

2025年4月,汇禾医疗K-Clip®经导管三尖瓣环成形系统正式开启上市后首批商业化植入!

复旦大学附属中山医院葛均波院士团队、浙江大学医学院附属第二医院王建安院士团队、首都医科大学附属北京安贞医院宋光远教授携林逸贤教授,厦门大学附属心血管病医院王焱教授团队,四家顶级心脏中心成功应用K-Clip®完成上市后的首批植入,正式拉开了我国经导管三尖瓣治疗的商业化序幕!

复旦大学附属中山医院葛均波院士、周达新教授团队
三尖瓣反流(TR)是常见的心脏瓣膜疾病之一。流行病学显示,中重度TR在75岁以上人群中的患病率高达3.96%。严重的TR会直接影响患者的生存率和生活质量,传统外科手术需开胸和体外循环,死亡率达8-10%,导致大部分高危患者被迫放弃治疗。
2021年4月, 汇禾医疗K-Clip®在复旦大学附属中山医院由葛均波院士团队完成了全球首例人体植入,这项技术的问世,为患者和医生带来破局的曙光。
K-Clip®是中国首款获批的经导管(微创)路径的三尖瓣器械,该创新产品的获批,标志着中国瓣膜学科,全面进入了“经导管”介入化时代!
巧合的是4年后的今天,多家中心为治疗三尖瓣反流开启该产品商业化的全新篇章。
★复旦大学附属中山医院★
葛均波 院士、
周达新、潘文志、张晓春 教授团队

患者基线
患者,女,70岁,因反复头晕伴双下肢水肿入院;入院诊断为三尖瓣关闭不全,持续性房颤。
术前影像: 基线超声提示功能性三尖瓣反流(5+); CTA提示三尖瓣环面积1827mm²,平均直径51mm。
手术策略:拟植入2枚的K-Clip® 。
手术过程及效果
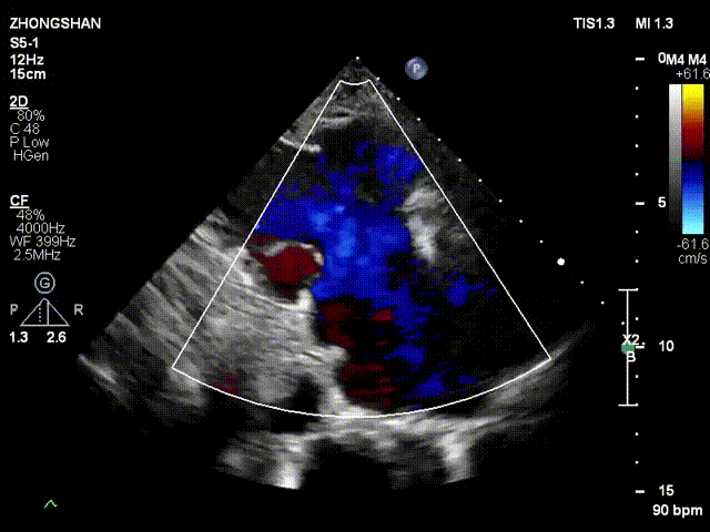
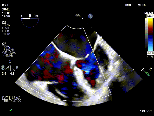
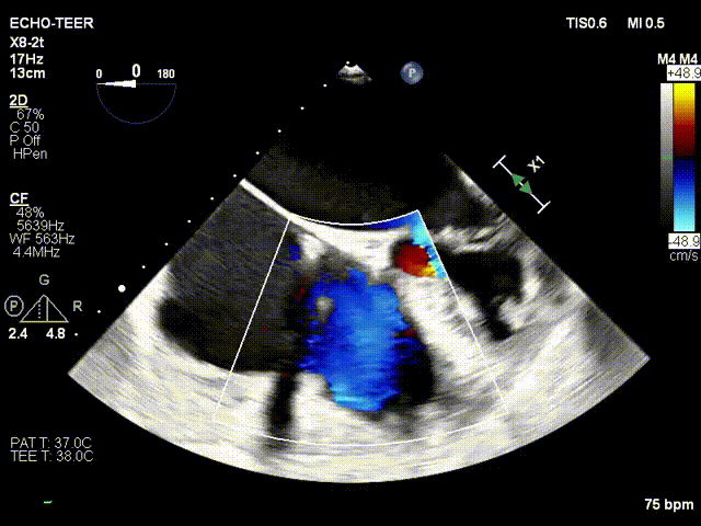
术中在食道超声引导下分别于后瓣环、前后瓣环处各植入2枚14T K-Clip®,术后即刻反流由基线重度(5+)降至中度(2+)。


