
近日,首都医科大学附属北京安贞医院王坚刚教授团队,成功为一名二尖瓣重度狭窄伴中度关闭不全、三尖瓣重度关闭不全、持续性心房颤动的患者,实施二尖瓣生物瓣膜置换术+直视下三尖瓣成形术+左心耳夹闭术,顺利完成雅培全新一代生物瓣膜Epic Plus的全国首批植入手术。术后食道超声显示生物瓣膜功能、形态良好,三尖瓣无明显反流,无瓣周漏等并发症,患者症状改善明显,手术效果显著。

作为Epic瓣膜的升级版,全新一代生物瓣膜Epic Plus传承了Epic瓣膜优异的产品特性并契合全生命周期管理而进行了全面提升。
Epic Plus 采用最先进的组织处理技术 Linx AC,是行业唯一彻底屏蔽α-Gal抗原,消除残留免疫原性的商业化瓣膜¹,并通过四种机制降低瓣膜组织钙化水平,瓣膜植入10年100%无钙化²。
在二尖瓣位上,Epic Plus 的行业最低瓣脚体径设计,极大降低左室破裂并发症风险,对于高危患者来说Epic Plus是二尖瓣的最优选。同时 Epic Plus全新设计的持瓣器,使得其更适用于微创术式。

病例简介
65岁女性患者,主诉:发现风心病30年,加重1月余。
心脏超声示:风湿性心脏病、二尖瓣狭窄(重度)并反流(中度)、三尖瓣反流(重度)、肺动脉高压(重度)、主动脉瓣反流(轻度)。二尖瓣前后叶瓣尖增厚、钙化、粘连、开放受限、瓣下腱索挛缩。2D测MVA:0.8 cm²,PHT法测为:0.8cm²。瓣环前后径32mm,左右径32 mm。CDFI:收缩期二尖瓣房侧见中量反流信号,反流束面积5.6cm²。收缩期三尖瓣房侧见大量反流信号,反流束面积10.5cm²,TRVmax:457cm/s,PG:83 mHg,TI法估测SPAP:93 mmHg。心律不齐。
术前诊断为:风湿性二尖瓣狭窄伴关闭不全、三尖瓣关闭不全、心房颤动(心房纤颤)、左房血栓、肺动脉高压。经首都医科大学附属北京安贞医院王坚刚教授团队细致评估,确认患者符合手术条件且无手术禁忌症,遂拟行二尖瓣生物瓣膜置换术+直视下三尖瓣成形术+左心耳夹闭术。
手术过程
采用全麻方式,患者仰卧位,经胸骨正中切口,术中肝素化,常规建立体外循环,转机,阻升主动脉,心包腔冰屑保护,灌注心肌保护液,经房间隔入路显露左房。暴露二尖瓣,因钙化粘连严重决定行二尖瓣置换手术。患者有阵发性房颤、风湿性二尖瓣狭窄左房增大,首先行45号心耳夹夹闭左心耳。后剪除病变瓣膜,测量后置换Epic Plus Mitral 27号生物瓣,置入过程顺利,探查无瓣周漏、瓣叶对合良好。右房切开,沿三尖瓣瓣环植入成形环,连续缝合右房。术后患者心脏自动复跳,食道超声证实二尖瓣未见瓣周漏,生物瓣功能良好,三尖瓣未见明显返流。手术顺利完成,患者恢复情况良好。

