
近日,由北京中康联公益基金会主办、四川省人民医院心血管内科承办的"名家大讲堂-心脏起搏技术高级研修班(四川站)"在蓉城隆重召开。本次学术会以SDL导线的植入技巧为重点,聚焦心脏传导系统起搏(CSP)这一国际前沿技术,进行了理论授课和现场手术带教,会议由四川省人民医院心内科主任田文杰教授进行会议主持,刘明江教授做为会议嘉宾,由唐艺加教授团队进行授课带教,现选取两例手术分享如下。
电极导线递送鞘型号:KVH39M 电极:2088TC
CASE 1
患者:女性 74岁 主诉反复心慌不适半年
诊断:病态窦房结综合征伴间歇性房室传导阻滞
平均心率:63bpm 长RR间歇7-8秒 LVEF:74% 室间隔厚度:10mm

术前动态心电图


图1
图2
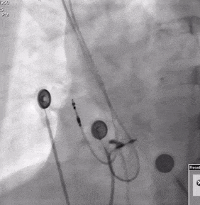
定位左束支


图3
图4
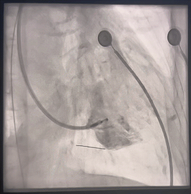
术中影像下最后确认植入位点

图5
术后即刻参数QRS:99ms,达峰时间:74ms,SV:21ms。
CASE 2
患者:女性 86岁 主诉心累 气紧 头晕6+天
诊断:间歇性三度房室传导阻滞 平均心率 34bpm
LVEF:62% 室间隔厚度:9mm




图6 左前斜判断植入位点
图7 使用鞘管的造影功能判断植入位点

图8

图9

图10
术后植入位点

图11
术后即刻参数QRS:101ms,达峰时间:64ms,SV:39ms。
两位患者经过起搏器植入术后症状得到明显改善,唐艺加教授在专题报告中系统阐述了《SDL导线植入技巧》,从解剖学基础、电生理机制及临床操作规范三个维度,深入剖析了SDL导线联合专用CSP鞘管的创新应用价值。唐艺加教授指出,该技术方案具有以下优势:1.力学特性优异:SDL导线有内置导丝支撑,再配合鞘管系统形成协同效应,可提升导线的穿透力;2.实时监测阻抗功能:容易实现阻抗及起搏图形的连续监测,为手术安全提供了重要保障,有效降低心肌穿孔等并发症风险;3.临床适配性:上述特点配合递送鞘管的多样性可覆盖多种复杂解剖变异,拓展了传导系统起搏的适应症范围。

本次观摩会议的瞬间

在观摩会的最后,唐艺加教授强调,作为心脏起搏领域革命性的技术突破,传导系统起搏已在2023年ESC指南中获得高级别推荐。随着循证医学证据的不断积累,该技术有望从根本上改变传统起搏治疗范式,为心动过缓患者带来更符合生理的治疗选择。

心脏植入式电子装置亚专业团队
(刘明江 唐艺加 文鹤龄 熊雁 周杰)
四川省人民医院心脏植入式电子装置亚专业团队,年植入量超过900台,常规开展该亚专业组领域的高新及复杂术式,包括:希浦系统起搏,心脏再同步化治疗,无导线起搏器植入,全皮下植入式ICD,心脏收缩力调节器植入、心脏感染及故障电极导线拔除,在国内率先成立晕厥诊疗协作组,在西南地区率先成立晕厥门诊,为国家卫健委及中国医师协会心律失常介入治疗器械植入培训基地、中华医学会CRT植入培训基地。在西南地区率先成功开展传导系统起搏、房室结消融+希浦系统起搏术,也是目前西南地区开展传导系统起搏最多的中心。
专家简介

田文杰
向上滑动阅览

刘明江
向上滑动阅览

唐艺加
向上滑动阅览