
近日,一位87岁高龄老人因患有主动脉瓣重度狭窄接受了SAPIEN 3瓣膜¹TAVR。该患者伴有全身动脉粥样硬化、冠心病以及高血压和糖尿病等基础疾病,既往做过肺部切除手术,体质偏差,无法耐受外科开胸手术。经术前全面评估,专家团队排除了其他血管入路的可能性,决定为患者行经右股动脉入路的TAVR手术,拟植入26mm SAPIEN 3瓣膜。该患者还有双侧髂动脉瘤(内有血栓形成),且双侧髂外-股动脉狭窄,四年前曾接受右髋部骨折手术,血管状态非常不理想。为此专家团队通过置入14f e-sheath导管鞘及6mm球囊于大鞘内以解决股动脉狭窄问题。最终凭借术者团队过硬的专业技能和团队默契的配合,成功植入瓣膜,术后造影显示无瓣周漏,外周血管无出血、无夹层,手术顺利完成。
病例资料
87岁男性患者,主诉:间断胸闷一年余。身高172cm,体重66kg,心功能分级(NYHA Class)Ⅱ-Ⅲ级。
既往史:糖尿病10年余(口服二甲双胍治疗),血糖控制可、慢性肾功能不全病史、左肺切除手术史60年,右髋部骨折手术史四年,冠脉严重三支病变,分期行冠状动脉支架植入,现患者冠脉情况稳定。
心脏超声提示:主动脉瓣重度狭窄:主动脉瓣收缩期测量流速:358cm/s,主动脉收缩期平均压差:32mmHg,主动脉瓣前向流速增快,中量反流,缩流颈6mm,主动脉瓣钙化,中度狭窄,中度关闭不全;左室舒张末径:56mm, 左室射血分数:45%,二尖瓣后叶瓣环钙化,少量反流。
肾功能:肌酐135umol/L
术前CT评估示:
瓣环面积:420.1mm² ;LVOT 面积:417.1mm²


瓣叶形态:三叶瓣;钙化情况:中度钙化,钙化分布在NCC瓣叶体部及瓣尖

窦部大小:R35.4*L32.9*N35.5mm,STJ:高:23.3mm 直径:28.5mm


左冠高度:14.6mm,瓣叶长度:14.6mm;右冠高度:17.1mm,瓣叶长度:17.1mm


最大展开角度:RAO 9°,CAU30°,主动脉根部夹角:58°,升主动脉情况:42.1mm


主动脉弓钙化、斑块,腹主动脉钙化、斑块、折曲,髂总动脉瘤、血栓,右侧髂外近似270°钙化,髂最窄径3.5mm,右侧股动脉钙化,股动脉分叉位于股骨头中下1/3以下,髂动脉-股动脉扭曲

左侧髂总动脉瘤,髂外狭窄,最窄径伴钙化,环形钙化,半圆形钙化处最窄径3.9mm,髂外动脉-股动脉段明显扭曲,左侧股动脉分叉位于股骨头平面1/2

术前诊断:1.主动脉瓣狭窄(中度)伴关闭不全(重度)心脏瓣膜病2.心功能Ⅱ-Ⅲ级(NYHA分级)3.冠状动脉粥样硬化性心脏病冠状动脉支架植入术后状态窦性心律4.2型糖尿病5.肾功能不全6.髂总动脉瘤7.肺大疱8.肺气肿9.左肺术后10.右髋关节术后
手术策略
87岁男性患者,主动脉瓣重度狭窄,外周入路狭窄伴钙化,有髂动脉瘤,双侧髂外-股动脉狭窄,腹主动脉扭曲;多发粥样硬化,同时合并慢性肾功能不全,糖尿病等疾病。考虑到患者高龄、体质偏弱且基础疾病多,常规开胸手术风险极高,术者团队综合评估后,拟采用经右股动脉入路TAVR手术。术中综合策略:置入14f e-sheath导管鞘,6mm球囊置于鞘内,扩张髂外动脉;因SAPIEN 3瓣膜外径低,具备可调弯功能,术中拟植入26mm SAPIEN 3瓣膜,位置90/10 ,-1cc释放瓣膜。
本例患者合并了严重冠心病,肾功能情况较差,且股动脉狭窄伴有血栓,病情极为复杂,术中术后也可能面临肾功能恶化、血管入路损伤破裂或血栓脱落等严重并发症。为确保手术安全,术者团队还采取了以下策略:
1.冠脉分期处理,改善心肌缺血
行TAVR术前首先处理左冠系统,包括对前降支、回旋支等进行支架植入和球囊扩张,开通血管,改善因冠心病导致的心肌缺血。等待肾功能和心功能有改善后,再处理右冠血管,逐步完成冠脉血管的完全干预。
2.术中、术后密切监测肾功能
由于患者肾功能较差,肌酐水平处于200umol/L左右,术者在冠脉处理过程中特别注意造影剂的使用,避免加重肾损伤;同时,在TAVR术后密切监测患者肾功能。
3.多学科会诊+术前评估,精准选择血管入路
此外,术者团队对多种入路方式进行了全面评估和血管外科会诊。经评估,患者左侧肺既往做过肺切除手术,左侧肺胸膜和心脏部位黏连严重,排除经心尖入路;评估发现患者颈部血管太细且全程钙化,排除经颈动脉入路。
最后,结合血管外科会诊的意见,术者团队对双侧股动脉的内径、狭窄程度和钙化程度进行了综合评估,认为右侧股动脉的内径相对较好,比左侧更粗,狭窄和钙化程度较轻,更适合穿刺和插入导管,最终决定经右股动脉入路TAVR。
手术过程
右股动脉缓慢置入14f e-sheath导管鞘,有阻力,6mm 球囊于大鞘内扩张狭窄段

