近日,兰州大学第二医院心内科林欣主任带领团队成功实施一例“一站式”经皮冠脉支架植入(PCI)+经导管主动脉瓣置换术(TAVR)手术。在心血管内科、CCU、心血管外科、麻醉科、心脏超声科、手术室、放射科等多个学科专家的支持配合下,帮助患者完成了闭塞冠脉血管开通和经皮心脏主动脉瓣膜植入的手术治疗。
此次兰州大学第二医院首例一站式手术的顺利完成,得益于兰州大学第二医院多学科TAVR团队积累的深厚合作经验和手术技艺,标志着兰州大学第二医院心内科在心脏介入瓣膜置换技术再上一个新台阶!让更多老年主脉瓣疾病患者得到高水平的医疗服务,恢复健康、享受高质量的晚年生活。
患者情况
患者:女性,76岁
主诉:间断胸闷、气短、头晕3年余,加重20天
现病史:患者于入院前3年余无明显诱因间断出现胸闷、气短、头晕症状,偶有咳嗽,活动及劳累为著,持续约10分钟,休息后可缓解。以“主动脉瓣狭窄”收住我科。自患病以来,患者神志清,精神欠佳,睡眠、饮食欠佳,大便干结,小便正常,近1月体重减轻约3kg。
既往史:确诊2型糖尿病20天,规律口服“盐酸二甲双胍片 0.5mg bid 餐前”降糖治疗,未规律监测血糖。
术前检查
超声提示:
心脏瓣膜病
主动脉钙化狭窄(重度)
升主动脉内径增宽
左室舒张功能指标减低
肺动脉压26mmHg
左房及左心耳内未见确切血栓征象
EF值:76%
Vmax: 414cm/s
PGmean: 38mmHg
CT提示:
主动脉根部:
TYPE0型二叶瓣,瓣叶增厚,轻度钙化,左冠开口高度约11.4mm,右冠开口高度约14.9mm,法式窦结构尚可,STJ高度约20.2mm、直径约27.9mm,升主动脉增宽,最宽处约 43.6mm,心脏角度约49°,左室大小尚可,心肌增厚,工作角度:LAO22° ,CRA 30°。
入路情况:
主动脉弓部走行较平缓,可见少许钙化斑块,主动脉弓部三根毛开口未见明显狭窄征象、未见发育变异,胸主动脉、腹主动脉走行稍迂曲,可见少许钙化斑块,管腔未见明显狭窄,双侧髂动脉-股动脉走形稍迂曲,可见钙化斑块,管腔未见明显狭 窄,综合考虑,推荐右侧股动脉做为主入路。右侧股动脉穿刺水平管腔直径约为7.9mm,右侧股动脉分叉约在股骨头中下1/3水平。












手术策略
难点分析
①LVOT偏小,患者传导阻滞几率较高
②二叶瓣易残余瓣周漏
③小心室,超硬导丝术中易弹出,有循环崩溃风险
制定策略
林欣主任带领TAVR团队组织多学科集体对其病变进行深入分析、反复讨论后,结合患者主动脉根部情况及病情等综合因素,为确保冠脉安全,拟采取PCI+TAVR一站式手术策略。决定18mm球囊进行预扩,使用VenusA-Plus可回收输送系统,拟经由右侧股动脉入路植入L23型号瓣膜完成手术,根据瓣膜释放后情况决定是否后扩。
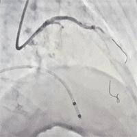
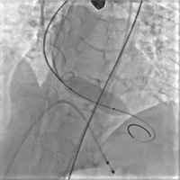
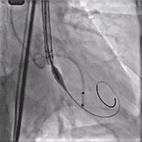
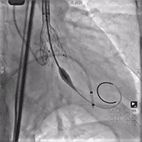
术中影像

左冠术前造影,重度狭窄伴弥漫性钙化

PCI术后左冠造影

球囊预扩

定位胶囊腔

瓣膜释放至2/3处造影

瓣膜释放完毕
术后结果

术前压力阶差

术后无压力阶差
术后造影及超声提示未见反流无瓣周漏,瓣膜植入位置良好,术后即刻基本无压差,术后未出现相关并发症,手术圆满成功。