
2025年3月29日至30日,由江西省医学会主办,江西省医学会心脏瓣膜病分会与赣南创新与转化医学研究院联合承办的"全省结构性心脏瓣膜病临床培训班(第二期)"在江西南昌及赣州举办。本次培训围绕心脏瓣膜疾病诊疗技术发展,采用"三维赋能"教学模式,通过系统性理论授课、实时手术转播解析及动物实验操作三大模块,为来自省内外的心血管介入医师构建"理论筑基-手术观摩-动物实操"进阶培养体系。培训班专设经导管主动脉瓣置换术(TAVR)专题研讨,重点针对影像评估、并发症防治及新型器械应用展开技术交流。
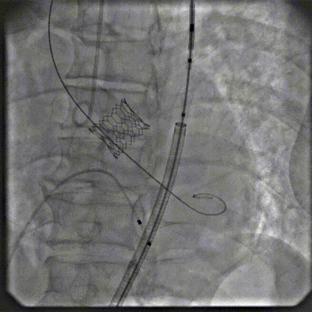
培训期间,江西省心血管病医院瓣膜中心赖珩莉教授团队联合超声医学科顾平教授,麻醉科周涛教授完成三例极简式经股动脉TAVR治疗案例。首例为78岁女性主动脉瓣狭窄患者,合并升主动脉瘤样扩张(直径58mm)、横位心(心脏角度67°)及锐角主动脉弓,钙化积分1800;次例为Type0型二叶瓣畸形患者,存在重度钙化性狭窄(峰值跨瓣压差87mmHg)。针对高危解剖特征,团队启动多学科协作机制,结合三维重建与血流动力学模拟制定极简式TAVR方案。术中应用DSA多角度投照联合超声实时监测,成功完成25mm及23mm国产球扩式瓣膜(RENATUS系统)精准释放,术后即刻超声显示瓣膜功能良好。第三例为主动脉瓣重度反流患者,解剖特征包括:瓣环平均直径24.8mm(周长78mm)、窦管交界直径34mm,钙化积分0。团队采用国产自膨瓣系统(VitaFlow),针对无钙化锚定及横位心(主动脉根部与心室轴成角60°)的技术难点,运用无冠窦支点法强化瓣环锚定,通过可调弯输送系统优化同轴性。术中基于经胸超声(TTE)实时监测调整瓣膜位置,最终实现稳定释放。术后超声评估显示反流程度显著改善,左室负荷有效降低。
本次系列手术系统验证了国产瓣膜系统应对复杂解剖病变的临床适用性:球扩式瓣膜在钙化性狭窄病变中展现出精准释放优势,自膨瓣系统通过锚定技术创新为纯反流病例提供可行解决方案。手术全程遵循结构性心脏病介入诊疗标准化流程,体现了多学科协作在危重瓣膜病治疗中的核心价值。










结构性心脏瓣膜病临床培训班(二期)圆满结束
病例一
主瓣重度狭窄并轻度反流+78岁高龄,升主动脉严重增宽,横位心,主动脉弓部角度小
病例资料
78岁女性,因“反复胸闷20年,再发加重半年”于2025年3月17日13时37分入院。
患者自诉20年前开始无明显诱因出现胸闷不适,伴呼吸困难,伴有双下肢水肿,至医院住院予以对症治疗后好转出院(具体诊治不详),自诉此后无明显胸闷症状发作。近年来有活动耐量下降。
术前评估

