9月22日,南宁市第一人民医院郑晓宇教授、刘永春教授带领团队,在复旦大学附属中山医院魏来教授的指导下,成功应用J-Valve完成了1例经心尖TAVR。这例手术针对一位90岁超高龄、主动脉瓣重度关闭不全的患者展开,同时患者为横位心,心脏角度约76°,大大增加了输送器跨瓣和瓣膜定位难度。为了确保达到最佳的治疗效果并尽可能减少创伤,团队在术前进行了充分的准备。最终手术顺利完成,术后患者恢复良好,已脱离生命危险。
病例简介
患者为90岁高龄男性,以“反复气促5月余”为主诉入院。
术前诊断:1.慢性心功能不全;2.心脏瓣膜病(主动脉瓣重度关闭不全);3.冠状动脉粥样硬化性心脏病;4.心功能III级(NYHA分级) ;5.胫前动脉闭塞(右侧胫前动脉中远段不全闭塞);6.高血压病2级(极高危);7.心功能不全;8.低蛋白血症;9.心律失常(偶发房性早搏,短阵房性心动过速、偶发室性早博);10.社区获得性肺炎,非重症;11.高尿酸血症;12.轻度贫血。
主动脉瓣三窦三叶,左冠瓣稍短小,瓣叶开放可,舒张期右冠瓣略错位,瓣口可见大量偏心性反流沿二尖前瓣反流至左室心尖。主动脉瓣:VP-180(100-170)cm/s,重度反流,反流束宽约8.2mm。主动脉窦部瘤样扩张,窦管交界内径36mm。
CT分析
1. 患者主动脉瓣三叶式,左窦增宽,瓣叶稍厚,瓣叶未见明显钙化。
2. 患者主动脉瓣环周长折算直径约23.6mm。
3. 患者双侧冠脉开口高度可LCA:14.9mm,RCA:27.6mm;右侧冠脉,左侧冠脉及分支轻度钙化。
4. 患者术中建议造影角度LAO:3°,CAU:29°。
5. 横位心。
6. 降主动脉走行稍迂曲;主动脉弓、胸主动脉散在钙化;腹主动脉及双侧髂总动脉多发钙化。





手术方案:经心尖TAVR
手术步骤
猪尾导管置于无冠窦行根部造影:

穿刺置入导丝,建立轨道。定位件进入对应窦部,将瓣膜件降至瓣环平面,造影下确定位置和深度:

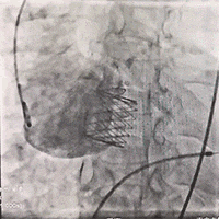
释放J-Valve瓣膜:

复查根部造影,未见明显反流,瓣膜形态和位置满意,双侧冠脉显影良好:

密切止血,缝合以及闭合入路,手术顺利结束。
术后总结
该病例是一位超高龄、主动脉瓣重度关闭不全伴横位心的患者。除此之外,患者主动脉窦部增宽,还合并有多种全身性慢性疾病,这使得传统开胸外科手术瓣膜置换术风险大、难度极高。团队经综合考虑选择了经心尖介入途径瓣膜置换手术,这种术式具有创伤小、恢复快、安全性高的优点。
郑晓宇教授、刘永春教授团队凭借临床经验和精湛技术,使得这例高难度手术得以成功,而J-Valve也在其中提供了有力支持。心脏瓣膜疾病及先天性心脏病的外科治疗一直是南宁市第一人民医院心胸血管外科传统优势项目。冠脉搭桥术、先天性心脏病的微创手术,血管疾病介入治疗,瓣膜成形术已列为常规性工作开展,并开展了胸腹主动脉替换术等高难度手术。我们相信,在刘永春教授、郑晓宇教授团队的努力下,南宁市第一人民医院将继续在心脏病治疗领域取得更多的卓越成就。