
作者:丁柯晗 校审:王斌
武汉大学中南医院心血管超声医学科
先天性心脏病(以下简称先心病)是心脏及大血管在胚胎早期由于发育异常或发育障碍所致的心血管畸形。目前主流学说认为导致先天性心脏病的原因有遗传因素及环境因素。遗传方面,约占总数15%的先心病是由于单基因和染色体异常而发生,例如室间隔缺损、房间隔缺损和动脉干畸形与第21号染色体长臂某些区带的过度复制和缺失有关;环境因素则强调妊娠期间出现宫内感染、辐射暴露、药物误用或患有代谢性疾病等均可能与先天性心脏病的发生有关。
全球范围内每1000名新生儿中有9名患有先心病。在经济状况相对好的国家,由于胎儿筛查的普及和终止妊娠的权利保障,严重先心病的发病率正在下降,而全球范围内的总体发病率正在上升。据2019年全球疾病负担研究(GBD)显示,全球先心病患病人数达到1300万,每年超过21万人因先心病死亡。截至2021年的数据显示,中国有200万例先天性心脏病患者,每年新增确诊病例15万至20万例。
先天性心脏病是儿童最常见的心脏病,其发病率约占存活婴儿的0.4%~0.8%,其中室间隔缺损最多(占所有先天性心脏病的25%~30%),其次为动脉导管未闭、房间隔缺损和法洛四联症等。未经治疗者约1/3可在生后1个月内因病情严重和复杂畸形而死亡。但在过去几十年中,随着医疗、外科手术和技术的进步,超过90%的先心病患者在出生后能活到成年。因此,成人先天性心脏病发病率正在升高且目前已远超儿童先心病的人数。无论是成人还是儿童,及早确诊及治疗先天性心脏病都是我国医疗卫生事业面临的巨大挑战。
ICE在室间隔缺损(VSD)诊疗中的应用
室间隔缺损(VSD)的产生是由于胚胎发育期间,室间隔发育不完全造成的,发病率在先心病中占到约20%,占到新生儿的0.5‰,50%以上的复杂先天性心脏病,都合并有室间隔缺损。根据缺损发生部位的不同,室间隔缺损可以分为膜周部室间隔缺损、流入道型室间隔缺损、嵴上型/干下型室间隔缺损、肌部室间隔缺损、嵴下型室间隔缺损。由于室间隔围绕着三尖瓣、主动脉瓣、肺动脉瓣等重要结构,因此能否精确的定位缺损位置,更好的了解缺损周围的结构成为了缺损修补手术的关键。
从诊断的角度出发,在解剖方面心腔内超声(ICE)可以精确诊断缺损特征,更准确地显示室间隔缺损的大小、位置、形态以及与周围结构的关系,为治疗方案地指定提供更强有力的证据,血流动力学方面,ICE可以更准确地评估血流速度和分流方向,有助于评估缺损对心脏功能地影响。而从治疗的角度出发,在房间隔缺损封堵术中,ICE能够在封堵器释放前后在不同切面上准确测量房间隔缺损直径,评估缺损边缘的长度和厚度,这些均有助于选择合适尺寸的封堵器,确保封堵器紧密贴合残损边缘,避免残余分流。在复杂或特殊类型的室间隔缺损中,ICE的诊断更准确,引导效率更高,极大地提高了封堵手术的成功率。同时ICE可以更好的避免如心包积液、封堵器移位等术中并发症的发生。与传统的X线透视引导相比,ICE减低了医患的辐射暴露,并减少了造影剂过敏、肾损伤等风险。

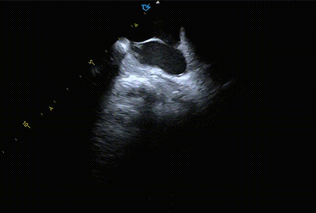
图1 ICE观察室缺形态[1]

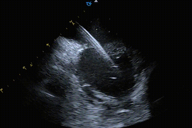
图2 ICE直视下室缺封堵全流程[1]