根部整体结构1
瓣环面积 607.5mm²,LVOT面积 652.6mm²


SOV直径:Distance L:41 mm;Distance R:34.8mm;Distance N:41mm

升主动脉严重增宽:Area derived:59.6mm

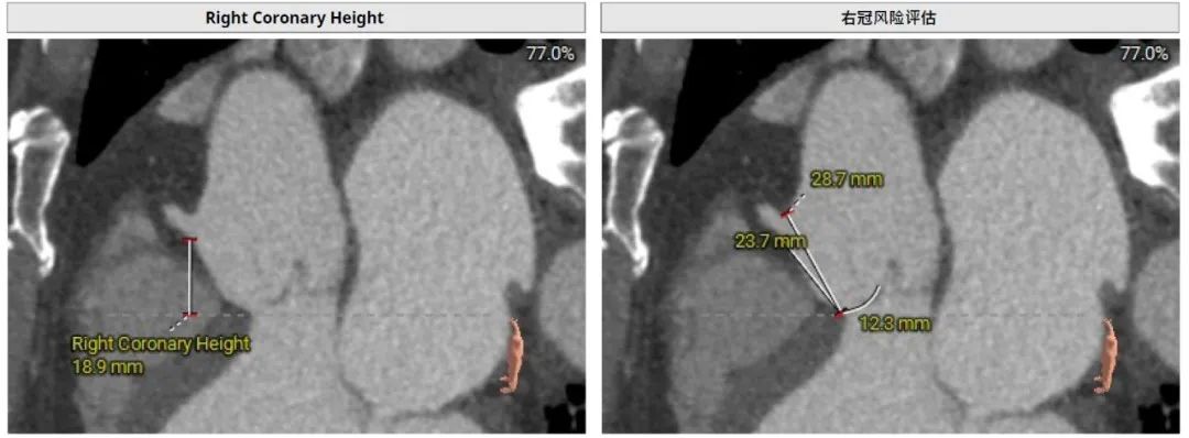
左冠高度14.3mm,右冠高度23.3mm,模拟25mm RENATUS瓣膜植入,评估冠脉风险较低。


钙化情况:850阈值:钙化积分1268mm³。

横位心,主动脉瓣环与水平面夹角67°。


血管入路评估:主动脉弓部角度小,右侧股动脉最细 7mm,左侧股动脉最细7.3mm。双侧股动脉穿刺点无明显钙化。

术前诊断
先天性主动脉瓣二瓣化畸形并退行性变;主动脉瓣重度狭窄并轻度关闭不全。
手术策略
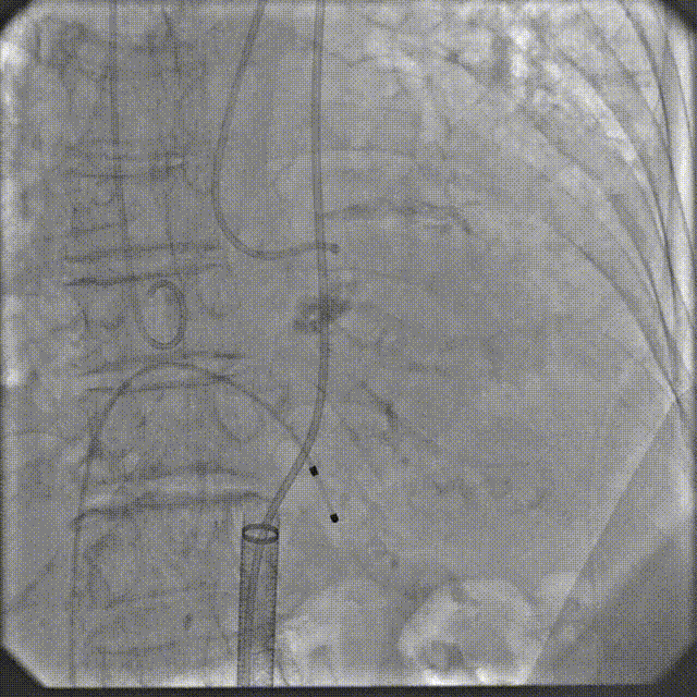
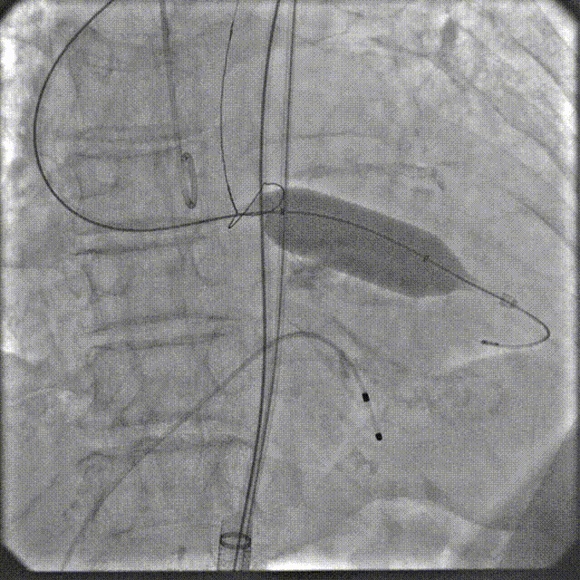
手术过程


