2023年11月20日,中南大学湘雅二医院心内科周胜华教授心脏瓣膜团队方臻飞教授、胡信群教授、唐建军教授应用SAPIEN 3瓣膜,为一名重度主动脉瓣狭窄、双侧股动脉内径狭窄的外科手术高危患者成功实施了一例腋动脉入路TAVR手术,患者术后恢复良好。
该例手术是全国范围内首次使用SAPIEN 3瓣膜经腋下动脉入路完成的TAVR手术,这无疑标志着中南大学湘雅二医院在心脏瓣膜疾病的治疗上有了新的突破,也为区域内TAVR手术在股动脉入路不合适时选择替代入路提供了案例典范。

病例简介
患者为78岁,男性。
诊断:重度主动脉瓣狭窄。
心脏超声提示:1.主动脉瓣钙化狭窄(重度)并关闭不全(轻度)。主动脉瓣二叶瓣畸形;2.左房增大;3.室壁运动欠协调;4.升主动脉增宽;5.二尖瓣,三尖瓣、肺动脉瓣(轻度)返流;6.左室舒张功能减退。
EF 68%, FS 34%。
升主动脉内径增宽,约36mm,前后壁回声增粗增强,主动脉活动弹性减低。主动脉瓣增厚,回声增强,瓣叶可见多个强光团,可见二叶主动脉瓣呈左右排列,收缩期开放受限,呈“鱼口状”,收缩期可见花色射流,流速4.0m/s,最大压差65mmHg,平均压差32mmhg,舒张期关闭有裂,呈“一”字形,舒张期可见轻度返流,流速4.2m/s。连续方程计算瓣口面积0.85cm²。
二尖瓣不增厚,回声可,开放可,收缩期可见轻度返流,流速2.7m/s。
三尖瓣不厚,开放尚可,收缩期可见轻度返流,流速2.0m/s。
肺动脉不宽,瓣叶开放关闭尚可。舒张期可见轻度返流,流速1.8m/s。
患者存在气促和心力衰竭的问题,通过超声检查发现重度主动脉瓣狭窄,外科手术风险较高,达到了TAVR手术指征。在进行手术前,团队对患者进行了全面的评估和准备,以确保手术的安全和效果。
术前CT评估示
主动脉瓣类型: Type1型二叶瓣畸形;
钙化等级 : 中度;
瓣环面积: 383.2 mm²;
左室流出道面积: 405.2 mm²。

Sinus of Valsalva: 29.8 x 31.9 x 28.8 mm;(R;L;N);

左冠开口高度:13.9mm,右冠开口高度:15.1mm;

透视角度:RAO 2°,CAU 22°;

模拟23mm瓣膜植入;




钙化:轻度;


左侧-最小直径: 3.4mm;
钙化:轻度;


