匠心独运 得心应手|山东大学齐鲁医院陈玉国、李传保教授团队应用ROTAPRO™旋磨介入治疗系统成功治疗冠脉重度狭窄合并钙化患者
2024-12-23 19:20

近日,山东大学齐鲁医院陈玉国、李传保教授团队率领急诊介入团队,成功应用ROTAPRO™旋磨介入治疗系统为一名LAD狭窄伴严重钙化的急性心肌梗死患者实施经皮冠状动脉介入治疗(PCI)。面对如此复杂的病情,陈玉国、李传保教授团队进行了术前讨论。患者前降支有重度狭窄伴重度钙化,常规器械可能无法打开钙化环,介入手术难度高、风险大。术者团队决定采用ROTAPRO™旋磨介入治疗系统为患者处理钙化病变。在术前细致评估的基础上,团队结合IVUS等先进影像学指导,顺利完成手术,术后患者症状显著缓解,恢复良好。本次手术的成功,不仅展现了冠脉旋磨技术在复杂钙化性冠状动脉病变治疗中的突出优势,也彰显了山东大学齐鲁医院急诊介入团队在心血管介入治疗领域的精湛技术与卓越实力。










球囊扩张有腰征
球囊扩张


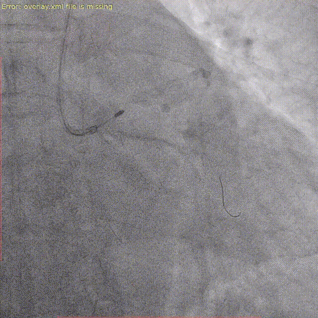
启动旋磨
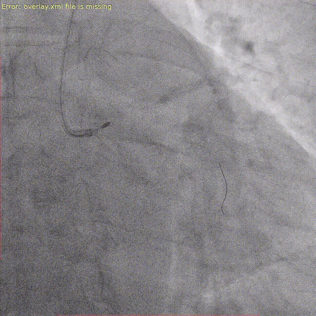
反复旋磨病变



远端支架植入
远端支架释放


近端支架植入
近端支架释放



陈玉国教授 严道课程目录
中国心脏骤停与心肺复苏报告
急诊一体化救治——中国经验
医工交叉助力学科发展
2020ESC非ST段抬高型急性冠脉综合征管理指南解读
……

添加小严学习助手
领取精品好课
· END ·

