
第一次意料之外


查房时,林婆婆躺在病床上,此时,心电监护提示心率、血压、氧饱和度都是正常的,她症状缓解了,还能和旁人谈笑风生指点江山,我却一点都高兴不起来。因为刚才,我才追问出一个重要病史,数天前林婆婆听信民间偏方,自己连续吞服鱼胆,每天三个,连续三天!
她或许真的不知道这意味着什么,我却十分痛苦的知道。
事情还要从一年前开始说起。
1年前,林婆婆因为“活动后心累、气促10余年,加重10天”入院。老人家长期活动后心累、气促,其中还伴着胸痛、胸闷,尤其是上坡、爬楼梯后明显,休息后缓解。往往这种情况都提示心功能下降或者冠脉狭窄病变,或者兼而有之。老人家既往有高血压、2型糖尿病,没有规律用药。
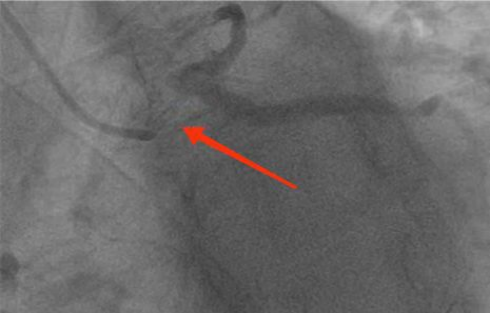
入院后我们完善检查,一些结果回示:CT(颅脑、胸部):左侧基底节区腔隙性梗塞灶或小软化灶可能。双肺未见明显异常。主动脉及冠状动脉壁钙化灶。腹部彩超:脂肪肝(轻度)。心脏超声:室间隔增厚;二尖瓣钙化;左室收缩功能测值稍降低。生化:总胆固醇6.93 mmol/L、甘油三酯2.59 mmol/L、低密度脂蛋白 4.93 mmol/L。空腹葡萄糖 6.49 mmol/L。糖化血红蛋白6.90 %。上述这些阳性结果意味着患者的心脏、颅脑、周围血管都受到不同程度损害,鉴于此,我们选择给林婆婆做冠状动脉造影,结果发现是“左主干病变”,图中所示左主干接近95%的狭窄,我们在操作过程当中,造影管稍微一碰到左冠脉开口,心电监护马上提示ST段抬高,压力崁顿,患者立马有胸痛、胸闷等症状。

(图示冠脉造影结果:左主干病变。箭头出无明显黑色造影剂通过,提示左主干开口、体部严重狭窄,只有一丝血流通过)
左主干病变是非常严重冠脉病变,但是目前来说,现有的冠脉介入或者外科搭桥技术是可以治疗的,不是绝症。当时考虑病情危重,在加强抗血小板聚集、抑制心室重构、稳定斑块等治疗的基础上,建议患者上级医院治疗。幸运的是,患者依从性很好,到重庆某医院行冠脉搭桥手术,术后效果良好,患者心累、气促、胸闷、胸痛等症状明显缓解,生活质量大大提高。半年前电话随访,还说要好好感谢我们,帮她发现致命的问题。
时间白驹过隙,随着症状改善,林婆婆慢慢觉得自己的病已经治愈,但每天吃这么多药,即麻烦累赘,又伤肝伤肾。她不知道从哪里听说民间偏方,通过吃鱼胆,可以清肝明目,养阴滋肺,关键是,还能治疗心脑血管疾病。
起初林婆婆还不在意,毕竟花费十几万搭的桥,万一不吃药,病情加重怎么办,这可得不偿失?但是架不住周围人,各种吃鱼胆治疗诸多疾病成功的例子越来越多,她心动了,最后,她也行动了。
这一次没有意外


