

2025年4月12日,第六届中国结构性心脏病大会(CSHC 2025)在京隆重举行。在本届大会的系列专题活动中,健世科技通过精彩的学术内容分享和手术演示,展示了旗下两款国产创新瓣膜系统——Ken-Valve和LuX-Valve Plus的临床成果与技术优势,尤其在真实世界中的治疗成效与操作策略,得到与会专家与观众的广泛关注。
Ken-Valve | 经心尖TAVR治疗AR合并大瓣环的策略专场成功召开
在结构性心脏病治疗日益深入的背景下,主动脉瓣返流(AR)及合并狭窄的精准评估和个性化治疗策略成为焦点。此次专场讨论围绕经心尖TAVR治疗AR合并大瓣环展开,主要聚焦返流适应症、瓣窦扩张等治疗难题。会议特邀多位资深专家,系统探讨了国产器械在高质量治疗中的关键作用。
该专题会议由海军军医大学第一附属医院徐志云教授、首都医科大学附属北京安贞医院来永强教授担任主持嘉宾,四川大学华西医院郭应强教授,海军军医大学第一附属医院宋智钢教授、中南大学湘雅医院王霖教授和空军军医大学西京医院杨剑教授带来精彩的学术分享。
稳“健”相“瓣”
国产经心尖主动脉瓣植入系统一年随访数据发布

郭应强教授围绕Ken-Valve的设计特点和一年期临床成果进行了系统性分享。Ken-Valve采用环上瓣设计,涵盖从23mm到33mm的6种瓣膜尺寸,能够适应广泛的瓣环解剖结构。其一体式定位键瓣膜支架设计和可调弯输送系统使操作过程更加简便、安全,有效缩短了器械操作时间,平均操作时长为8.70±8.85分钟。该系统能够有效应对主动脉瓣返流合并狭窄的临床适应症。根据一年期临床试验结果显示,所有受试者无中度及以上返流,心功能和生活质量指标均显著改善。累计全因死亡率为5.63%(均为心源性死亡),植入瓣膜的有效瓣口面积(EOA)均值≥1.90cm²,瓣膜在术后一年内功能稳定,性能良好。整体器械成功率97.18%
首“瓣”相随
主动脉瓣返流及合并狭窄操作流程

宋智钢教授在讲解Ken-Valve术式的优势时表示,该术式对术者介入基础技能要求较低,学习曲线短,标识清晰,操控性好,操作步骤明确、便捷,能够确保同轴精准定位与稳定释放,提升手术效率和安全性。同时,宋教授详细讲解了器械在治疗主动脉瓣返流及合并狭窄患者中的应用流程,包括术前评估、导引路径选择、瓣膜定位与释放等关键步骤。
主动脉瓣返流解剖影像评估及全生命周期管理

王霖教授提到,主动脉瓣返流(AR)作为一种日益常见的心血管疾病,已成为临床领域的重要关注点。随着影像学技术的进步,医学界对主动脉瓣返流的自然史、预后标志物、疾病严重程度以及心脏重塑的理解不断深化,推动了早期诊断和治疗方法的优化。在治疗方面,手术干预仍被视为治疗主动脉瓣返流的金标准,尤其适用于低风险和中等风险的患者。然而,对于高风险患者,越来越多的临床实践表明,经导管主动脉瓣置换术(TAVR)成为了一个有效且安全的治疗选择。
他强调Ken-Valve全生命周期管理理念在主动脉瓣返流的治疗中发挥了重要作用。这一管理模式涵盖了围手术期的瓣周漏、冠脉通路等问题,并将长期效果纳入考量,包括血管并发症、瓣膜耐久性、冠脉再介入以及再次TAVI治疗等方面。通过个性化的手术方案,Ken-Valve全生命周期管理能够最大程度地提高患者的治疗效果,确保患者从治疗中获得最大的益处。
王霖教授总结道,“全生命周期管理和个性化治疗策略的结合,是发挥TAVR技术最大优势的关键,为主动脉瓣返流患者提供了更为精准和有效的治疗选择。”
瓣窦扩张的挑战——国产器械的创新应对

杨剑教授分享了国产创新器械Ken-Valve在重度主动脉瓣关闭不全,尤其是合并主动脉瓣狭窄等复杂情况中的临床应用经验。Ken-Valve能有效应对大瓣环尺寸、主动脉窦扩张以及横位心等复杂解剖结构,为介入治疗提供了全新的解决方案。
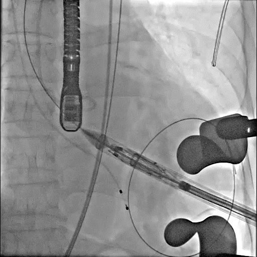
会上,杨教授展示了一例Ken-Valve经心尖路径成功治疗的病例:
患者为63岁男性,既往有冠心病史并接受过PCI术。此次因重度主动脉瓣关闭不全住院治疗。术前超声提示左心室扩大、双房增大,左室收缩功能明显减低,EF仅28%;主动脉瓣极大量返流,二尖瓣及三尖瓣亦见轻度返流。
CTA评估显示该患者主动脉瓣环较大,最大径34.9 mm,面积换算直径29.7 mm,周长换算直径30.5 mm。

本病例面临多重挑战:
左心室收缩功能严重受损,术中血流动力学风险高;
瓣环尺寸较大,超出部分传统TAVR器械覆盖范围;
主动脉根部瘤样改变需特别关注支架释放后的稳定性与并发症防控。
最终,团队选择Ken-Valve系统经心尖路径进行介入植入。该系统具备环上定位、一体化锚定结构及多种尺寸覆盖能力,在该复杂解剖与高风险基础疾病患者中,实现了精准释放与良好对位。术中过程顺利,术后主动脉瓣返流明显缓解,患者心功能亦呈改善趋势。


