近日,浙江大学医学院附属第一医院心内科郭晓纲主任、周逸蒋副主任、王凯和夏炜聪主治医师团队采用经导管三尖瓣修复系统(Trialign)成功完成1例高难度大瓣环巨量功能性三尖瓣反流修复手术。据悉,浙大一院心内科自2022年12月完成Trialign经导管三尖瓣介入修复全国首例确证性临床研究后,团队配合默契,已多次应用该技术治疗重度三尖瓣反流患者,目前为国内开展例数最多的中心。本例亦为国内首次开展的利用两组Trialign锚片完成的三尖瓣介入瓣环成形术。该病例由超声科余蕾主任经食道超声引导,在麻醉科、体外循环、介入护理、监护室团队等多学科的共同协助配合下,手术顺利完成。患者术后效果显著,反流即刻改善,目前恢复良好,已于近期出院。

病例简介
患者75岁,男性,夜间胸闷1月入院,曾查心脏超声显示“三尖瓣重度反流,右心、左房增大,肺动脉高压”,进行药物治疗后效果欠佳。既往高血压病史8余年,心房颤动病史2年。
术前评估
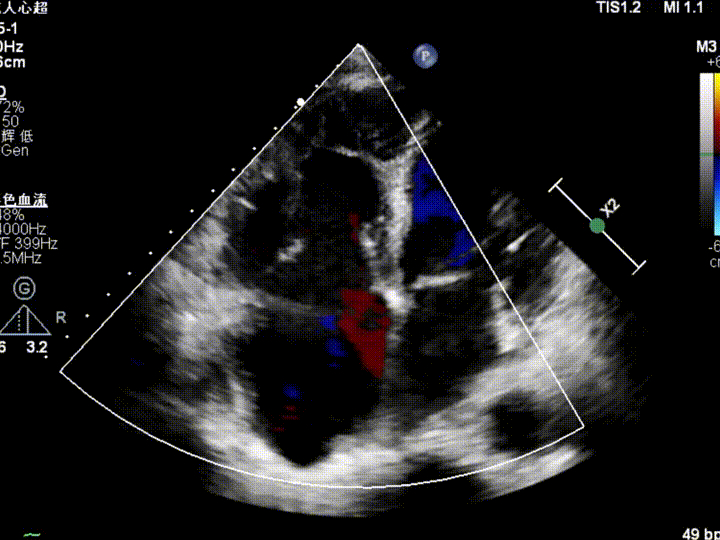
术前TTE评估:三尖瓣功能性反流,反流程度6+(巨量反流),EROA为1.24cm²,缩流颈宽度VC(平均值)为1.40cm,TAPSE为22cm,LVEF(%)为65%,三尖瓣反流量128ml,反流束来源于中部。右心、左房增大,肺动脉高压,主动脉瓣反流1+,二尖瓣反流1+。

图1 术前心超影像

图2 术前三尖瓣环及冠脉CT影像
术前CT评估:患者三尖瓣环面积20.2cm²,瓣环面积巨大。三尖瓣环根部距离右冠状动脉距离风险较高,最近处约6mm左右。
手术难点
患者瓣环面积巨大,达20.2cm²,且三尖瓣巨量反流(6+),三尖瓣瓣环根部距离冠脉风险高,需要较高的器械操作水平。
手术规划
预期在三尖瓣后瓣上植入两组Trialign锚片对三尖瓣进行环缩,如下图所示,即第一组第一个点在靠近后隔交接的后瓣环上,第一组第二个点在后瓣上距离第一个点2.5cm位置。完成第一组植入后,第二组两个点分别为与第一组两个点5mm位置。

术前规划
手术过程
全麻下经右颈静脉入路,在食道超声及X射线引导下,将三尖瓣导丝输送导管经三尖瓣指引导管送至右心室,定位三尖瓣瓣环穿刺位点。穿越导丝连接高频发生器穿刺三尖瓣环,并引导锚片输送导管完成第一组两个锚片植入,并通过折叠锁定导管将两个植入锚片拉近折叠三尖瓣瓣环,最后释放锁体固定瓣环折叠效果完成第一组锚片植入。即刻TEE显示三尖瓣仍有大量反流。随即进行第二组锚片植入。参考第一组锚片位置,采用上述同样器械操方式,分别在第一组锚片位置两侧5mm位置完成第二组锚片植入。
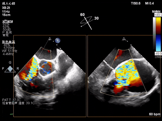
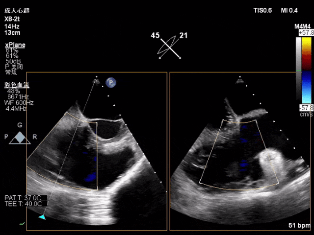
术后即刻评估,术中完成第二组锚片植入后,患者三尖瓣反流程度降至2+左右,三尖瓣反流量由128ml下降至16ml,有效反流口面积(EROA)由1.24cm²下降至0.26cm²,瓣环面积减少53%,三尖瓣反流改善明显,冠脉血流未见显著影响。

术后冠脉造影

术中器械植入后3D

术中器械植入前

术中器械植入后
三尖瓣治疗现状
目前针对三尖瓣反流疾病,没有很好的治疗手段,药物治疗主要是给予高剂量的利尿剂,长期使用不仅利尿效果不佳,也会显著降低患者的生活质量。对于一些由于严重的三尖瓣环扩张、瓣叶脱垂或因之前的三尖瓣成形术失败而无法行三尖瓣成形的患者,可行外科三尖瓣膜置换术。但由于开胸加体外循环,创伤大,死亡率高,大部分心外科医生拒绝为患者单独施行三尖瓣修复手术,只有病人因其他心脏疾病需要开胸手术时,才同时手术处理三尖瓣。
经导管介入手术治疗三尖瓣反流通过颈静脉入路,经上腔静脉到达右心房和右心室,在心脏正常跳动下经导管完成瓣环锚片植入、折叠和锁定,使瓣环环缩及二瓣化。该方法不影响左心系统,操作精准可控,创伤小,术后当天可以下地,心衰患者耐受性好,在解剖适合的患者可以有效的治疗三尖瓣反流,且极大降低围术期风险。因此,介入治疗三尖瓣疾病是极具临床前景的技术,该技术的发展将造福广大三尖瓣疾病患者,且是外科手术禁忌患者的最佳选择。
公司介绍
北京卡迪泰医疗器械科技有限公司于2018年在北京经济技术开发区注册成立,公司秉承科学创新精神,致力于探索和开发疾病治疗的精准解决方案,专注于解决心血管及肺部疾病诊疗等领域的“卡脖子”难题。公司经导管三尖瓣修复系统(Trialign)于2022年4月通过国家《创新医疗器械特别审查程序》,进入国家药监局创新产品“绿色通道”。同年产品获批进入确证性临床试验。该产品采用经导管介入方式治疗或减少患者三尖瓣反流程度,将为国内药物治疗无效、外科手术高危的功能性三尖瓣反流患者带了新的选择和希望。