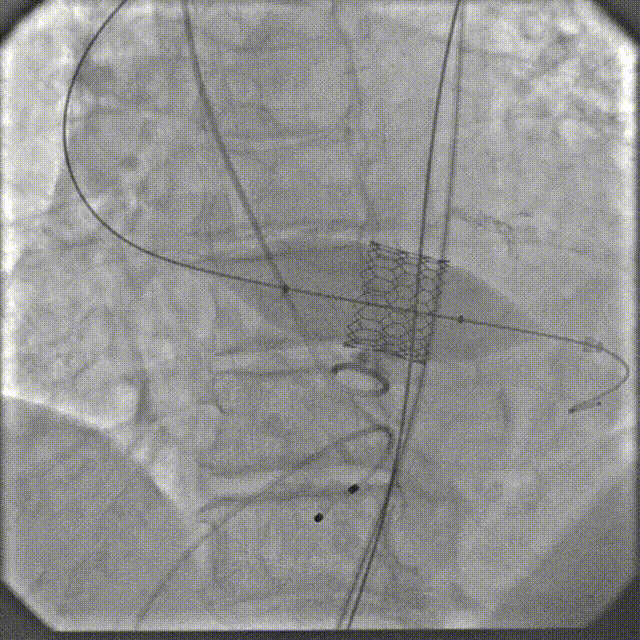
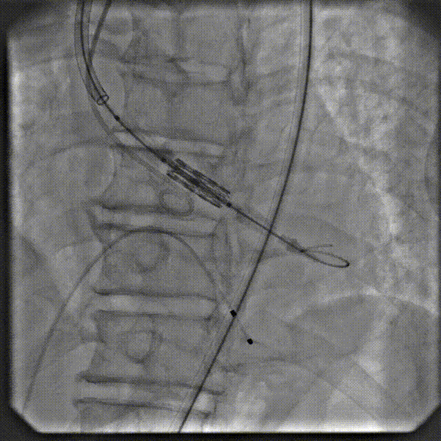
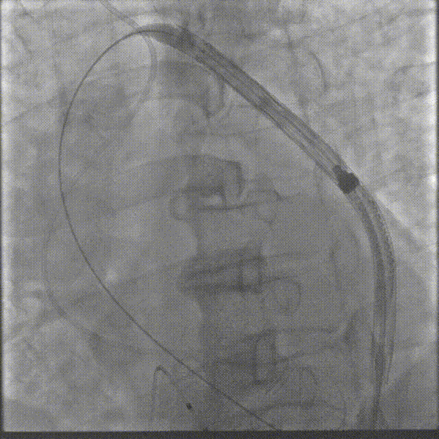
根部造影
跨瓣


球扩
定位


释放后造影
后扩

最终造影
术后复查造影示瓣膜位置满意,形态良好,冠脉显影良好;TTE示轻中度瓣周漏,少量心包积液;排除入路血管问题,手术圆满成功。
病例二
主瓣重度狭窄、Type0二叶瓣,前后交界钙化黏连
病例资料
65岁男性患者,因“发作性晕厥15天”,于2025年3月17日09时43分入院。患者自诉约15天前外出散步时下雨,遂由步行改为跑步,约跑步50米左右突感胸闷不适,继而意识丧失2分钟左右后逐渐清醒,自诉清醒后无明显胸闷、去胸痛,无恶心、呕吐,路人拨打120送往外院就诊,完善检查后考虑诊断“主动脉狭窄”,今日为进一步治疗遂来我院就诊,门诊拟“主动脉狭窄”收入院,患者自入院以来,精神、饮食可,睡眠可,大小便正常。
既往史:平素健康状况一般,有脑梗塞病史。
术前评估

根部整体结构2
瓣环面积500.1 mm²,Mean derived:25.1mm;LVOT(瓣下3mm)面积509.5 mm²

SOV直径:Distance L:41 mm;Distance S: 26.2mm

升主动脉:Area derived:45 mm

左冠高度20.8mm,右冠高度16.4mm,模拟23mm RENATUS瓣膜植入,评估冠脉风险较低。

钙化情况:850阈值:钙化积分747mm³

主动脉瓣环与水平面夹角46°。

血管入路评估:腹主动脉及髂总动脉可见散在钙化,右侧髂外动脉最细5.8 mm(平均径5.9 mm),左侧髂外动脉最细5.8 mm(平均径6.1 mm)。双侧股动脉分叉点较高。23#瓣膜选用22F大鞘。


