2023年12月10日,浙二王建安院士团队于浙大二院心脑血管病院区(博奥院区)应用DragonFly-T成功救治一例TpyeIIIB型三尖瓣反流患者。DragonFly欧洲CE临床试验PI Francesco Maisano教授现场参与观摩,并于术后与团队进行深入经验交流与分享。


王建安院士与Francesco Maisano教授友好交流

王建安院士团队刘先宝教授与Francesco Maisano教授在术中沟通

王建安院士团队与Francesco Maisano教授合影
病史介绍
女性,76岁,患者胸闷气促半年余,同时伴双下肢水肿半月余。经药物治疗后症状改善效果欠佳,遂前往浙二医院检查。心超提示三尖瓣中重度反流。
术前TTE+TEE评估
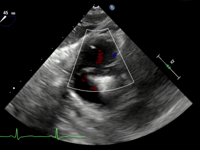
左房增大,右心相对偏大,三尖瓣功能性反流,TypeIIIB(后叶为两瓣),反流程度4+(Massive),反流颈宽约0.52cm,有效反流口面积约0.33cm²,TAPSE为2.11cm,LVEF(%)为61.9%。




手术难点
难点1:瓣叶形态为TypeIIIB型,后叶有2个瓣叶。
难点2:术中抓捕瓣叶的切面影像质量欠佳。
手术策略
预计在前叶和隔叶靠近中央位置先使用一个长的三尖瓣夹,对三尖瓣整体形成一个瓣环缩小的效果,拉近后叶与隔叶的距离,后续在后叶和隔叶中央区域植入一个长的三尖瓣夹,再根据术中残余反流情况决定是否需要植入第三枚三尖瓣夹。
手术过程
手术在全麻状态下进行,在食道超声和DSA引导下,经股静脉穿刺,送入导丝建立右心房路径,沿导丝将导引鞘管送入右心房,再通过导引鞘管将三尖瓣夹送至右心房,回撤导引鞘至骑跨,精准调整三尖瓣夹的方向与轨迹至目标区域。

第一个夹子的方向和位置

第一个夹子释放后

第一个夹子释放后(上彩)
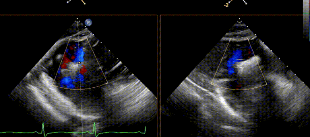
第一枚三尖瓣夹释放后,残余反流存在于后叶和隔叶间,反流量降至2+。评估后叶与隔叶距离减少,按术前策略继续植入一枚长三尖瓣夹于后叶与隔叶之间。

第二个夹子的方向和位置
第二枚三尖瓣夹释放后,残余反流由术前4+降至微量,患者平均跨瓣压差仅为1mmHg。经评估,患者反流改善效果明显,三尖瓣夹稳定。手术过程、结果令人满意。

术后X-plane(上彩)

术后胃底(上彩)

术后DSA

术后压差1mmHg
Francesco Maisano教授评价
团队的熟练操作与紧密配合,新技术新器械的成功应用与实践,在确保疗效的同时,显著提升患者的舒适度。器械设计易操作、系统稳定、性能佳。专业团队与先进设备,期待更多合作交流。
T-TEER是国际上经导管三尖瓣介入治疗探索中目前最为主要的研究方向,越来越多的临床研究证实了其在治疗外科手术高危或禁忌患者中的安全性及有效性。2020年,王建安院士团队就已成功应用DragonFly-T完成中国大陆首例T-TEER手术,这是中国第一款自主研发的经股静脉缘对缘修复治疗三尖瓣反流器械成功应用于临床。2年随访数据指出患者心功能、6 min步行试验明显提高,三尖瓣反流程度及右心房右心室结构、功能明显改善。目前,Dragonfly-T已经成功完成近50例探索性临床研究,良好的手术效果与优异临床数据充分验证DragonFly-T用于治疗三尖瓣反流的可行性。
国内经导管三尖瓣介入治疗技术虽处于起步阶段,但国内医者对缘对缘修复技术的应用水平正逐步走向成熟。“共同见证在新时代里中国特色的治疗经验和中国原创器械的进步与实力”王建安院士表示:“2023年11月,由德晋医疗本土创研的DragonFly经导管二尖瓣夹系统暨中国首款经股静脉二尖瓣缘对缘修复产品正式获NMPA批准上市。同为Dragon系列的经导管三尖瓣器械DragonFly-T值得期待,愿更多中国原创器械被世界看见。”
团队简介

王建安院士在国内领先开展经导管主动脉瓣置换术(TAVR)、经导管二尖瓣修复术、经导管三尖瓣修复/置换术,多项技术在全球、国内率先开展。在国际上首次提出“杭州方案”,有效提高手术的安全性和成功率,获得国内外同行的高度认可;担任首家企业瓣膜研究院院长,联合企业工程师和材料学家等,研发系列我国首个经导管人工瓣膜系统;率先在我国开展国际领先的TAVR术后第二天出院计划,进一步实现TAVR早上手术下午出院,充分体现强大、高效的团队协作能力;实地指导欧洲、拉美、亚太地区4个国家7大中心和我国27省120多家医学中心的心脏瓣膜介入手术,更有来自美国、韩国、印度、巴西、阿根廷、哥伦比亚、菲律宾等全世界各地的心脏介入医生来到浙大二院接受培训。