近日,浙江大学医学院附属第二医院王建安教授团队应用MuguetA™球扩瓣为一例重度嵴钙化、极度锐角弓合并68°横位心的患者成功实施TAVR手术,同时采用脑保护装置Sentinel规避脑卒中发生。
简要病史
患者:女性,74岁,因“活动后胸闷气急1年”入院,超声心动图提示:主动脉瓣口流速6.42 m/s,平均跨瓣压差100mmHg,LVEF66.6%,主动脉瓣钙化并重度狭窄,升主动脉狭窄后扩张,主动脉弓部增宽,二尖瓣中等量反流。

术前心超
TYPE1型二叶瓣,瓣环面积:359.1mm²,直径:21.7mm;LVOT面积:364.1mm²,直径:22mm;瓣上限制区(瓣上9.2mm)长径:22.4mm,短径:21.8mm;AscAO:45.8mm;左冠高度:11.8mm;右冠高度:14.9mm;心脏角度:68°。




瓣上钙化重,虚拟瓣环、左右交界处及无冠窦侧均有体积大、靠近血管壁且有锐性突出的钙化,选择较大的瓣膜虽然能更好的封堵瓣周漏,但会大大增加瓣环破裂的风险;选择稍小号瓣膜封堵瓣周漏层面较少、容错率相对较低,术后会有残余瓣周漏可能。


主动脉弓降部走行成锐角、弓顶部可见少许钙化,横位心68%伴有升主动脉扩张。


难点分析
1.极度锐角弓,升主扩张,横位心,心脏角度为68°,输送器过弓跨瓣难度增加,瓣膜植入同轴性差,释放过程中更易移位,增加了操作的难度;
2.该病例为TYPE1型二叶瓣,重度钙化,钙化体积大且存在锐性突出,瓣膜的选择需要平衡瓣环破裂风险及瓣周漏的风险;
手术策略
术前经团队讨论,可调弯系统、短瓣架的球扩瓣更适合该解剖结构,拟经右侧股动脉入路,为保证顺利跨瓣,术前左侧入路先放置圈套器。选用18mm球囊预扩,MuguetA™21 mm瓣膜90/10-80/20释放,降低术后残余瓣周漏风险,释放后结合造影和超声情况进行综合评估。出于患者钙化重、卒中风险高的特点,决定术中使用SENTINEL抗栓塞脑保护装置为患者保驾护航。
术中关键影像

SENTINEL抗栓塞脑保护装置

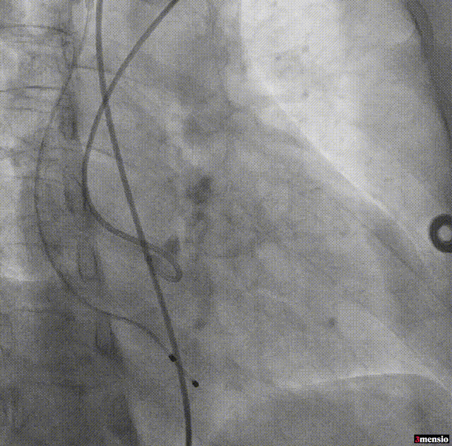
主动脉根部造影

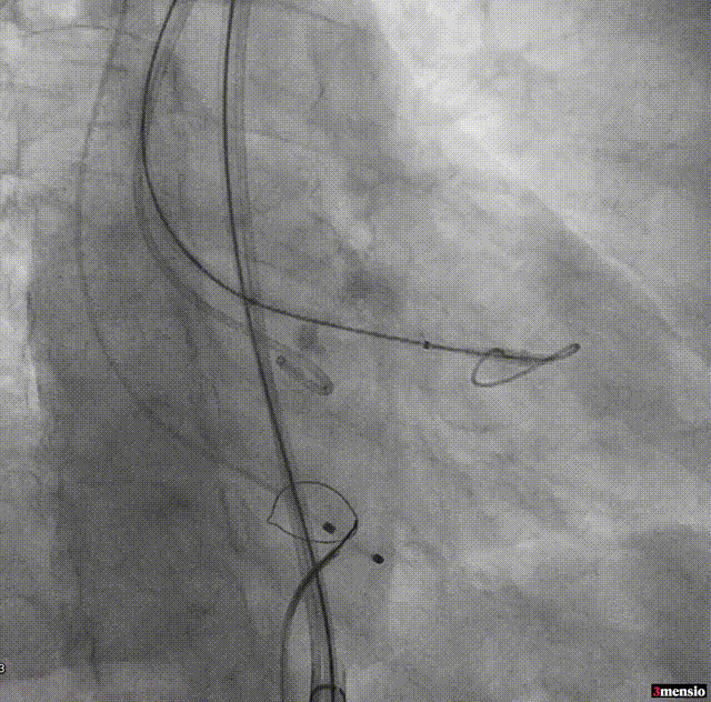
18mm球囊预扩

良好的调弯性能,轻轻拉动圈套器即可轻松过弓

横位心68°升主扩张且右无局部粘连,圈套器辅助跨瓣

95/05定位

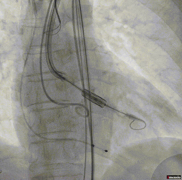
MuguetA™21 mm瓣膜+1cc释放

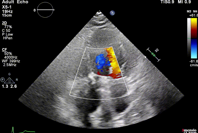
释放后腰迹明显,轻度瓣周漏,原体积后扩

根部造影显示微量瓣周漏


Sentinel捕获的碎片


超声提示微量瓣周漏,瓣膜工作良好,最大跨瓣流速2.02m/s,平均压差6mmHg。
专家/术者点评
输送系统可调弯系统提高了过弓跨瓣的流畅度,术中团队配合默契,操作熟练,成功将瓣膜在最佳位置释放;输送系统进入到撤出仅耗时20分钟。术后即刻心超提示,瓣膜工作稳定,无反流,微量瓣周漏,植入效果理想。
团队简介

王建安教授在国内领先开展经导管主动脉瓣置换术(TAVR)、经导管二尖瓣修复术、经导管三尖瓣修复/置换术,多项技术在全球、国内率先开展。在国际上首次提出“杭州方案”,有效提高手术的安全性和成功率,获得国内外同行的高度认可;担任首家企业瓣膜研究院院长,联合企业工程师和材料学家等,研发系列我国首个经导管人工瓣膜系统;率先在我国开展国际领先的TAVR术后第二天出院计划,进一步实现TAVR早上手术下午出院,充分体现强大、高效的团队协作能力;实地指导欧洲、拉美、亚太地区4个国家7大中心和我国27省120多家医学中心的心脏瓣膜介入手术,更有来自美国、韩国、印度、巴西、阿根廷、哥伦比亚、菲律宾等全世界各地的心脏介入医生来到浙大二院接受培训。