
近日,山东省聊城市心脏病医院心脏科团队在多学科协作下,成功应用SAPIEN 3瓣膜¹为一名主动脉瓣中度狭窄+冠状动脉左主干+多支病变患者,完成一例高难度胸腔镜下冠脉搭桥+经心尖TAVR一站式手术,实现了一次微创手术同时解决冠心病和瓣膜病两大难题。
面对患者外周入路弥漫性闭塞,锁骨下动脉内径细小并钙等严峻挑战。手术团队迎难而上,凭借高超技艺和默契配合化解层层险阻,先行乳内动脉到前降支搭桥及升主动脉到第一钝缘支搭桥手术,成功处理患者冠脉狭窄病变;后行经心尖TAVR,顺利植入一枚26mm SAPIEN 3瓣膜,术后患者冠脉及瓣膜功能均恢复良好,症状得到明显改善。
本例手术的圆满成功,充分展示出山东省聊城市心脏病医院心脏科团队在心脏介入治疗领域的丰富临床经验和精湛技术水平,也大大增强了团队应对高难度、高风险、较复杂心脏疾病的治疗信心,将以创新技术与坚定信念”双轮驱动“,护航聊城市及山东地区更多高龄、高危心脏病患者的生命健康。
病例资料
79岁男性患者,主诉:胸痛10天,加重7天。
既往高血压病史60余年,最高血压200mmHg;2型糖尿病病史6年余;冠心病6年余,4年前行左肾孟肿瘤切除术。
心脏超声示:
左房增大,室间隔轻度增厚,主动脉瓣狭窄(中),左室舒功能减低。
主动脉瓣三叶,瓣叶增厚钙化,开放受限,闭合尚可。主动脉瓣前向血流速度增快,峰值流速约3.9m/s,平均跨瓣压差约35mmHg,舒张期少量反流。
冠脉造影示:

冠脉左主干+三支病变。呈右优势型。LM重度钙化60%狭窄。LAD近中段重度钙化、长病变90%狭窄,远段60%狭窄。D1中度钙化90%狭窄。LCX开口重度钙化90%狭窄,近段重度钙化80%狭窄,远段重度钙化、轻度斑块浸润。0M1近段90%狭窄、0M2近段80%狭窄。RCA近段重度钙化60%狭窄,中段重度钙化95%狭窄,远段重度钙化60%狭窄。PL中段80%狭窄、PD近段90%狭窄。
脑血管造影评估示:
脑血管造影阳性,大脑动脉粥样硬化。左侧颈内动脉起始处硬化斑块形成伴重度狭窄,狭窄率70%;右侧颈内动脉起始处斑块形成伴中度狭窄,狭窄率50%,右侧椎动脉颅内段闭塞;左椎动脉开口处中度狭窄,狭窄率50%;左侧大脑后动脉P1段硬化伴中度狭窄,狭窄率50%。
术前CT评估示
三叶瓣主动脉瓣,瓣环面积面积491.0mm²,瓣环面积折算直径为25.0mm,LVOT平均直径为24.2mm。主动脉窦部(LC/RC/NC)直径:28.8mm,26.5mm,29.6mm,STJ均径27.3mm。


冠脉高度可,冠脉闭塞低风险。

中度钙化




外周血管入路评估示:外周入路弥漫性闭塞,锁骨下动脉内径细小并钙化。





手术策略
79岁男性患者,主动脉瓣狭窄伴关闭不全,中度钙化,外周入路弥漫性闭塞,锁骨下动脉内径细小并钙化,同时合并冠心病左主干+三支病变需要处理,脑血管多发狭窄。考虑到患者的身体情况,传统开胸外科手术难度大,风险高,经过心脏科团队综合评估,并充分与家属沟通后,决定通过一站式手术,同时解决患者主动脉瓣病变,治疗其冠心病。即:拟行胸腔镜下不停跳冠脉搭桥术,解决冠脉问题后,再行经心尖入路,拟植入26mm的SAPIEN 3瓣膜,减容1cc定位释放。
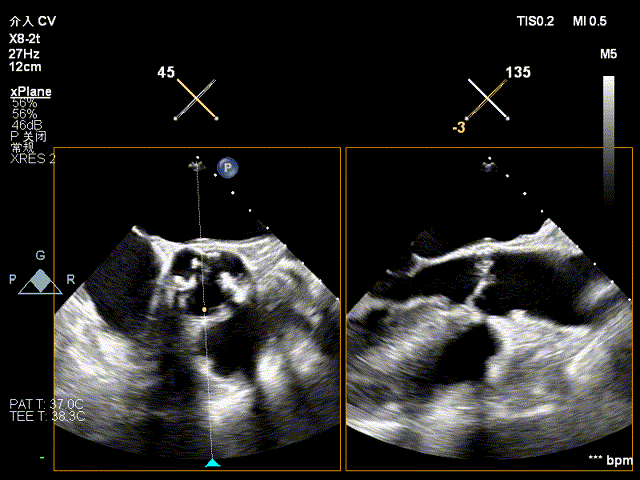
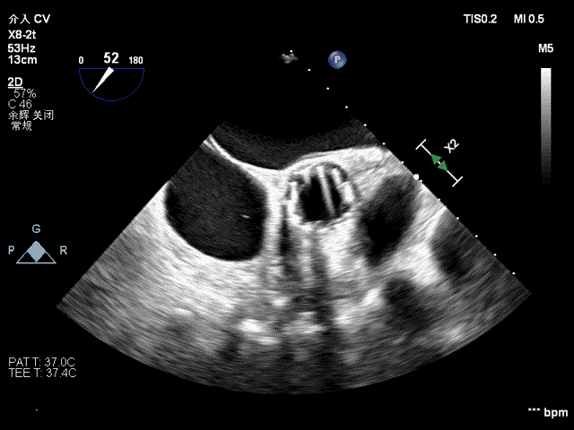
术前食道超声


