
近日,中国医学科学院阜外医院成功应用HaloStitch®经导管卵圆孔未闭缝合器系统完成一例充满挑战的确证临床入组。该患者为巨大型、长隧道PFO,手术极具挑战性,术前通过专家团队的缜密部署,精确制定手术方案,并借助HaloStitch®经导管卵圆孔未闭缝合器系统,为患者提供了最佳的治疗方案,术后患者症状得到了明显改善。

11月12日,中国医学科学院阜外医院在纯超声引导下再次成功应用HaloStitch®经导管卵圆孔未闭缝合器系统完成PFO缝合手术,随着新技术的推广和手术操作的愈发熟练以及病人适用群体的扩大,都加速着确证临床入组进度,相信在不久的未来HaloStitch®经导管卵圆孔未闭缝合器系统将会为更多PFO引发的相关性卒中或短暂性脑缺血发作(TIA)患者带来福音!
患者基本情况
男性;47岁,患者主诉头痛头晕10余年加重1年。
现病史:外院头颅核磁提示多发脑梗死;颈动脉超声未见异常;头颈动脉CT未见异常,外院TCD提示固有大量RLS;外院TEE提示PFO宽3.8mm,长16mm,无膨出瘤;
术前检查:
右心声学造影:静息状态:9秒后可见微泡信号出现:10-25个;Valsalva动作后:9秒可见微泡信号出现:>25个,形成雨帘;
CT诊断:脑实质内见多发点状长T1长T2信号, FLAIR像呈高信号。多发脑梗塞。
病情诊断:
卵圆孔未闭 脑梗死;短暂性脑缺血;偏头痛
手术难点
该患者为巨大型PFO,原发隔的飘动幅度较大,缝合器捕捉原发隔难度加大,并且若按常见型PFO只缝合两针闭合效果无法达到最佳;长隧道PFO的结构使得缝合器的操作空间被压缩
手术策略
术前经专家团队充分的评估,手术团队拟为该患者行经导管卵圆孔未闭缝合术,由于该患者PFO隧道直径较大,经专家团队评估决定对继发隔进行缝合一针,针对原发隔进行缝合两针,这一步骤是为了更全面地覆盖卵圆孔,确保缝合的严密性和手术的可靠性,共植入三组缝线对卵圆孔进行收紧闭合。

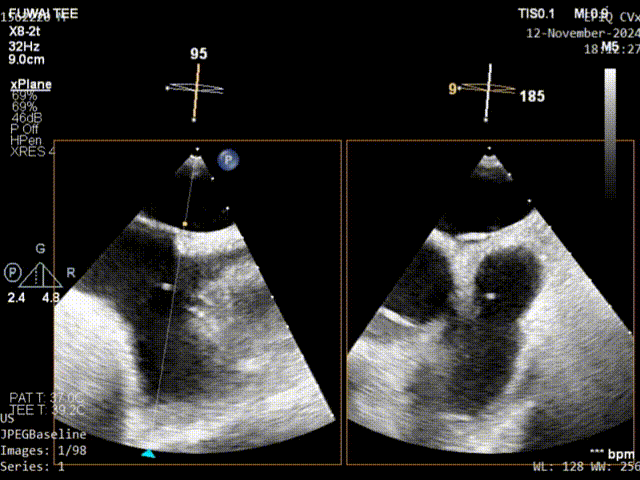
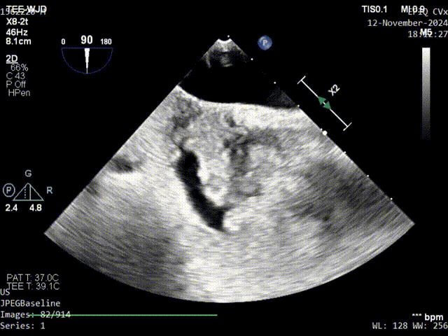
术前TEE影像

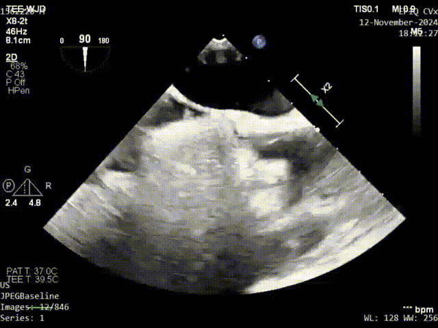
术前发泡影像
妙手施三针,即刻零分流
经常规消毒、局部麻醉后行右侧股静脉穿刺,在超声引导下置入导丝、沿导丝置入导引鞘至右房,沿导引鞘及导丝输送HaloStitch®经导管卵圆孔未闭缝合器系统到达预期位置。
随后依次调整缝合器位置,使其靠近PFO处,在超声引导下分别捕获继发隔和原发隔,确认最佳位置后,启动缝合机制,HaloStitch®经导管卵圆孔未闭缝合器系统通过独特的缝合装置依次缝合继发隔和原发隔。

继发隔缝合

原发隔第一针缝合

原发隔第二针缝合
术中通过调整缝线松紧度观察有无右向左分流,确认无分流以后一键完成打结、切线、脱离操作,通过超声确认锁结的位置无移位、形态稳定,无残余分流。

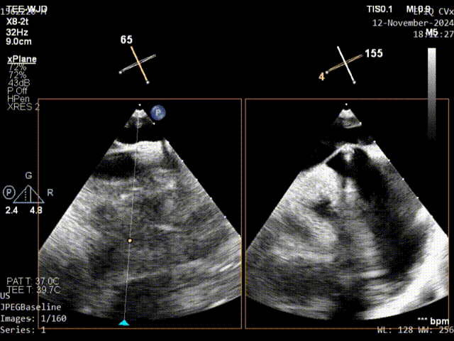
锁前确认

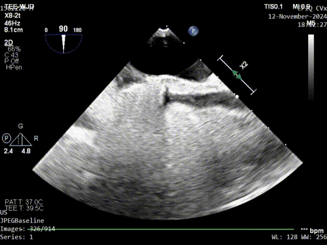
术后即刻
全新术式
全国范围开启正式入组新篇章
HaloStitch®经导管卵圆孔未闭缝合器系统是国产企业自主研发一项创新的医疗技术,是国内首个可以通过经股静脉入路通过缝合方式来关闭PFO的系统。
相较于传统的手术方法,HaloStitch®经导管卵圆孔未闭缝合器系统的手术创伤更小,恢复时间更短,大大减轻了患者的痛苦和不适;在远期安全方面与现有金属封堵器相比,HaloStitch®经导管卵圆孔未闭缝合器系统高分子植入物微小质轻,无镍离子析出过敏、心内组织磨蚀、术后房颤等并发症、无需长期服用抗凝、同时不会阻挡房间隔,保留远期行房间隔入路手术的可能,在治疗效果方面与现有金属封堵器相比,HaloStitch®经导管卵圆孔未闭缝合器系统由于独特的多针缝合和可调锁结机制,对于难以封堵的长隧道、大直径型的PFO仍然具有良好的闭合效果,未来适用性更广。
随着HaloStitch®经导管卵圆孔未闭缝合器系统成功实现了治疗卵圆孔未闭(PFO)临床试验陆续入组,全国有越来越多的中心都同步开启了临床入组的“心”阶段。期待在不久的将来,HaloStitch®经导管卵圆孔未闭缝合器系统将随着更多中心、更多临床术者的广泛应用,开拓和领跑PFO闭合全新术式,也会有越多越多的新术式、新器械随之涌现,共同护航更多PFO患者的生命健康。

关于中国医学科学院阜外医院超声引导介入技术
· END ·