术前诊断
主动脉瓣重度狭窄并轻度关闭不全。
手术策略
65岁男性患者,主动脉瓣重度狭窄,Type0二叶瓣,前后交界钙化黏连,环上最窄处 6-12 mm。钙化较重,主要分布于瓣叶缘及前后交界缘,其中右冠瓣叶缘与前交界缘钙化黏连。经蔡新勇教授,谢国波教授,上官青医生及邹鹏涛医生手术团队综合评估,拟行经导管TAVR,结合术前超声及CT评估,拟以右侧股动脉作为主入路,拟预扩后植入23mm RENATUS瓣膜,位置90/10。
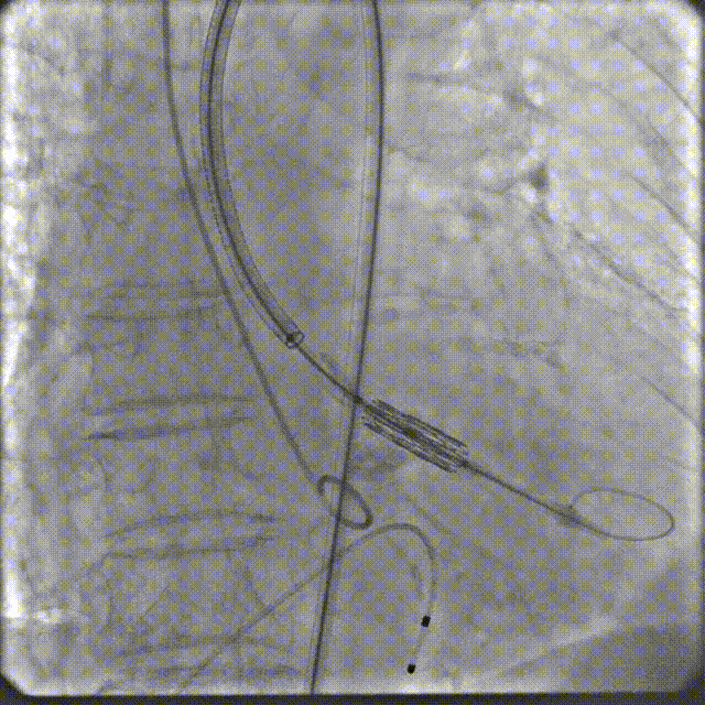
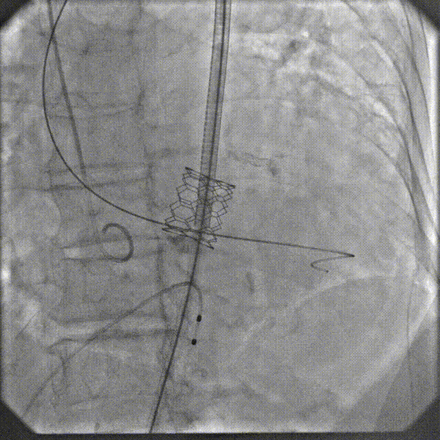
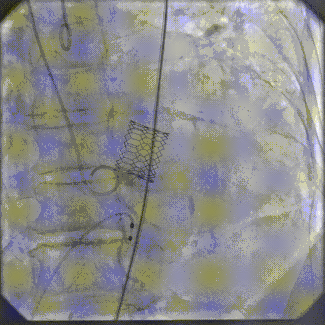
手术过程


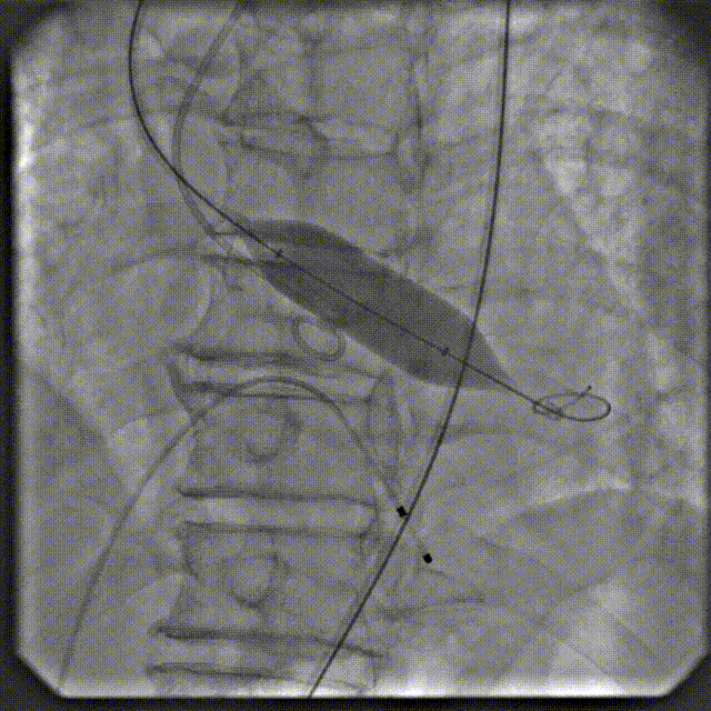
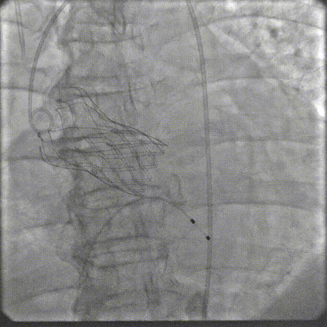
根部造影
跨瓣


