近日,温州医科大学附属第二医院心血管内科吴连拼教授、心胸外科赵琦峰教授带领心脏瓣膜团队,成功应用经导管主动脉瓣系统(TaurusElite)为主动脉瓣重度狭窄合并左右冠脉严重狭窄患者实施经导管主动脉瓣置换术(TAVR)及冠脉搭桥一站式手术。
该患者由升主动脉途径入路,这是温州医科大学附属第二医院首次尝试升主动脉入路,这也是浙南地区首例经升主动脉入路TAVR。

患者基础情况
患者1年前活动后出现胸闷不适,位置位于心前区,范围约手掌样大小,呈闷压感,停下休息数分钟后胸闷可缓解,无胸痛,无放射痛,无咳嗽咳痰,无黑曚晕厥,无意识丧失,无头痛头晕,无恶心呕吐等不适。上述症状反复发作,加重半月余,曾在外院就诊。
术前检查
实验室检查:C反应蛋白(快速) 9.08mg/L,白细胞计数(WBC) 7.20×10^9/L,血红蛋白(Hb) 128g/L,血小板计数(PLT) 185×10^9/L,急诊谷丙转氨酶 22IU/L,急诊总蛋白 75.1g/L,急诊白蛋白 40.6g/L,急诊总胆红素 10.7μmol/L,急诊尿素氮 8.16mmol/L,急诊钾 3.67mmol/L,急诊钠 140.8mmol/L,急诊氯 101.2mmol/L,肌钙蛋白-I 0.101ng/ml,脑钠肽(NT-PROBNP) 4300pg/ml,
2023-09-16:肌钙蛋白-I 0.107ng/ml,脑钠肽(NT-PROBNP) 1460pg/ml
冠脉造影检查:
2023-09-07
1、左冠脉(1)左主干未见狭窄;(2)前降支斑块浸润,局部严重钙化,近段狭窄60-70%,中段狭窄80-90%,血流TIMI3级,可见侧枝供应右冠中远段。(3)回旋支斑块浸润,局部严重钙化,近段慢性完全闭塞,血流TIMI0级。2、右冠脉斑块浸润,局部严重钙化,近段慢性完全闭塞,血流TIMI0级。
诊断结果:
冠状动脉粥样硬化性心脏病
前降支近、中段严重钙化狭窄病变
右冠、回旋支近段慢性完全闭塞病变

右冠影像

前降支影像

回旋支影像
心超检查
主动脉瓣退变伴重度狭窄(低压差),轻微反流,左心增大,室间隔基底段增厚,二尖瓣后叶退变伴中度反流(继发),左室收缩舒张功能减低。
右室流出道24mm(≤28),主动脉窦部30mm(<37),左房42x44x62mm (<40),左室流出道19mm。
室间隔基底段13mm 中段10mm(≤11),左室舒张末内径58mm( F<50,M<55) ,左室收缩末内径47mm(<40)。
左室后壁10mm (≤11),右室22mm(≤25),主肺动脉24mm(<27)。
左室收缩功能:EF:36% (F>50%,M>55%),SV:54ml Svi:33ml/cm²。
1.内脏正位,心房正位,心室右袢。左心增大,右房室内径正常。
2.室间隔基底段增厚,左室后壁厚度正常,增厚率弥漫性减低,前间隔尤为明显。
3.主动脉瓣为三叶式,瓣环及瓣膜回声增强,瓣环径23mm,瓣膜根部增厚,收缩期开放受限,瓣口血流呈湍流,瓣上最大流速3.4m/s,平均压差为24mmHg,连续方程法测主动脉瓣口有效开放面积0.56cm²,二维法瓣口面积约0.56cm²,关闭有裂隙,CDFI示舒张期轻微反流。二尖瓣后叶瓣环及瓣膜回声增强,瓣环径28mm,二尖瓣口可见中度反流,缩流颈4mm,反流面积约6.2平方厘米,二尖瓣环舒张期组织多普勒可见e/a倒置。余瓣膜形态活动尚正常,瓣口多普勒超声未见异常血流。
术前CT影像评估

根部概览

Annulus:Φ24.3mm
19.5mm*28.5mm

LVOT:Φ27.2mm
18.8mm*30.4mm

SOV-LCC:31.7mm
SOV-RCC:28.9mm
SOV-NCC:31.8mm

STJ:Φ27.0mm
26.0mm*27.9mm

AOO MAX:Φ30.9mm
29.5mm*31.6mm
钙化分布情况:



冠脉风险评估:




左右冠脉大量钙化分布,拟同期行冠脉搭桥。
左心室评估:

心室内径明显扩大,心室壁厚度可。
弓部及入路评估:


双侧股动脉严重钙化病变,内径小,挑战高(术中探查股动脉钙化严重,无穿刺进鞘部位)。

颈动脉入路偏细,术中易引发脑缺血等并发症。

右侧锁骨下动脉可作为备选入路。


经升主动脉入路需评估升主动脉长度及钙化病变情况。
手术策略讨论
温州医科大学附属第二医院心内科吴连拼教授带领心外科、超声科、血管外科、手术护理、麻醉等多个团队进行多次术前讨论分析,并制定手术策略:
1.患者需同时处理主动脉瓣重度狭窄和冠脉狭窄闭塞问题。心功能差,EF值为36%,予以不停跳情况下手术治疗。
2.患者适应症明确,但外周入路条件欠佳,双侧股髂动脉均有严重环行钙化,最小内径约3.7mm。所示右侧颈内外动脉及右侧椎动脉狭窄,左侧颈内动闭塞。无法行常规股动脉及颈总动脉途径。
3.具备升主动脉入路条件:
a.升主动脉位于胸骨右侧;
b.使用自膨胀瓣膜,瓣环水平到升主动脉穿刺点大于70mm;
c.升主动脉穿刺点无明显钙化。
4.需提前建立搭桥通道,然后行TAVR。
TAVR 手术策略:
①由于选择升主动脉入路,常规经股动脉手术器械较长,增加操作风险,选择25cm、20F血管鞘建立入路通道。
②选用20mm球囊预扩,TaurusElite AV26瓣膜,初始释放高度为瓣环0mm, 目标定位瓣下2mm。
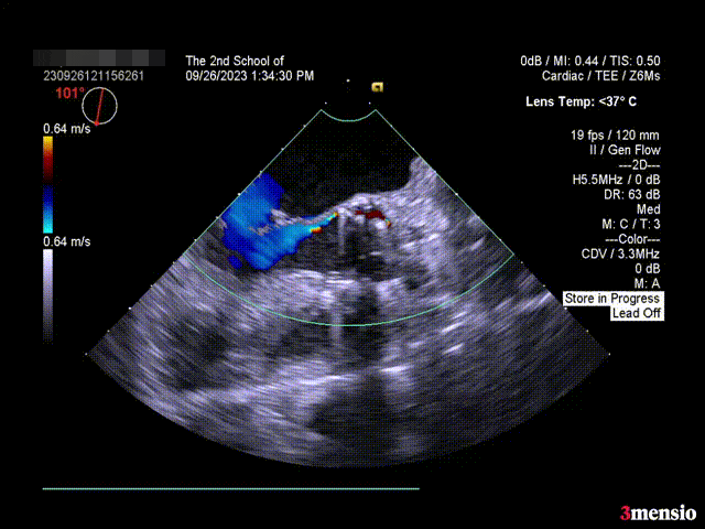
③ 术中及时结合经食道超声进一步评估瓣膜植入深度、跨瓣压差、瓣周漏等相关参数。
④如瓣周漏比较明显,则考虑球囊后扩或者瓣中瓣改善瓣周漏。
手术过程
手术流程概览:


通道建立

25cm、20F 大鞘置入

主动脉根部造影

直头导丝跨瓣

交换预塑形小弯导丝

20mm球囊预扩张,无腰无漏

AV26 瓣膜初始定位

工作位造影评估

瓣膜脱钩

中度反流,需球囊后扩

22mm 球囊后扩

最终造影,微量反流,无瓣周漏
瓣膜释放后超声情况:

短轴超声

长轴超声

术后压差 5mmHg
术后患者情况
在心血管内科吴连拼教授带领心脏瓣膜团队成功完成经升主动脉途径TAVR后,再由赵琦峰教授带领心胸外科团队先后对患者的右冠、前降支、回旋支行冠脉搭桥术。术后复查显示主动脉到前降支静脉桥以及主动脉至对角支、第一钝缘支、左室后支序贯桥通畅;心电图示窦性心律,未见心肌缺血表现。


术者团队寄语
这是一台复杂并且高难度的手术,经升主动脉途径和经股动脉途径入路的操作方式存在很大的差别,TAVR常规的入路方式是经股动脉入路,而现有的手术器械设计均较长,以满足股动脉入路需求。但是经升主动脉入路,入路穿刺点距离瓣环位置非常短,这对于器械操作带来了极大的困难,手术操作的器械大部分都要置于体外,而鞘管只有1-2cm置于升主动脉内,以满足足够的距离释放自膨胀瓣膜。
经升主动脉入路TAVR治疗方式颇具挑战性,尤其是合并复杂冠脉问题需要同期进行治疗,这也是温州医科大学附属第二医院心脏瓣膜团队一次成功的尝试,也将是团队在心脏微创治疗领域又向前迈进一步,希望能为更多瓣膜病患者带来更适合的治疗方案。