6mm球囊于大鞘内扩张狭窄段
主动脉根部造影,右窦略高,向头位调整投照角度

主动脉根部造影
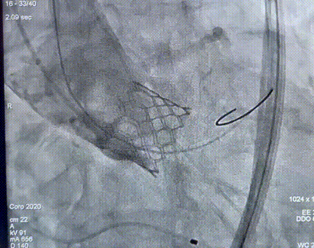
缓慢持续送入输送系统,初始瓣膜定位

瓣膜定位
快速起搏下瓣膜释放

瓣膜释放
复查造影示无PVL,形态良好,超声提示流速1.5m/s

瓣膜释放后造影
撤出大鞘,造影提示外周血管无出血、无夹层

血管入路造影检查
术后总结
本次手术是一例难度较高的小血管入路TAVR,首要困难在于患者是瓣膜病合并冠心病(急性非ST段抬高心肌梗死),两者互相影响,手术风险远高于患有单一疾病的患者,且该患者多年未来过医院,入院前心肌梗死未接受任何治疗和处理,再次增加了手术的风险。术者团队选择在TAVR术前进行了左、右冠脉分期处理,待患者整体情况好转后,才进行TAVR手术。
其次,TAVR术中也面临着巨大的困难。患者患有双侧髂动脉瘤,双侧髂外动脉狭窄伴钙化(右髂最窄径3.5mm,左髂最窄径3.9mm),且双侧髂外-股动脉狭窄,狭窄处还有血栓形成,输送系统通过极为困难。为解决这一问题,术者团队选择了14f e-sheath导管鞘,其鞘管细小且具备可调弯功能,减轻了剑鞘的压力和困难,过弯输送鞘的尖端时避免挤压血管内的钙化斑块,顺利解决了入路血管狭窄问题。此外,SAPIEN 3瓣膜在释放和植入过程中表现出显著优势,其定位标记可精准植入瓣膜,且不容易移位;低瓣架设计大大降低了冠脉遮挡风险;其良好的贴合性和支撑性,加上球囊扩张之后很少出现回缩,术后瓣周漏风险比较小,尤其对于这类高龄、复杂的瓣膜病患者具有较大的优势。术后团队对患者进行了严密的监测和观察,患者恢复良好,第一天脱机拔管,神志清醒,四肢活动正常。肾功能稳定,未出现恶化。瓣膜功能良好,无明显瓣周漏。
本次手术成功展示了TAVR技术在高龄、多基础疾病、血管条件差的患者中的应用价值。术者团队通过术前评估和多学科团队合作,成功克服了股动脉狭窄等困难,确保了手术的成功和患者的良好恢复,为该类患者的手术提供了宝贵的经验和借鉴意义。
注:本文仅代表专家的个人观点,旨在促进学术信息的沟通和交流,仅供医疗卫生专业人士参考。本文所涉医疗器械的完整描述信息,包括适应症、禁忌症、警告、注意事项,详见说明书。
注释:
1. 产品名称:经导管主动脉瓣膜系统。
2. 注册证编号:国械注进20203130291。
-
· END ·