定位造影
球扩


释放
最终造影
术后复查造影示瓣膜位置满意,形态良好,冠脉显影良好;TTE示轻微瓣周漏;排除入路血管问题,手术圆满成功。
病例三
73岁高龄,主动脉瓣退行性并大量反流、横位心
病例简介
65岁男性患者,因“发作性晕厥15天”于2025年3月17日09时43分入院男性,患者3月时无明显诱因出现呼吸困难,躺下加重,坐起好转,严重时夜间需坐起,无头晕头痛、无咳噉咳痰,予以重视,于当地医院反复就诊,当地医院诊断为“胸腔积液”,予以对症治疗,具体不详,但患者仍感胸闷,遂来我院门诊,门诊拟“胸腔积液”收入我科。
既往史:20年前心衰,具体不详,有高血压病史,有高血脂病史,有高尿酸病史患病时间,有糖尿病病史,有肾结石手术史1年。
术前评估
心电图示:窦性心率,左心室高电压,ST-T改变。
胸腹主动脉CTA :影像诊断: 1.冠状动脉轻度粥样硬化。2.左前降支中段壁冠状动脉。3.主动脉及分支轻度粥样硬化。4.腹腔干起始处中重度狭窄。5.两肺轻度间质性肺炎,较前略吸收减少,请结合临床并治疗后复查。6.肺气肿。7.右肺下叶钙化灶。8.两侧胸腔积液并两肺下叶节段性膨胀不全。9.左心增大。10.主动脉、冠脉壁钙化。11.肝左叶囊肿。
术前CT评估示:三叶式主动脉瓣,瓣叶无增厚,无钙化。舒张期瓣环周长78mm,均径24.8mm;LVOT周长80.5mm,均径25.6mm,LVOT : Annular=1.03;升主均径32.8mm;STJ均径33.4mm。

瓣环:Perimeter:78.0mm
Mean Diameter:24.8mm
左室流出道(瓣下4mm)Perimeter: 80.5mm
Mean Diameter:25.6mm

左冠高度:High: 17.3mm

右冠高度:High: 18.9mm

窦宽:Distance L:34.4mm
Distance R:42.2mm
Distance N:40.3mm
STJ:Perimeter: 104.8mm
Mean Diameter:33.4mm
High:36.3mm