第一天,林婆婆抱着试一试态度,小心翼翼尝了一个,为了保证鱼胆完整性,还得整个吞服。吃了之后,她发现没有任何问题。她心想:自己有冠心病、糖尿病、脑梗死,要不就吃三个吧,一个鱼胆治疗一个疾病,不多不少,刚好合适。
第一天过后,病情没有加重,似乎效果还可以,老人家甚至觉得还有一点神清气爽,于是第二天、第三天继续。
第三天晚上,病情急转直下。老人家开始出现恶心、呕吐,呕吐物不详,伴心累、气促,家属发现后送来我院急诊科。急诊科以“冠心病”收入我科。我一看是老病人,以为就是个简单心衰发作,予以利尿治疗。急查心肌损伤标志物提示:肌钙蛋白I>100 ng/ml(参考值 <0.01ng/ml)。
我震惊了:这太高了!迅速思考:是急性心肌梗死?还是其他?
急性心肌梗死演变过程当中,肌钙蛋白呈现一个动态改变,一般发病后3-4小时升高,12-24小时可以达到高峰,最后7-10天慢慢回落至正常。像这种一上来就直接超过最高上限的,往往继发于其他疾病,比如严重糖尿病酮症酸中毒、热射病、食物或者药物中毒、尿毒症、败血症等等。而且这个病人,上次没有发生过心肌梗死,经过搭桥治疗,症状改善,提示桥血管是没有问题的。
但是我们也需要注意,心血管专家们把心肌梗死分成5大类型,其中第5型和我们的搭桥手术相关。第5 型心肌梗死是指为冠状动脉旁路移植术(coronary arterybypass grafting,CABG)相关的心肌梗死。首次心肌梗死28 d 内再次发生的心肌梗死称为再梗死(re‑infarction),28 d 后则 称 为 复 发 性 心 肌 梗 死(recurrent myocardial infarction)。
我当时不太敢确定,床旁询问患者,林婆婆是以恶心、呕吐等消化道症状为主,伴心累、气促等心衰症状,不是以胸痛、胸闷症状为主。如果心梗是原因,一般可以出现剧烈胸痛过后出现心累、气促,再出现应激性溃疡的反应,现在顺序反过来了。当晚经过保护胃黏膜、补液等治疗,患者症状明显改善。
谨慎起见,我暂时予以药物保守治疗,择期完善冠脉造影,判断桥血管到底有没有问题。
第二天,生化结果回示:心肌酶谱:肌酸激酶 2123.00 U/L、肌酸激酶同工酶 82.30 U/L,生化:总胆红素 51.50 umol/L、直接胆红素 38.20 umol/L、间接胆红素 13.30 umol/L、谷丙转氨酶 4467.00 U/L、谷草转氨酶 3479.00 U/L、谷氨酰转肽酶 339.00 U/L、乳酸脱氢酶 2953.00 U/L、碱性磷酸酶 240.00 U/L、肌酐 164.00 umol/L、葡萄糖 7.68 mmol/L、尿酸 844.00 umol/L。
明眼人看得出来,患者整个酶学指标一塌糊涂,这是一个暴发性肝衰竭征象。
我立马意识到不对劲,忙跑过去询问患者:最近有没有吃中药?药酒?或者什么东西?
患者连忙说,没有,没有,只是吃了几个鱼苦胆而已。
“怎么个吃法?”
“连吃三天,一天三个。”
真相大白,鱼苦胆中毒!
这里科普一下,民间偏方常说鱼胆可清热、明目、止咳平喘等的疗效,根本不成立。鱼胆胆汁的主要成分有胆酸、牛黄胆酸、氢氰酸、组胺等多种毒素,成分复杂。这些毒素可以抑制人体内 多种酶的活性,使我们的细胞不能利用氧而导致细胞死亡。更令人担忧的是,这些毒素不会被加热、烹煮或酒精所破坏,更别说是生吞活剥了。
鱼苦胆中毒可以首先出现恶心、呕吐等消化道症状,然后再出现皮肤及巩膜黄染、乏力、纳差、肝区疼痛、少尿、无尿、面部及双下肢水肿、腰痛等症状,严重时甚至会出现肝脏、心脏、肾脏等多器官功能损害,进而危及生命。
上面的描述正如我眼前的这位患者。
我赶紧和患者及家属交代病情,立马联系肾病科,准备转科进行透析治疗。林婆婆看着我神情紧张,反而安慰我:“没事,我那个小侄儿一天吃一个,吃了8天都没事。我身边的人吃了都没事。”
我不置可否,我实在无法劝说一个将死之人,但作为医生,我想我尽可能去救治一个将死之人。请肾病科急会诊,会诊医生听到患者连续“炫”了9个鱼胆,已经远远超过致死量,登时如临大敌,联系科主任,立马转科,1个小时后顺利完成右侧股静脉穿刺置管术,建立透析通道,当天完成第一次透析治疗。
透析之后患者症状稍微有所改善,但是肾病科医生作为久经沙场见多识广的战士,哪敢掉以轻心,同时进行保肝、碱化尿液、保护胃黏膜、导泻等一系列治疗,很遗憾的是,病人尿量逐渐减少,病情在迅速恶化。
当进行第二次透析时,患者出现严重呼吸困难,伴呼吸、循环系统崩溃,意识模糊,立即转到重症监护室进行气管插管,连接呼吸机辅助呼吸,最后患者心率慢慢下降,成为了一条直线。
那天晚上,家属在监护室门口懊恼得捶胸顿足,他们永远想不明白为什么病人没有死在可怕的心脏病,反而死在了微不足道的几颗鱼胆上。
上面那些内容后来都是肾病科医生告诉我的,对于他们而言,见过百草枯敌敌畏,见过安眠药灭鼠灵,见过太多太多的中毒,已经见怪不怪了,而我,才刚刚开始。
我从事心内科有10余年,眼见很多病人听信各种偏方、谣言,最终耽误病情。我看到有些病人明明出现心肌梗死典型的心绞痛,还在用脸上涂鸡血的方法缓解疼痛,有些病人明明心功能四级还要每天下田劳作不要子女一分钱,最后在监护室住了10天花了好几万,有些病人安了支架过后继续抽烟、喝酒、停药,再发心梗又安了支架,这些例子还有很多很多。
我曾经很是悲愤,和患者以及家属争得面红耳赤,我认为能够说服他们,后来慢慢释然了。换位思考,他们没有像我们一样经过短时间的集中学习和长时间的日常工作运用,他们对于医学知识茫然无知偏听偏信,有时候,我们医生不能像圣人一样孤零零的站在道德的制高点去谴责他们。
这件事之后,我感触颇多。或者患者不是死于鱼苦胆中毒,而是死于“愚昧”的中毒。怎么办?我不知道,因为人卑言轻。路漫漫其修远兮,或许,有效的正确的科普知识会成为一副“良方”。
于是我想着写下这篇文章,让人知道鱼苦胆中毒确实会让人致命,千万不要食用。也想让人知道,对于医学知识在群众中的推广和宣传,希望每一个医护人员都可以尽自己一点点的微芒,融入中国医学科普事业的无限荒原中。
大竹县人民医院 心内科 谢植宇