另辟蹊径,柳暗花明
判断血管的解剖条件是否允许,主要关注三个方面。首先,需要考虑动脉的最小管腔直径,这是输送系统通过的通道。如果血管内径不足以容纳输送系统,那么出现血管并发症的风险就会增加。其次,还需要关注管腔钙化情况以及血管迂曲度等其他因素,这些因素都是判断血管解剖条件是否允许的关键因素。
入路解剖合适是TAVR手术的重要先决条件,股动脉入路是常规选择,具有创伤小、恢复快的优点。然而,患者双侧股动脉内径较为狭窄,左侧最小直径为3.4mm,右侧最小直径为3.2mm,同时伴有钙化,不适合作为主入路。虽然,经颈动脉途径也是常用的备选入径,但团队顾虑该路径可能会增加脑卒中的发生率。
此外与经股动脉途径相似,经锁骨下动脉、腋动脉无需外科开胸,在近2-3年被越来越多地应用。由于患者左侧腋动脉-锁骨下动脉内径尚可,走行良好,无钙化分布,可以作为主入路。经手术团队综合评估,拟选择经左侧腋动脉入路行主动脉瓣膜置换术。
拟定手术策略:
· 拟行全麻下经腋动脉途径行TAVR术。
· 拟20mm球囊预扩,拟行SAPIEN 3 23mm -1cc释放。
挑战重重,成功完成复杂手术
经腋动脉入路并不是一个常规选择,经锁骨下进入升主动脉,需要评估其入路、占位和穿刺等情况,止血难度相对股静脉更大。此外,由于这次手术使用了SAPIEN 3瓣膜,球扩瓣在操作过程中要完成瓣膜前端进入左室、回退等步骤,团队还需要考虑到患者升主动脉的长度。同时,腋动脉穿刺后的可能出现狭窄、封堵后出血等问题,从操作要尽可能轻柔、精准,避免血管损伤,发生并发症。
其中爱德华SAPIEN 3瓣膜发挥了重要作用。由于患者下肢血管入路较短,考虑到SAPIEN 3瓣膜可以用到14F鞘,满足了血管入路的最小要求。此外,从球扩瓣的角度来看,患者后期冠脉处理和后续治疗都有很好的途径,效果显著。
术前,团队进行了深入的讨论和评估,并与放射科和血管外科进行了紧密合作。凭借丰富的TAVR植入经验,团队按照预定的操作方案进行手术,最终顺利完成了任务。得益于团队的协作和专业,整个手术过程比预期的更加顺利和快速。
手术步骤
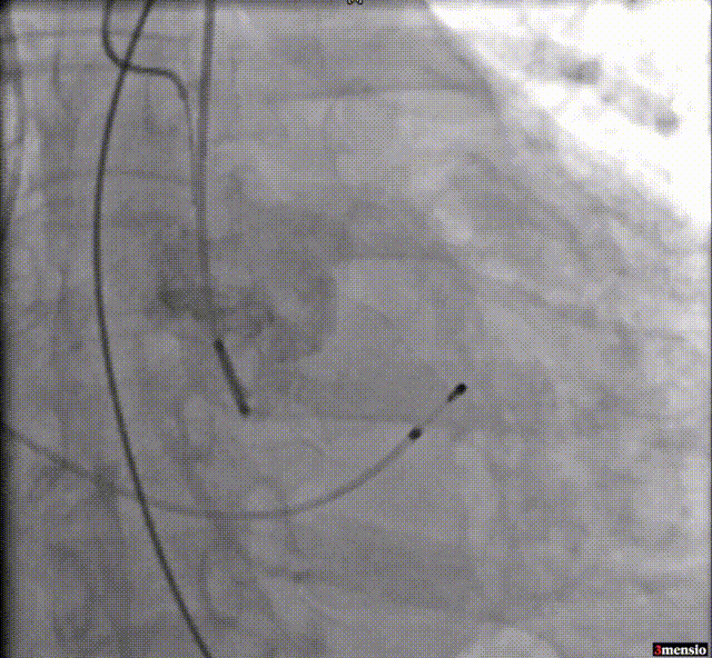
2.经皮左侧腋动脉穿刺,建立腋动脉入路;

腋动脉穿刺建立入路
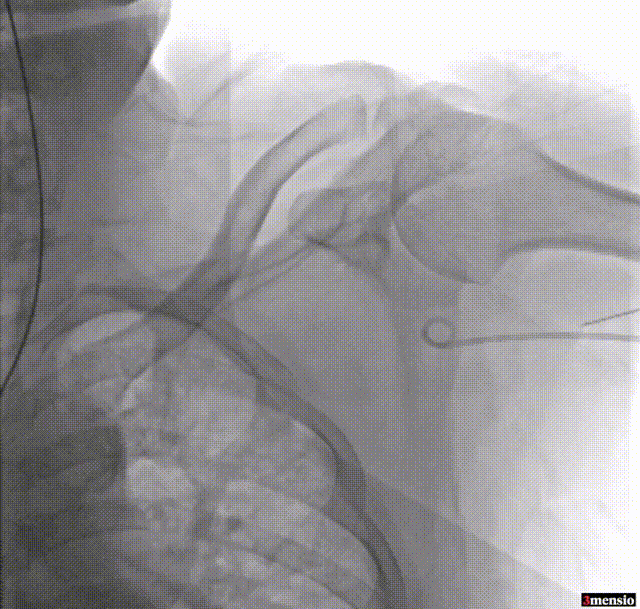
3.猪尾导管置于主动脉根部造影;

主动脉根部造影
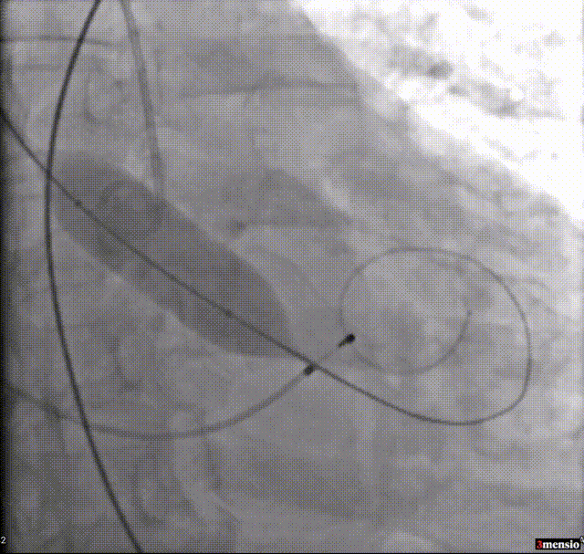
4.快速起搏下20mm球囊预扩;

