
近日,南方医院心内科心律失常专业王月刚教授团队成功运用波科公司新一代watchman FLX左心耳封堵器为一位镜面右位心合并持续房颤患者实施了房颤射频+左心耳封堵一站式手术。此次手术能为罕见的镜面右位心房颤患者成功实施,充分展示了南方医院心内科心律失常亚专业团队在复杂心律失常疾病方面的诊疗能力和水平!
病史信息
男,67岁
主诉:心悸两年余,口角歪斜伴左上肢乏力2月余
入院时间:2025-04-19
现病史:1、患者诉2年前无明显诱因开始出现心悸,胸骨后为主,可持续约数小时/次,伴乏力,蹲下时突然站立时有头晕,无胸闷、胸痛、气促、发热、咳嗽咳痰、晕厥不适,患者初未予重视及处理。
2、2月前患者突发口角歪斜,偏向左侧,伴左上肢体乏力,2-2至惠来县人民医院就诊,行血脂: TG1.68mmol/L,TC5.9mmol/L,LDL-C4.02mmol/L。心电图提示:心房颤动,完全性右束支传导阻滞。心脏彩超提示:EF67%,FS35%;主动脉硬化;主动脉瓣退行性变并轻度关闭不全;二尖瓣、三尖瓣、中°回二简管0肺动脉瓣少量返流。左室顺应性下降。头颅MRI+MRA提示:右侧额颞顶叶、岛叶异常信号,考虑新近脑梗死。右侧额顶叶脑软化灶伴胶质增生。颅脑MRA提示脑动脉硬化。头颅CT:左侧尾状核少许慢性期小梗死灶。予抗凝、调脂、控制心室率、改善循环、营养神经等对症治疗后症状缓解后出院。现患者为进一步诊治就诊我院,门诊拟“心房颤动”收住我科。自发病以来,病人精神状态良好,体力情况较差,食欲食量良好,睡眠情况较差,体重无明显变化,大便正常,小便正常。
既往史:2025-2惠来县人民医院就诊时发现血压升高,最高为160/100mmHg,现服用奥美沙坦;痛风3年,表现为左足拇指疼痛,自行服用中成药可缓解。否认糖尿病等其他慢性病史。[无]传染病史。预防接种史不详。无手术、外伤史。无输血史,无药物或食物过敏史。
辅助检查
心电图诊断:1、心房颤动;2、完全性右束支传导阻滞;3、心电轴右偏;4、ST-T改变。

