
四叶式主动脉瓣(Quadricuspid Aortic Valve,QAV)是一种极为罕见的先天性心脏瓣膜畸形。正常情况下,主动脉瓣由三个半月瓣组成,而四叶式主动脉瓣则多出一个瓣叶。这种畸形可能单独存在,也可能与其他先天性畸形(如Ehlers-Danlos综合征、Williams综合征等)同时出现。严道医声网曾报道过此类病例(与死神争分夺秒:广东省人民医院40分钟完成一例四叶瓣合并纯反流经股动脉TAVR、独家瓣法·微创经心尖治疗主动脉四叶瓣畸形|陕西中医药大学第二附属医院柏本健主任团队应用J-Valve瓣膜完成一例经心尖TAVR)。近期《Eur Heart J Case Rep.》刊发了一例“The beauty of a quadricuspid aortic valve from the multimodality perspective of the Heart Team”,在为患者解除病痛的同时,还能欣赏到罕见病例的美轮美奂。

一名62岁女性患者因持续数月的呼吸困难就诊(NYHA心功能分级III级)。门诊经胸超声心动图发现中重度主动脉瓣反流后,进而接受经食管超声心动图检查。经食管超声心动图显示为极为罕见的四叶式主动脉瓣(图A,视频S1)。

(图A)三维经食管超声心动图

包含两个无冠瓣(N,non-coronary),瓣口面积保留,但存在中央对合间隙(图B;RA:右心房,LA:左心房,RV:右心室,LV:左心室,Ao.:升主动脉)。由此导致中重度主动脉瓣反流,相关参数包括:缩流颈宽度(VC)8 mm、压差减半时间(PHT)250 ms、有效反流口面积(EROA)0.28 cm²,且降主动脉可见舒张期血流反流。

(图B)双平面食管中段切面。缩写:N-无冠瓣,R-右冠瓣,L-左冠瓣,RA-右心房,LA-左心房,RV-右心室,LV-左心室,SVC-上腔静脉,Ao.-升主动脉。
心脏CT证实了这一罕见解剖结构(图C,视频S2;SVC:上腔静脉),显示左右冠状动脉起源正常(红色箭头),分别发自相应冠窦(R:右冠窦,L:左冠窦),未见冠状动脉狭窄。

(图C)心脏CT。红色箭头标记左右冠状动脉开口。缩写:N-无冠瓣,R-右冠瓣,L-左冠瓣,RA-右心房,LA-左心房,RV-右心室,LV-左心室,SVC-上腔静脉,Ao.-升主动脉。

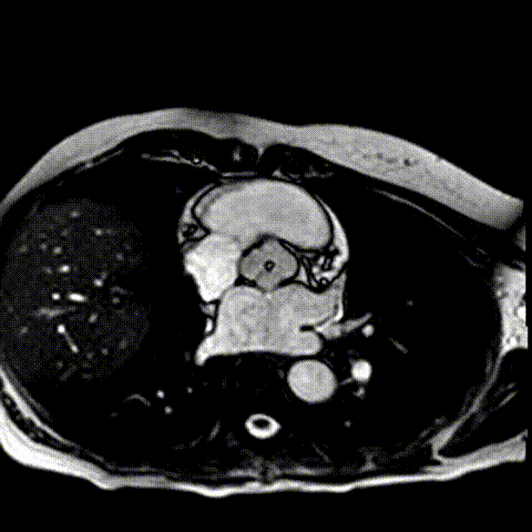
此外,心脏磁共振排除了其他先天性异常,并计算出主动脉反流分数为35%(图D,视频S3)。左心室射血分数为62%,但存在心腔扩张(左心室收缩末期内径47 mm,舒张末期容积指数101 mL/m²)。

(图D)心脏MRI。

经心内科与心外科多学科团队讨论,结合患者症状、NT-proBNP升高(982 pg/mL)及左心室扩大,最终决定手术治疗。术中发现为Type A型四叶瓣(四个瓣叶大小相近),理论上此类解剖难以三叶化修复。通过部分胸骨切开术顺利以生物瓣膜完成主动脉瓣置换(图E)。患者术后恢复顺利,第7天转至康复中心,此后症状完全缓解。

(图E)外科术中视图。
本病例展示了四叶式主动脉瓣多模态影像技术的协同价值。原来,心脏里也能藏着这么美的一朵花。
· END ·