手术过程
冠脉搭桥部分:

先行胸腔镜下不停跳冠状动脉搭桥术,成功处理冠脉多支病变后,再行经心尖TAVR。术中先行微创冠脉搭桥术,术中共搭桥两支,为左乳内动脉搭前降支,大隐静脉搭回旋支,成功处理冠脉多支病变后,再行经心尖TAVR。
TAVR部分:

经股动脉上行猪尾导管,主动脉根部造影

主动脉根部造影
显露心尖,于心尖预置双层3-0Prolene带垫片荷包,穿刺心尖,进入造影导丝及鞘管,经导丝将单弯导管送至降主动脉,交换支撑导丝至降主动脉。
沿超硬导丝送入预装好的26mm SAPIEN 3瓣膜,经心尖进入左心室,跨过主动脉瓣置于主动脉瓣上

瓣膜定位
瓣膜定位后,心脏起搏至180bpm,血压下降后,在主动脉根部造影的同时迅速充盈球囊,释放瓣膜

瓣膜释放
复查造影示瓣膜位置,功能,形态良好,无冠脉堵塞,术中TEE证实主动脉瓣生物瓣位置及功能正常,未见瓣周漏,仅微量反流。

术后造影
彻底止血,逐层缝合,闭合入路,手术结束。
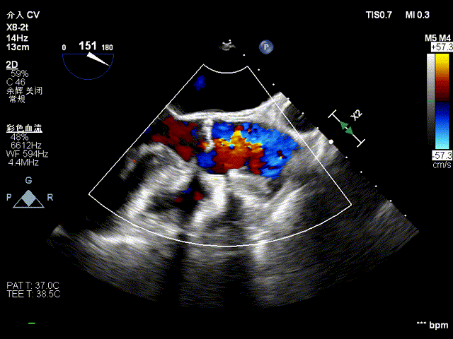
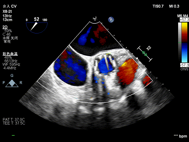
术后食道超声


术后食道超声
术后心脏超声示
经心尖主动脉瓣生物瓣置换术后,生物瓣功能未见明显异常,微量心包积液。LVEF:68%。
主动脉瓣位生物瓣,瓣架固定,瓣叶启闭尚可,主动脉瓣位生物瓣前向峰值流速约1.8m/s,平均跨瓣压差约8mmHg,舒张期少量周反流。
术后总结
这是一位同时存在主动脉瓣中度狭窄和左主干合并多支冠脉病变的高危、高龄患者,传统分阶段手术的风险已然极高。但山东省聊城市心脏病医院心脏科团队通过一站式微创方案,规避开胸创伤和多次麻醉风险,缩短康复周期,并同时解决其冠心病和瓣膜病两大难题,对高龄、心肺功能差的患者群体提供了更安全有效的治疗选择,极大提升了患者的生存质量。
在本例手术中,SAPIEN 3瓣膜以更高的耐用性、强度,和灵活精准的输送系统,安全为术者保驾护航,助力团队稳定释放瓣膜,减少术中可能出现的血管并发症等风险,进一步展现了创新器械在复杂解剖结构中的精准治疗效果。
手术的成功,不仅验证了心外科、介入团队、影像学、麻醉科等多学科协作(MDT)模式在心血管危重症救治中的核心作用,为区域性医疗中心开展高精尖技术提供了可复制的诊疗范式,还标志着医院在结构性心脏病和冠心病综合治疗领域再上一阶。期待,随着本例手术的圆满成功,山东省聊城市心脏病医院将继续引入新术式,持续创新诊疗策略,让聊城市及山东省地区更多高龄、高风险患者在“家门口”就能治愈重症,迎来新生。

聊城市心脏病医院(东阿县人民医院)不仅是鲁西地区心脏病治疗中心,还是聊城市心脏病临床医学研究中心,自2013年成立国家心血管病中心中国医学科学院阜外医院聊城市心血管病技术培训中心以来,逐步设置心脏大血管外科、瓣膜病、冠心病、心律失常、心衰、心脏影像、肺血管、高血压等专业,国内顶尖专家长期坐诊、会诊、手术,真正实现了让患者在家门口享受国内一流医疗服务的美好愿景。其中心脏大血管外科是聊城市临床重点专科和山东省县域省级临床重点专科,常规开展微创冠脉搭桥、微创瓣膜手术、房颤外科消融、微创先心病及复杂心脏大血管手术,是国内能开展全腔镜微创心脏手术的重要中心之一;其中瓣膜中心是国家心脏瓣膜病介入中心建设单位、全国TAVR手术基层示范基地。而且在致死性主动脉夹层急救方面独树一帜,逐渐打造3小时生命圈,是鲁西地区主动脉夹层救治区域中心,主动脉夹层手术并发症发生率远低于国家平均水平!
注:本文仅代表专家的个人观点,旨在促进学术信息的沟通和交流,仅供医疗卫生专业人士参考。本文所涉医疗器械的完整描述信息,包括适应症、禁忌症、警告、注意事项,详见说明书。
注释:
1. 产品名称:经导管主动脉瓣膜系统。
2. 注册证编号:国械注进20203130291。
-