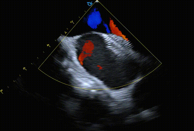
图3 霆升ICE直视下膜周部室间隔缺损封堵
ICE在房间隔缺损(ASD)诊疗中的应用
房间隔缺损(ASD)的患者数量在所有的先天性心脏病患者中约占7-10%。不同类型的房间隔缺损占比差异较大,例如继发孔房间隔缺损可占所有ASD患者的80%,而原发孔型房间隔缺损及静脉窦型房间隔缺损分别占所有ASD患者的10%。ICE能够提供高分辨率的实时心脏结构图像,除了可以清晰显示房间隔缺损的各项参数外,帮助医生掌握缺损周围结构的关系(如肺静脉、上腔静脉等)、血流方向及速度等信息,对于提高手术的成功率也至关重要。我们以双孔型房间隔缺损为例,两个缺损的大小、距离和位置关系决定了封堵方式,应用心腔内超声可以帮助医生更好的做出手术决策。
2018年12月21日,西安交通大学第一附属医院结构性心脏病科成功完成了国内首例三维心腔内超声(3D-ICE)指导下筛孔型房间隔缺损封堵术。厦门大学附属第二医院、解放军总医院、华中科技大学附属同济医院等单位先后开展了ICE 指导下的房间隔缺损封堵术。可见目前在各种先天性心脏病的介入封堵治疗中,ICE在房间隔缺损得到了应用,但受限于其高昂的价格,相较于房间隔缺损,应用于室间隔缺损的经验相对较少。

视频1 ICE下观察ASD

视频2 释放封堵器

视频3 术后无残余分流
ICE在卵圆孔未闭(PFO)诊疗中的应用
卵圆孔未闭(PFO)的人群患病率为20%~34%。自1564年意大利外科医生Leonardo Botallo首次发现卵圆孔以来,越来越多的临床研究提示PFO可能与某些疾病相关,如不明原因缺血性卒中、先兆性偏头痛等。
ICE应用于卵圆孔未闭封堵术最重要的意义是可以在术中确定残余右向左分流,并能检测到额外或以前未识别的右向左分流。封堵器释放前后可以观察和精确判定封堵效果(封堵后即刻有无残余右向左分流),可以通过术中cTCD即时验证封堵效果。这无疑是ICE监测卵圆孔未闭封堵的最大优势之一。ICE能够确保最佳的手术结果。
复旦大学中山医院在2021年6-9月期间,根据术中是否使用ICE将接受了PFO介入封堵术的患者分为TTE组及ICE组,记录两组的一般情况、超声结果、合并症、并发症、手术时间及辐射暴露时间等临床资料。结果显示与经胸超声(TTE组)相比,ICE组手术时间更短,辐射暴露时间更少,成功率和安全性更高。这一统计结果强有力地证明了ICE在先天性心脏病诊断及治疗中的地位,为患者提供了更优质的治疗选择。

(A) 通过ICE观察PFO裂隙;(B)ICE指导导丝进入LPV;(C) ICE指导封堵鞘进入LA;(D)ICE直视下左房盘面展开;(E) 释放钢缆后可降解封堵器形态;(F) 验证封堵器和上腔静脉的关系;(G)验证封堵器和主动脉的关系
图4 霆升ICE直视下卵圆孔未闭封堵
ICE在动脉导管未闭(PDA)诊疗中的应用
动脉导管未闭是小儿先天性心脏病常见类型之一,占先天性心脏病发病总数的15%。足月新生儿在出生后几个月内诊断出动脉导管未闭的比例在0.9%-4.5%,但在早产儿中,动脉导管未闭的发生率在30%以上。
与其他先心病相似的是,ICE在动脉导管未闭的封堵术中也能够提供更好的诊疗手段:明确解剖结构与周围关系、指引导管路径、确保封堵器完全覆盖动脉导管开口,避免参与分流、减少并发症的发生率、减少辐射暴露,提高手术的精准度与安全性。

图5 ICE直视下PDA封堵术[2]
综上,心腔内超声(ICE)在先天性心脏病中有着极为广泛的应用前景,其在图像显示、监测血流动力学变化、优化术中操作与引导、并发症的监测方面有着经胸超声心动图及经食管超声心动图无法比拟的优势,极大的推动了先天性心脏病介入治疗的发展,未来会有更多的先心病种类的治疗等待着ICE的探索。
霆升ICE CLUB
致力于打造专属心腔内超声的学习平台,会定期推送ICE相关的知识分享和临床操作分享。同时邀请各位临床专家入驻,分享您关于ICE的应用心得和体会,敬请关注!
参考文献:
⇅ 向上滑动阅览
· END ·