升主:Perimeter: 103.3mm
Mean Diameter:32.9mm






手术策略
第三例为主动脉瓣反流挑战性病例,超声心动图提示主动脉瓣退行性变伴重度反流,解剖特征包括:瓣环周长78mm(平均直径24.8mm)呈椭圆形态(D/S比值1.25),窦部扩张(STJ直径34mm)但瓣叶无增厚及钙化(钙化积分0),同时合并左室显著扩大(LVEDD 72mm)伴室壁变薄(室间隔厚度4.5mm)。该纯反流病例面临双重技术挑战:无钙化瓣环及瓣吐:主动脉根部与心室轴成角60°横位心。蔡新勇教授,谢国波教授,詹宇亮博士,朱虹岷博士,刘松涛医生手术团队应用无冠窦支点法,将瓣环作为主要锚定区,并采用可调弯输送系统提高同轴性,术中根据瓣架位置及受力情况,结合TTE超声实时监测瓣膜位置,最终实现瓣膜精准释放。
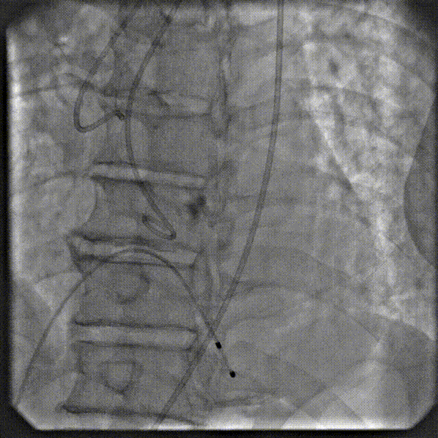
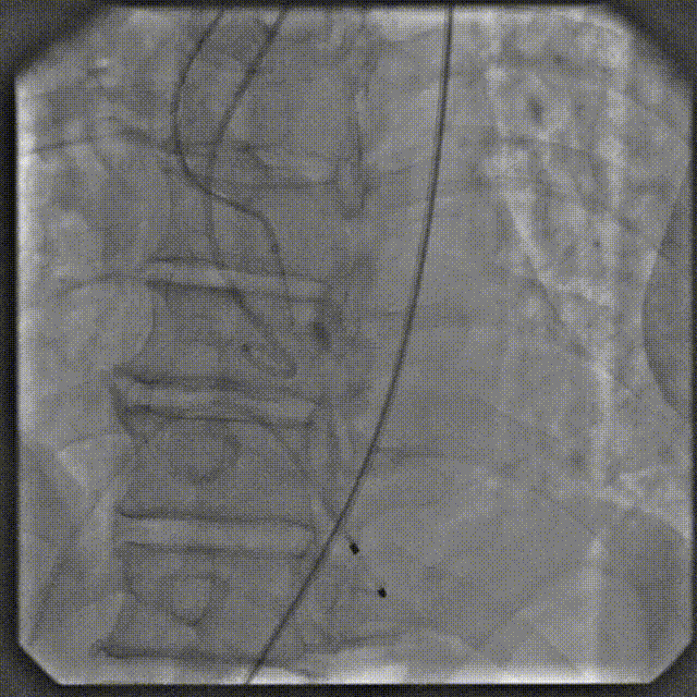
手术过程

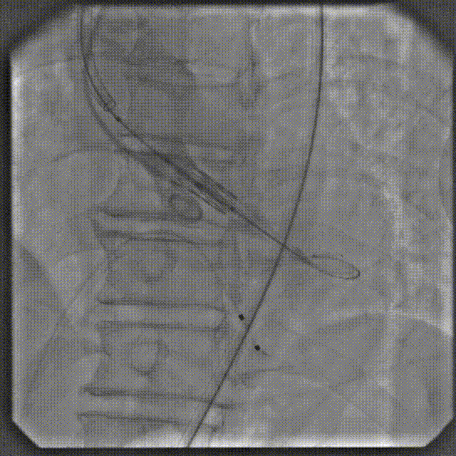
根部造影

跨瓣

瓣膜系统过弓

定位造影

瓣膜确认位置后释放

回收极限处造影

最终造影
术后复查造影示瓣膜位置满意,形态良好,冠脉显影良好;TTE示轻微瓣周漏;排除入路血管问题,手术圆满成功。
3月30日上午,培训班在重大疾病新药靶发现及新药创制全国重点实验室模式动物工程研究中心开展TAVR手术实操训练,二尖瓣缘对缘修复术器械演示。全体学员在符合GLP标准的实验环境中,使用经病理建模的实验猪进行介入操作演练。该动物模型通过专业培育,其主动脉瓣钙化程度与血流动力学参数可复现人类重度主动脉瓣狭窄的核心病理特征。
在数字减影血管造影(DSA)与经胸超声(TTE)双模影像引导下,学员系统完成经导管主动脉瓣置换术全流程操作:首先建立经皮腹主动脉穿刺入路,随后进行导丝跨瓣定位,继而操控人工瓣膜输送系统,最终实现瓣膜精准释放。训练重点强化三个技术维度:①血管入路建立与并发症预防 ②影像引导下的器械递送路径规划 ③基于实时超声的血流动力学评估。
通过标准化动物实验平台,参训医师不仅掌握了TAVR手术的核心操作规范,更深入理解了影像学参数与解剖结构动态匹配的决策逻辑。该训练体系通过量化评估穿刺成功率、瓣膜定位精度及操作时效性等核心指标,为临床技术转化建立可追溯的质量控制标准。





培训总结