杰出妙计·主瓣重度狭窄伴升主动脉重度钙化|中国人民解放军南部战区总医院王显悦教授、张本教授成功实施一例高难度经心尖TAVI
2025-01-08 09:33

随着安全性和有效性不断得到验证,适应证不断拓宽,TAVI在治疗主动脉瓣病变方面的重要性持续上升,但对于部分特殊患者,如横位心、外周血管入路困难等,手术仍有挑战。君子善假于物,根据患者情况选择合适的入路方式,是手术成功的关键因素之一,经心尖入路的J-VALVE瓣膜为此类治疗提供了有效助力。
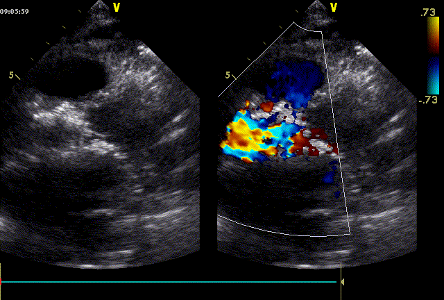
近日,中国人民解放军南部战区总医院王显悦教授、张本教授团队应用J-VALVE瓣膜完成一例高难度经心尖TAVI。患者为72岁男性,心脏超声示主动脉瓣重度狭窄伴轻度关闭不全,且二尖瓣中度狭窄。由于具有急性心力衰竭、高血压3级、肺气肿等其他疾病,且体重仅35公斤,对外科开胸手术耐受较差,风险极大,经过团队综合评估,决定行经心尖TAVI手术,拟植入25mm J-VALVE瓣膜。该患者存在升主动脉瓷化和左室流出道重度钙化,为手术增加了额外难度,术者团队凭借过硬的专业技能和细节处理能力,有效避免了术中可能存在的风险,并成功植入瓣膜。术后食道超声示无瓣周漏、无冠脉堵塞等并发症,患者症状明显缓解,手术顺利完成。
病例资料
72岁男性患者,主诉“胸闷、气促一年余,伴粉红色泡沫痰一周”。一个月前行右冠PCI术,术后药物治疗下未能有效缓解症状,且出现反复晕厥。
诊断:心脏瓣膜病 主动脉重度狭窄伴轻度关闭不全,二尖瓣中度狭窄伴轻度关闭不全,三尖瓣轻度反流;急性心力衰竭;心功能III级 高血压3级(很高危);慢性支气管炎伴肺气肿;食管癌根治术后;甲状腺功能减退症;高脂血症。
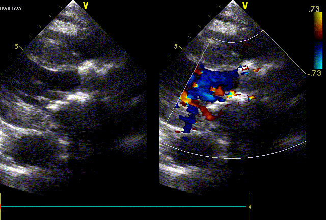
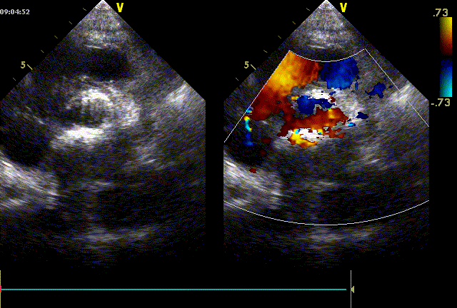
心脏超声示:主动脉瓣重度狭窄伴轻度关闭不全;二尖瓣中度狭窄伴轻度关闭不全;三尖瓣轻度反流;心包积液(少量)。
术前CT评估示




















手术策略
该患者升主动脉瓷化,左室流出道重度钙化。在TAVI手术过程中,导管和瓣膜的通过可能会对瓷化主动脉造成损伤,增加主动脉夹层、血管破裂等严重并发症风险;左室流出道的重度钙化会影响人工瓣膜与周围组织的贴合,使得瓣膜无法完全密封,从而增加瓣周漏的发生概率。


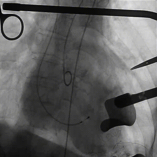
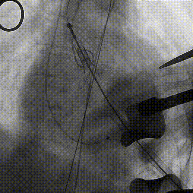
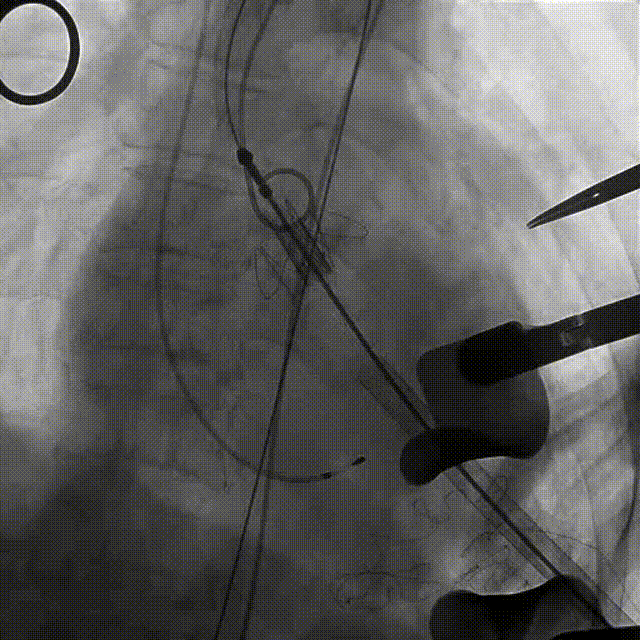
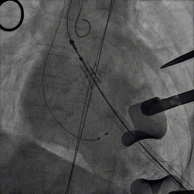
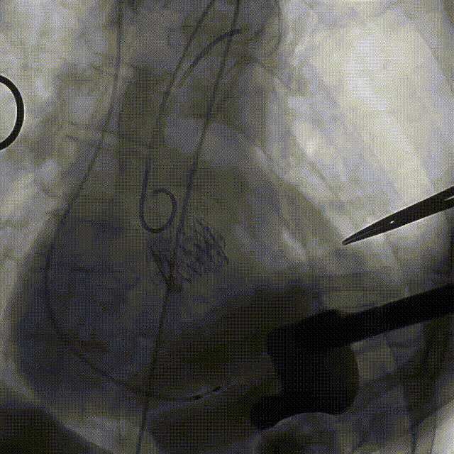
手术过程








术后总结