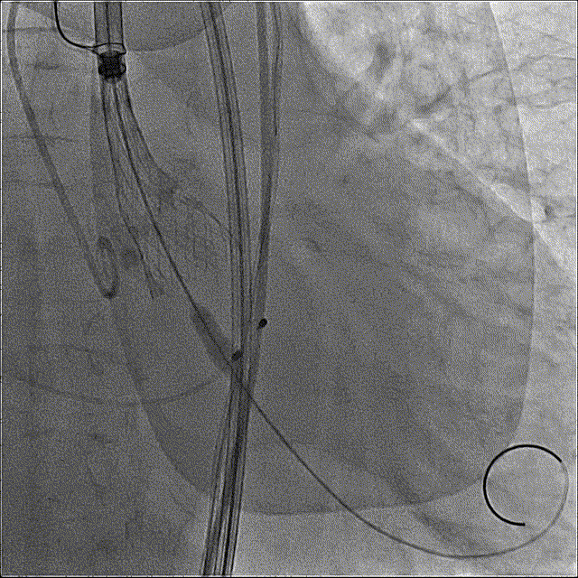
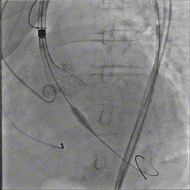
手术过程



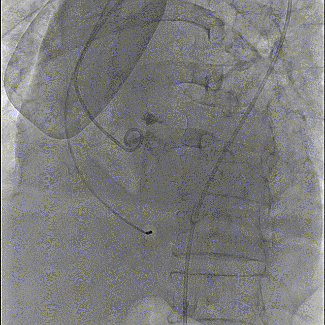
左冠造影

右冠造影




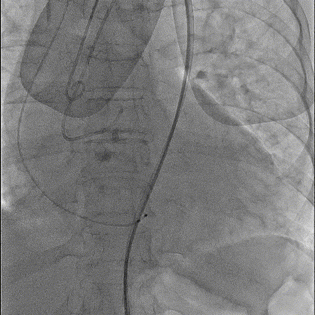
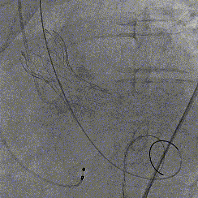
猪尾中部初始定位

初始释放定位

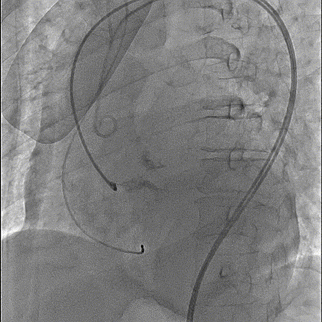
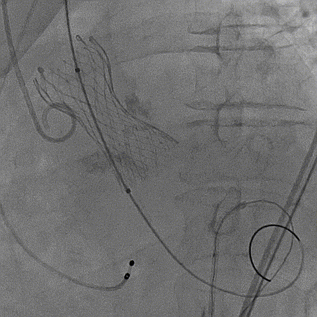
瓣膜开花造影

瓣膜工作位造影

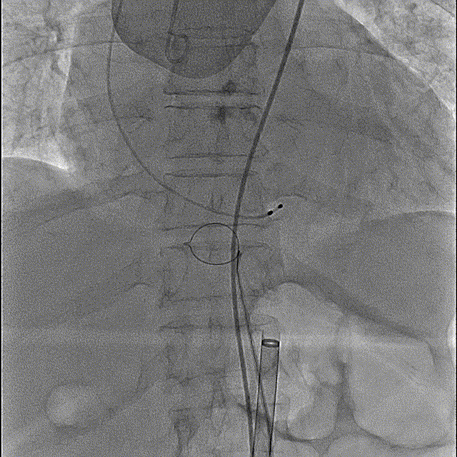
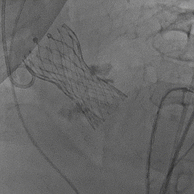
最终释放,瓣架稳定脱钩

释放后造影,可见微量反流


未见明显反流

术后即刻压差从81mmHg下降至23.9mmHg

最终造影

主动脉弓剪影,瓣膜植入深度3mm,冠脉显影正常,主动脉弓正常

术后即刻情况