
近日,玉林市第一人民医院陈军教授带领团队成员韩胜富教授及黄和锡教授成功应用中国首款国产球扩瓣系统RENATUS®经导管主动脉瓣系统分别成功为一名69岁老年男性,三叶叶瓣主动脉瓣重度狭窄的患者,以及一名86岁高龄老年女性,三叶瓣主动脉瓣重度狭窄的患者开展了经导管主动脉瓣置换术(TAVR)。
陈军术者团队积极组织多学科讨论,充分评估患者病情后,为两名患者分别采用了经心尖、经股动脉两种不同入路,凭借精湛的专业技术和默契的配合,最终精准植入25#Renatus及 23#Renatus瓣膜,术后造影均显示瓣膜位置满意,形态良好,无瓣口反流无瓣周漏,两台手术均取得圆满成功,两名患者血流动力学状况即刻得到改善。两例病例展现了团队在处理复杂高危心脏瓣膜疾病方面的领先技术和丰富经验。其中一例是RENATUS®上市之后广西省的首例经心尖入路植入,也为广西省乃至周边地区的心血管病诊治水平的提升做出了重要贡献!


病例一
简要病史
患者老年男性,69岁。2025年2月因突发意识障碍入院,行基底动脉取栓、左椎动脉球囊扩张及(右C1、左V1)血管支架植入术。出院后因肺炎重新入院,行双侧胸腔穿刺引流术,再次出院后因气促,为求进一步康复治疗收入本科。完善心脏超声,诊断为主动脉瓣重度狭窄并轻度返流,主瓣口峰值流速4.8m/s,平均跨瓣压差51mmHg,二尖瓣少量反流,三尖瓣少量反流,双房增大,左室壁增厚。
术前CT评估
三叶瓣。850HU阈值下测得总钙化218mm³。钙化主要分布于无冠瓣瓣叶缘。 瓣环面积472.1mm²。LVOT面积443.8mm²,SOV 33.3-34.1mm,STJ高度25.0mm,内径28.2-29.3mm。MPR视图下测得左冠开口高度13.0mm,左冠开口上缘18.5mm,左冠瓣叶长度14.4mm;右冠开口高度16.5mm,右冠开口上缘22.9mm,右冠瓣叶长度17.4mm。模拟25#Renatus,左冠VTC5.8mm,右冠VTC7.9mm。







使用Supra annulus画圆法评估25#RENATUS瓣膜植入情况:



腹主动脉及髂总动脉可见散在钙化。右侧股动脉最细7.1mm,左侧髂外动脉最细6.3mm。双侧股动脉穿刺点未见明显钙化。

收缩期心尖投影位于第6肋间,心尖部心肌厚度7.9-10.7mm。

手术过程
通过术前精准评估,患者在全麻下行TAVR手术,DSA和食道超声双重引导,通过穿刺心尖建立工作路径,沿加硬导丝送入19mm*40mm球囊预扩张主动脉瓣,球囊无腰有漏,利用短鞘送入25#RENATUS瓣膜至左室,猪尾巴导管再次造影确认位置。将25#RENATUS瓣膜顺利跨瓣,精准定位,5ATM精确释放,退出输送系统再次行主动脉根部造影,示瓣膜膨胀充分,无瓣口反流,无瓣周漏,冠脉血流正常,术后即刻平均跨瓣压差降至3.62mmHg,超声示术后峰值流速降至0.95m/s。瓣膜释放位置理想、形态及功能良好,瓣叶启闭良好,无外周血管损伤。