球囊预扩
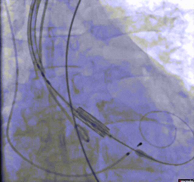
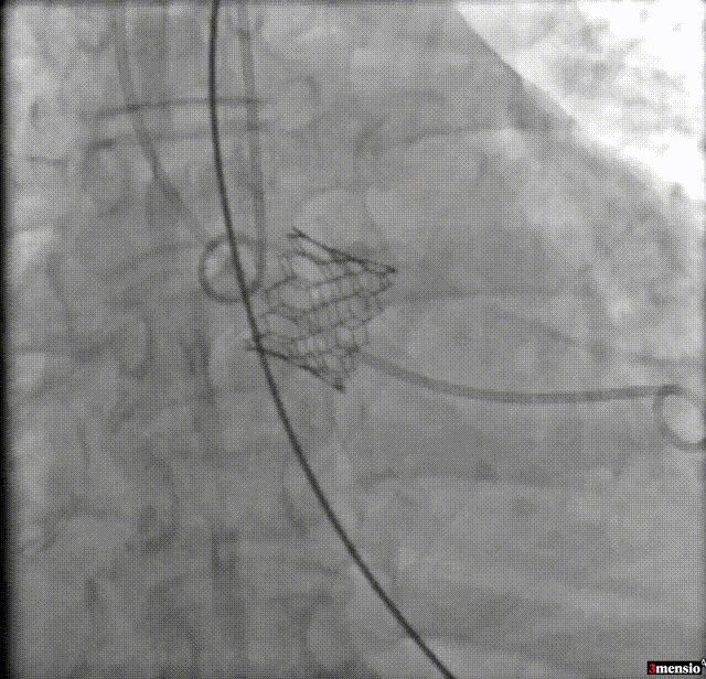
6.调整至共平面角度,瓣膜定位,快速起搏下精准释放瓣膜;

瓣膜定位

瓣膜释放
7.瓣膜释放后造影评估:未见明显反流,无瓣周漏,瓣膜形态和位置满意,双侧冠脉显影良好。瓣膜释放后流入/流出比例 = 100 : 0。瓣膜释放位置:90/10;

瓣膜释放后造影
术后9天复查心脏超声
主动脉瓣可见人工瓣架强回声影,位置固定,瓣叶功能可,主动脉收缩期花色射流,流速2.9m/s,最大压差33mmHg,平均压差16mmHg,人工主动脉舒张期瓣周及瓣内未见明显返流血彩。连续方程计算瓣口面积1.73cm²。EF 67%。
术后总结
TAVR手术入路的选择非常重要,选择合适的血管入路可以提高手术成功率、减少并发症的发生,同时影响着患者术后康复和预后。经股动脉入路是TAVR的标准入路,但部分患者由于解剖原因无法通过股动脉入路植入瓣膜,因此需要考虑替代通路。在谈论本次手术的最大收获时,方臻飞教授表示,通过这次手术,团队意识到对于不适合股动脉入路的TAVR患者,经腋动脉入路是一种安全且有效的治疗选择。
该例高危、复杂TAVR手术的顺利完成,不仅是中南大学湘雅二医院结构性心脏病变治疗水平的新突破,同时也将为更多高龄危重患者的治疗带来新的希望和思路。
从领先到创新,
为患者带来更好的治疗效果
中南大学湘雅二医院作为中南地区较早开展TAVR手术的心脏瓣膜团队,已经取得了显著的成果。在周胜华教授的带领下,心脏内外科、放射科等多个科室的紧密合作,使得该医院的瓣膜团队技术水平在省内处于领先地位,每年完成的TAVR手术量达到一百多台,整体取得了非常好的效果。
着眼于结构性心脏病诊疗的整体发展,方臻飞教授介绍道,团队将重点围绕以下几个方面进行规划:首先,针对当前热点的心脏瓣膜病,包括主动脉瓣、二尖瓣、三尖瓣和肺动脉瓣等疾病的治疗,团队将继续深入研究,提高手术成功率,为患者带来更好的治疗效果。
其次,团队将密切关注新型器械的研发,以期通过技术创新,提高手术的安全性和有效性。
最后,针对心衰,包括心房分流和传统先天性心脏病等复杂结构性心脏病,团队将积极探索新的治疗方法,为患者提供更加全面和个性化的诊疗服务。
着眼未来,湘雅二院心脏瓣膜团队将不断学习、进步,致力于为患者提供更加优质、高效和安全的治疗方案。
注:本文仅代表专家的个人观点,旨在促进学术信息的沟通和交流,仅供医疗卫生专业人士参考。本文所涉医疗器械的完整描述信息,包括适应症、禁忌症、警告、注意事项,详见说明书。
注释:
1. 产品名称:经导管主动脉瓣膜系统。
2. 注册证编号:国械注进20203130291。