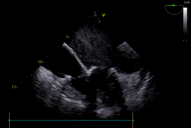
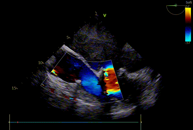
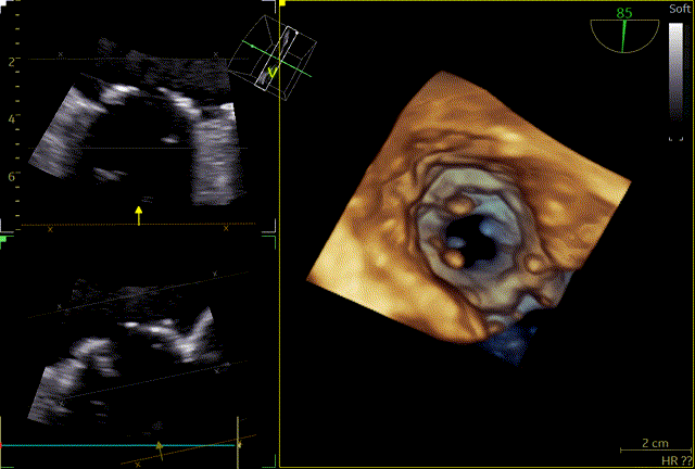
术后即时食道超声示:二尖瓣未见瓣周漏,生物瓣功能良好,三尖瓣未见明显返流。




术后床旁超声描述:MVR+TVP术后,双房增大。二尖瓣位为人工生物瓣回声,瓣环位置固定,瓣叶活动良好,未见赘生物回声。PHT法测二尖瓣人工生物瓣口面积:3.8cm²,三尖瓣见成形环强回声,CDFI:未见异常。
术后总结

本次患者有严重的风湿性心脏病,包括二尖瓣重度狭窄伴中度关闭不全、三尖瓣重度关闭不全和持续性心房颤动,且病史长达30年,近期病情加重,存在左房血栓和重度肺动脉高压,手术风险较高。王坚刚教授凭借团队丰富的临床经验和精湛的技术,术前精准评估患者病情,术中熟练操作,为患者成功实施二尖瓣生物瓣膜置换术、直视下三尖瓣成形术及左心耳夹闭术,并植入全新一代生物瓣膜Epic Plus。术后患者恢复良好,手术效果显著。
此次作为全国首批Epic Plus瓣膜植入手术团队之一,王坚刚教授率领团队成员成功实施手术后,并分享了他的使用体会:
Epic Plus是目前全球首款实现完全α-Gal抗原屏蔽的商用瓣膜,它采用了Linx AC组织处理技术,从根本上降低了瓣膜植入后引发的抗原性。此外,Epic Plus 秉承了以往短瓣架的设计,这种独特的瓣架设计特别适合中国老年女性左室偏小的病人。对于外科医生而言,其植入操作比较友好,同时还能最大限度地预防手术带来的一些严重并发症。
匠心传承,经典至上
Epic Plus以传承43年临床应用经验的Epic平台为基础,凭借其出色的耐久性表现赢得了全球广泛的信赖。基于超过25000例患者的真实世界大型临床数据,展现了优异的长期疗效:在10年的随访中,主动脉瓣位免于结构性退行性病变(SVD)的比例高达94.6%3,二尖瓣位也达到了91.4%4。
Epic Plus低体径瓣脚设计在主动脉瓣位降低冠脉阻塞风险,在二尖瓣位减少左室破裂并最大化保留neo-LVOT;瓣环瓣脚全面显影提升,结合FlexFit聚合物支架8个大气压即可BVF的特性,为瓣膜疗法全生命周期管理提供更多可能。
1.(Naso, Filippo, et al. "First quantification of alpha‐Gal epitope in current glutaraldehyde‐fixed heart valve bioprostheses."Xenotransplantation 20, no. 4 (2013): 252-261.
2.J. Bernard, et al. “Mechanisms of Failure of a Mitral Valve Porcine Xenograft Prosthesis and Comparison of Outcomes According to Reintervention Approach”.Presented at AATS Mitral Conclave Meeting, New York, May 2023.
3.Wiechmann, RJ. et. al. Ten-year Outcomes of Surgical Aortic Valve Replacement with a Contemporary Supra Annular Porcine Valve in a Medicare Population.JTCVS Open.2022.
4.Rodriguez, E. et. al. (2022, January). Ten-Year Outcomes of a Contemporary Generation Low-Profile Porcine Mitral Bioprosthesis in a Medicare Population. Poster presented at the 2022 STS Annual Meeting, Virtual.