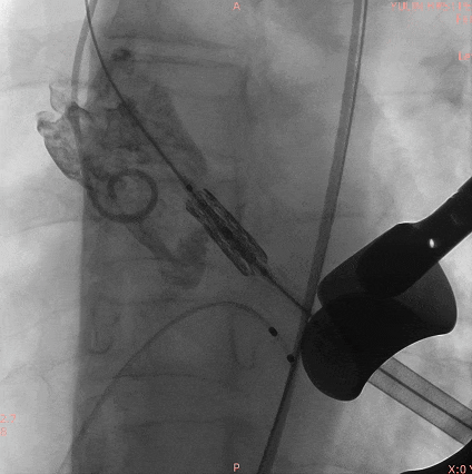
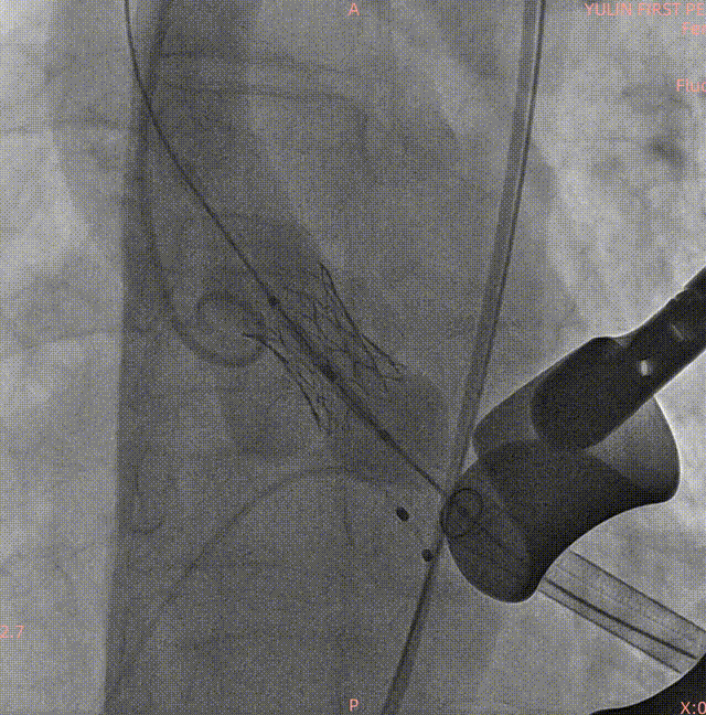
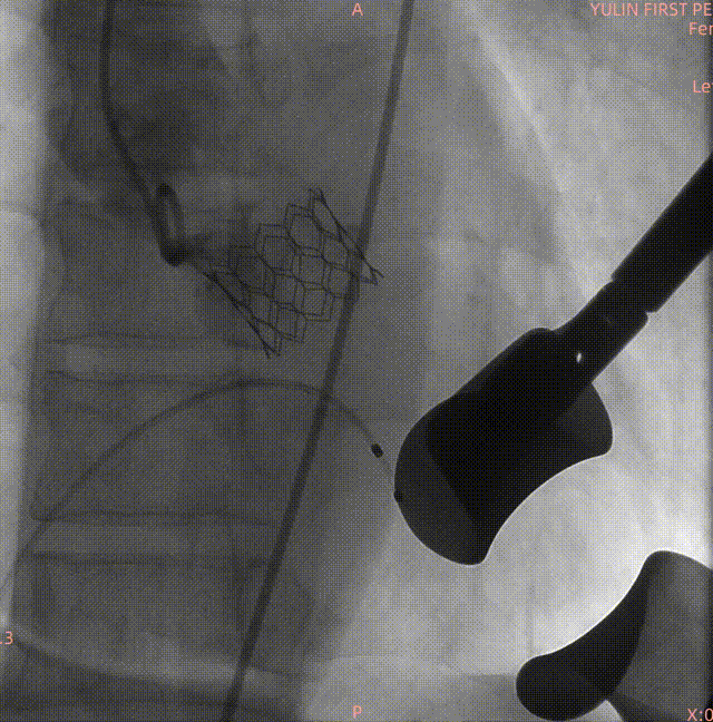
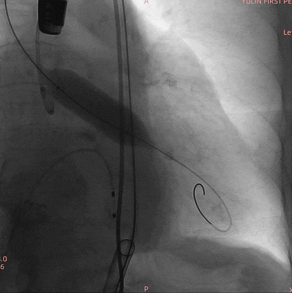
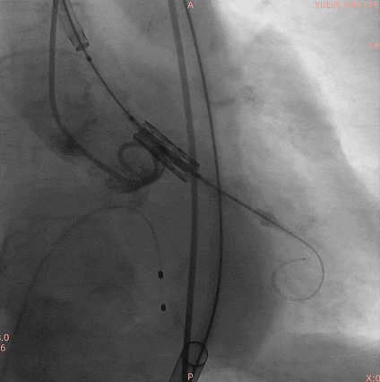
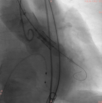
术中影像

主动脉根部造影

19mm球囊预扩无腰有漏

25#Renatus瓣膜造影定位

快速起搏下5atm精准球扩释放25#Renatus瓣膜

释放后造影示瓣膜位置理想,形态良好

超声评估
病例二
简要病史
患者老年女性,86岁。因急性起病,纳差、乏力,伴呕吐,急诊科收入本院,患者既往于本院行冠脉支架植入术,完善心脏彩超检查,超声诊断为主动脉瓣中度狭窄并中度反流,二尖瓣狭窄并中反流,三尖瓣轻中度反流,左房室增大,左心功能减低。
术前CT评估
三叶瓣,右无交界钙化融合。850HU阈值下测得总钙化599mm³。钙化主要分布于右无及左无交界,瓣叶缘及窦底,其中右无交界 钙化经无冠窦瓣叶缘及窦底,延伸至LVOT下约8.0mm。瓣环面积433.1mm²,LVOT面积393.7mm²,SOV30.9-34.7mm,STJ高度25.6mm,内径28.6-32.9mm。右冠细小,考虑左冠优势型,MPR视图下测得左冠开口高度10.8mm,左冠开口上缘19.7mm,左冠瓣叶长度15.5mm;右冠开 口高度17.4mm,右冠开口上缘20.9mm,右冠瓣叶长度13.8mm。模拟23#Renatus,左冠VTC6.5mm,右冠VTC7.1mm。左冠开口较低,瓣叶冗长,且右无交界钙化较重。