术前超声
术后超声
★浙江大学医学院附属第二医院★
王建安 院士、刘先宝 教授团队

患者基线
患者,女,70岁,因反复胸闷气急入院;入院诊断为心律不齐,三尖瓣关闭不全。
术前影像: 基线超声提示功能性三尖瓣反流(4+);提示瓣叶重度栓系(Tenting height:10mm);CTA提示患者三尖瓣环面积1472mm²,平均直径47.4mm。
手术策略:结合瓣环大小与患者瓣环扩张情况,拟植入一枚K-Clip® 。
手术过程及效果
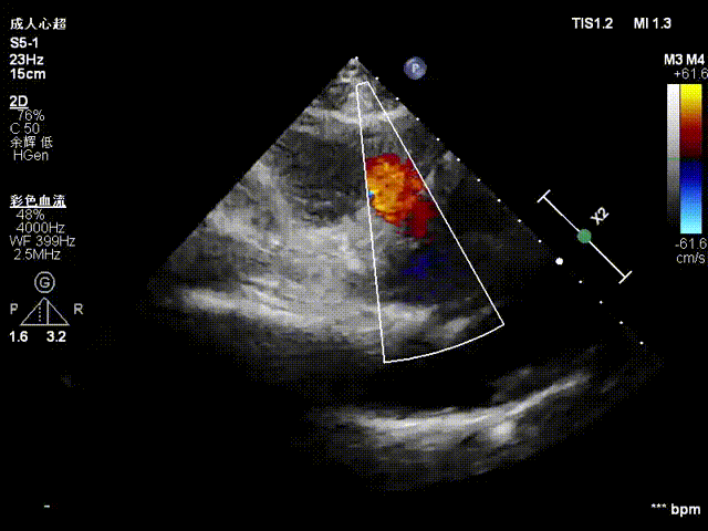
术中在食道超声引导下于后瓣环处植入1枚14T K-Clip®,术后即刻反流由基线重度(4+)降至中度(2+)。


术前超声
术后超声
王建安院士
浙江大学医学院附属第二医院
“这是一个别无他法的患者,我们原本仅希望达到‘姑息性’的效果,没想到术后效果超越我们预期。K-Clip®和我之前用过的缩环的器械不一样,它非常简单,好用,我希望大家都能来尝试。”
★首都医科大学附属北京安贞医院★
宋光远 教授团队 林逸贤 教授

患者基线
患者,女,73岁,因双下肢水肿,伴活动后四肢乏力入院;入院诊断为三尖瓣重度反流。
术前影像: 基线超声提示重度三尖瓣反流(4+); CTA提示三尖瓣环面积1514mm²,平均直径43mm。
手术策略:拟植入2枚的K-Clip® 。
手术过程及效果
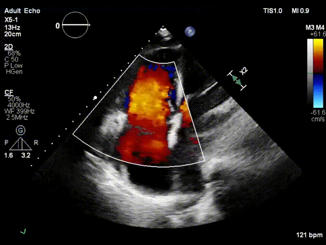
术中在食道超声引导下分别于后瓣环、前后瓣环处各植入1枚12T K-Clip®,1枚14T K-Clip®,术后即刻反流由基线重度(4+)降至微量(0-1+)。


术前超声


术后超声
★厦门大学附属心血管病医院★
王焱 教授团队

此前,在厦门大学附属心血管病医院主办的TAVR²S会上,王焱院长团队向大会现场直播了一台K-Clip®,得到Maurizio Taramasso、Sabah Skaf、Anson Cheung、Yeo Khung Keong等国际专家的高度肯定。
患者基线
患者,男,67岁,反复胸闷气短10余年,双下肢水肿伴纳差1年余。
术前影像:基线超声提示重度功能性三尖瓣反流(5+),CTA提示三尖瓣环面积1800mm²。
手术策略:拟植入2枚K-Clip® 。
手术过程及效果
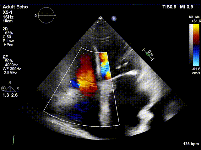
根据患者瓣环形态及冠脉距离,依次在后瓣环跨后隔交界和前后瓣环交界处植入12T和14T,术后即刻超声提示反流降至中度(2+),冠脉无殊。


术前超声
术后超声
随着K-Clip®的获批上市,不仅填补了国内三尖瓣介入器械的空白,同时标志着中国原创医疗器械走向国际舞台。未来随着技术的普及和医保覆盖,K-Clip®将成为三尖瓣反流治疗的首选方案,为更多患者和家庭带来希望和生机。

K-Clip®经导管三尖瓣环成形系统:
1、经血管穿刺入路,损伤小,鞘管外径18Fr。
2、操作简单,均在心房面完成,学习曲线短。
3、解离前所有操作步骤可逆,手术效果可控。
4、生理性环缩技术,无损原生瓣叶。

扫码进入汇禾医疗学术专栏
了解更多精彩内容