患者信息
胸片显示为罕见“右位心”结构

辅助检查

2025-04-22 超声心动图:LA 45mm;IVS 6mm;LVEF 59。65%。

食道超声诊断:1、左房、右房及左心耳未见附壁血栓;2、二尖瓣、三尖瓣返流。

入院诊断
心律失常
持续性心房颤动
高血压病
脑梗死(大脑心源性)
主动脉硬化;主动脉瓣退行性变并轻度关闭不全
栓塞出血评分
CHA2DS2-VASc= 5分
C-充血性心力衰竭
H-高血压
A-年龄≥75岁
D-糖尿病
S-卒中/TIA/血栓栓塞
V-血管疾病
A-年龄65-74岁
S-女性
HAS-BLED= 4分
H-高血压
A-肾和肝功能异常
S-卒中
B-出血史或出血倾向
L-INR值不稳
E-高龄(如年龄>65岁)
D-药物或酒精
治疗过程——房颤射频+封堵
术前经食道超声心动图检查:双房及双心耳内未见血栓,评估左心耳形态及大小
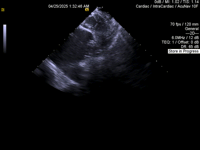
置入心腔内超声,成功房间隔穿刺
行房颤射频消融术
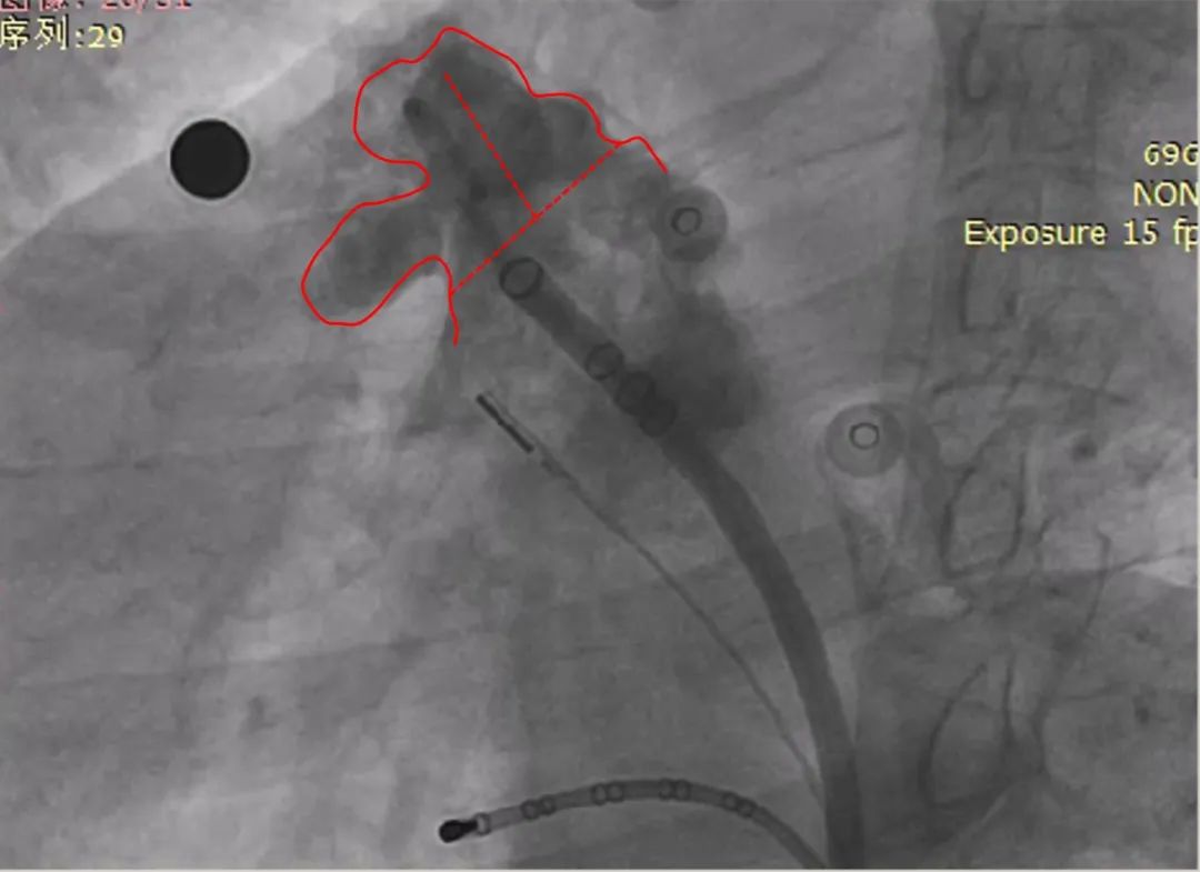
行左心耳造影,测量心耳大小,选择合适的封堵器
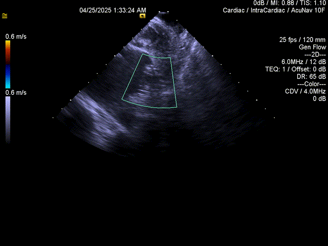
封堵器符合PASS原则,牵拉测试稳定,ICE不同体位下评估封堵器无残余分流,压缩比20-23%
释放封堵器
术前心电图

术前上台为房颤
心率在600ms-800ms左右
ICE引导房间隔穿刺

ICE下穿房间隔

DSA下:造影剂显示已过房间隔
肩位造影

LAO 30° CRA 20°
肝位造影

LAO 30° CAU 20°
封堵器选择
心耳分析
“菜花型”心耳,远端梳状肌发达,共干长度不足,可用深度较浅,上分叶轴向良好;
肝位开口:25mm;深度: 24mm
选伞:FLX 31mm

初次展开
由于上叶空间狭小,调整鞘管过程中猪尾滑落至下分叶,尝试在下分叶处展开封堵器,轴向欠佳。


下分叶空间狭窄,封堵器远端被挤出,下缘露肩过多,考虑重新走上叶放置。

二次展开
重新调整鞘管进入上分叶,Flx Ball抵住上叶口缓慢退鞘展开封堵器。


展开后造影
封堵器呈热狗型,下缘轻微露肩

牵拉试验
肝位及纯足位进行牵拉后,封堵器明显回弹,倒钩锚定稳定


牵拉后再造影
肝位及纯足位下缘轻微露肩(少于封堵器尺寸1/3),肩位下无明显露肩,评估符合PASS原则

LAO 30° CAU 20°

LAO 30° CRA 20°

CAU 30°
ICE下评估PASS原则
封堵器位置及压缩比良好,多普勒检查无残余分流


封堵器释放

释放后再造影
释放钢缆后造影,封堵器位置稳定,释放后形态良好


超声确认
封堵器位置良好,术后无心包积液