使用Supra annulus画圆法评估23#RENATUS瓣膜植入情况:




外周入路增强CT可见升主动脉至腹主动脉清晰显影,髂动脉及股动脉未见明显造影剂增强,根据平扫估测患者外周,腹主动脉至髂动脉段多发钙化,腹主动脉可见动脉瘤,估测双侧入路血管直径大于7.5mm,双侧股动脉穿刺点可见散在钙化。

手术过程
通过术前精准评估,患者在全麻下行TAVR手术,DSA和食道超声双重引导,通过右侧股动脉建立工作路径,沿加硬导丝送入19mm*40mm球囊预扩张主动脉瓣,预扩时双侧冠脉显影良好。退出预扩张球囊后,利用可调弯输送器送入23#RENATUS瓣膜至升主动脉,猪尾巴导管再次造影确认位置。将23#RENATUS瓣膜顺利跨瓣,精准定位,4ATM精确释放,退出输送系统再次行主动脉根部造影,示瓣膜膨胀充分,无瓣口反流,无瓣周漏,冠脉血流正常,再次测主动脉根部压力及左心室压力,术后即刻平均跨瓣压差降至3.33mmHg,超声示术后峰值流速降至0.91m/s。瓣膜释放位置理想、形态及功能良好,瓣叶启闭良好,无外周血管损伤。

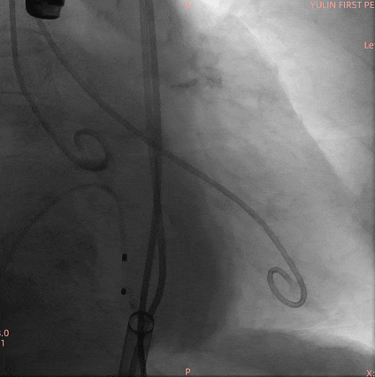
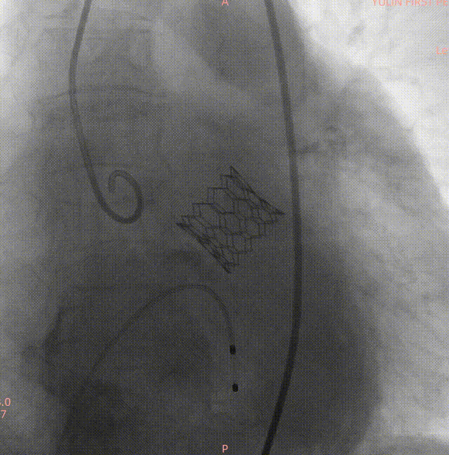
术中影像

主动脉根部造影

19mm球囊预扩

瓣膜定位

23#Renatus瓣膜释放中再次造影定位

释放后造影示瓣膜位置理想,形态良好

超声评估
结语
两例手术为陈军教授团队主导的玉林市第一人民医院应用中国首款国产球扩瓣系RENATUS®经导管主动脉瓣系统进行的TAVR手术,两位患者高危高龄,主瓣重度狭窄,随着狭窄进展将可能面临心室功能进一步恶化、循环崩溃、恶性心律失常等巨大风险;玉林市第一人民医院陈军教授团队凭借术前详尽精准的评估,术中精湛的专业技术和默契的团队配合,同时得益于RENATUS®经导管主动脉瓣系统输送器可调弯操作;瓣膜支架高径向支撑力,以及支架短缩更少的优势,术中瓣膜轻松过弓跨瓣,同轴精准定位,成功释放,取得了良好的手术效果,充分验证了RENATUS®经导管主动脉瓣系统临床操作表现优异,顺滑过弓、灵活操控、精准释放的特点,同时RENATUS®经导管主动脉瓣系统拥有长短两款输送系统,适合各种入路的输送系统设计为临床选择提供了更优更全的入路选择,采取不同入路,经股入路、经心尖入路等,为患者量身定做手术方案,最终使患者受益。RENATUS®经导管主动脉瓣系统临床表现得到国内众多心脏专家的广泛认可,为瓣膜病患者提供了“心”选择,为复杂心脏瓣膜疾病患者带来了“心”希望。
科室简介
玉林市第一人民医院心脏外科是广西桂东南地区最大的心血管外科疾病诊疗中心。是广西壮族自治区临床重点专科。年心脏手术500~600台,位于广西前列。手术范围广,覆盖几乎所有病种。年龄从出生9天的新生儿到86高龄的心脏患者。可以开各种复杂先天性心脏病手术。可开展先天性心脏病的经皮、经胸封堵。进行常规操、小切口、腔镜的瓣置换术或成形术。进行经皮、经心尖瓣置换及二尖瓣钳夹成形术。可进行体外循环或非体外循环冠状动脉搭挢术。可进行A型主动脉夹层及全胸腹主动脉置换术。