进输送器
定位键入窦


瓣膜释放
术后造影
杨剑教授表示,随着更多复杂病例的积累及长期随访数据的完善,Ken-Valve 有望为主动脉瓣关闭不全的介入治疗开辟更广阔的应用前景,进一步提升对临床挑战的应对能力。
创新不止步 | LuX-Valve Plus专题分享呈现中国临床成果
作为国内最早开展TTVR术式研究的企业之一,健世科技还在此次大会上还带来了关于三尖瓣返流介入治疗的深度探讨。

在《三尖瓣返流介入器械创新及LuX-Valve Plus中国临床结果解读》的讲题中,海军军医大学第一附属医院陆方林教授指出:由于病程迁延、身体虚弱等因素,许多三尖瓣返流患者并不适合接受传统外科手术治疗。右心及三尖瓣瓣环扩张、解剖变异等问题,也使得当前部分经导管治疗器械面临应用受限的难题。陆教授强调,三尖瓣介入器械的设计不仅需确保瓣膜在短期内稳定固定,更需兼顾右心功能的长期重构与改善。
在讲题中,陆教授还分享了一例LuX-Valve Plus治疗后右心功能得到改善的真实病例。
患者为81岁女性,NYHA心功能分级为III级,STS评分9.43%,为外科高危人群。既往有高血压、持续性房颤病史,2017年曾接受房颤射频消融术,2023年8月确诊冠心病。合并肝肾功能中度不全,为慢性肾脏病三期。
术前超声提示三尖瓣功能性重度返流,呈瀑布样回流表现;右心功能轻度受损,TAPSE 28 mm,FAC 45%。肺动脉收缩压升高(56 mmHg)。左心结构及功能基本正常,LVEF 71%;主动脉瓣结构未见明显异常,二尖瓣和肺动脉瓣可见轻度返流。
经心脏团队评估,考虑患者三尖瓣返流程度重、右心已有功能损害,拟行TTVR手术,计划选用LuX-Valve Plus装载30-65型号瓣膜。
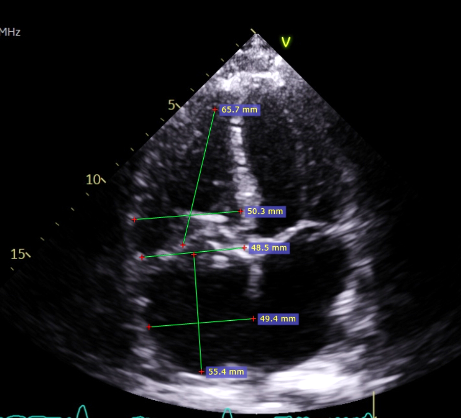
患者手术前后超声对比

术前三尖瓣环前隔径测量值为58.3mm
右心室横径为71.4mm
右心室长径为79.3mm

术后仅四个月三尖瓣环前隔径测量值为48.5mm
右心室横径为50.3mm
右心室长径为65.6mm
从影像来看,右心明显发生重构、缩小
陆教授表示,LuX-Valve Plus通过独特设计,克服了锚定困难、术后永久起搏器植入率高、瓣周漏等临床挑战。TRAVEL II临床研究一年的随访数据表明,LuX-Valve Plus在治疗重度三尖瓣返流患者中展现出良好的安全性和有效性。该系统的设计有利于右心功能的持续改善,期待更多介入产品的创新与发展。
此外,复旦大学附属中山医院魏来教授在《经颈静脉三尖瓣置换在永久起搏器植入术后三尖瓣返流病例中的临床应用》的分享中强调,中国每年有超过10万人接受永久起搏器植入手术,其中7%-45%的患者术后会出现中度以上的三尖瓣返流,需接受治疗。魏教授强调,起搏导线的存在增加了三尖瓣介入治疗的难度,可能导致术中干扰、残余瓣周漏及影响起搏导线功能。不同设计的介入器械在治疗术后三尖瓣返流患者时效果差异较大。LuX-Valve Plus系统凭借其非径向支撑力锚定方式和灵活的输送系统,在此类患者中展现了良好的安全性和有效性。魏教授期待通过积累更多临床经验,并推动创新器械的问世,以更好地满足术后三尖瓣返流患者的治疗需求。
技术实践再进阶 | LuX-Valve Plus术式录播
在此次大会中,一例LuX-Valve Plus经颈静脉三尖瓣置换术的精彩手术录播亦吸引众多目光。该手术由阜外医院团队主刀,采用经食道超声和经胸超声引导,针对一例三尖瓣重度关闭不全的74岁患者进行治疗。术中术者通过LuX-Valve Plus装载30-55mm瓣膜,充分运用其独有的五轴调向与锚定系统,顺利完成瓣膜定位与释放,术后即刻经超声评估显示瓣膜运行良好、无显著返流或瓣周漏。
术者在术中从导管入路处理、瓣膜植入位置评估,到释放节奏的把控,为广大一线医生提供了极具价值的操作示范,进一步夯实了LuX-Valve Plus在不同病例中的可操作性。
总结与展望
从数据到实践,从理念到成果,健世科技在本次大会中的多维度亮相,不仅展示了国产介入瓣膜的硬核实力,也为推动结构性心脏病治疗的高质量发展注入了新的动力。未来,健世科技将继续深耕产品创新与临床转化,为更多患者带来更稳妥、更精准的治疗解决方案。

扫码查看宁波健世学术专栏
了解更多精彩内容