
近日,中山大学附属第一医院龙明教授团队应用瀚芯医疗HaloStitch®经导管卵圆孔未闭缝合器系统,顺利完成一例复杂卵圆孔未闭患者的缝合手术。该患者术前存在反复头痛、左侧肢体麻木等症状,术前检查提示存在明显右向左分流(Valsalva试验3级)并合并脑梗死等严重并发症。经过术前详尽的检查与评估,及术中精准的操作,团队利用HaloStitch®经导管卵圆孔未闭缝合器系统顺利完成手术,术后即刻零分流,为患者带来了显著的治疗效果。
值得一提的是,此次手术0金属植入,用时短共20分钟,针对患者特殊的PFO解剖特征——继发隔迂曲、隧道长度达14.6mm且形态不规则,团队通过创新性操作手法,在术中采用“分段深入、渐进收紧”的策略,最终实现卵圆孔的完美闭合。术后卵圆孔闭合效果良好,术后即刻零分流,手术取得完美成功。
病例资料
53岁男性患者。
主诉:患者在外院诊断脑梗塞,近3年反复头痛伴左侧肢体麻木,术前检查提示存在明显右向左分流(Valsalva试验3级)
右心声学造影:静息状态下:5个心动周期内左心可见造影剂微泡通过,右向左分流1级。Valsalva试验(+):左心可见造影剂微泡显示,右向左分流3级。
经食道超声:房间隔卵圆窝处见卵圆贴合欠佳,可见一隧道样缝隙,大小约1.3~1.8mm,CDFI可在该处探及低速过隔彩流。
颅脑磁共振:右侧放射冠-基底节区急性脑梗塞。幕上少许脑白质高信号。空泡蝶鞍。
术前诊断:卵圆孔未闭;脑梗死;高同型半胱氨酸血症;高脂血症;高尿酸血症;中耳炎。
术前筛查
发泡实验:显示右向左大量微泡。

术前发泡实验超声影像

主动脉短轴切面超声影像

双房切面超声影像
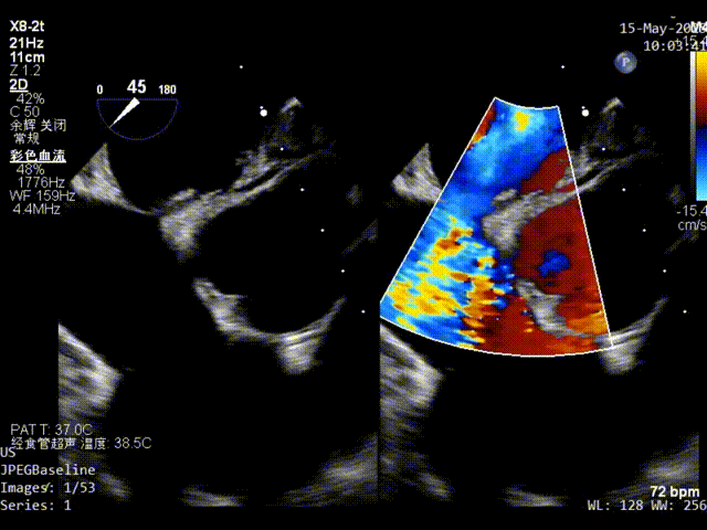
静息状态下房水平见左向右分流。

color超声影像
PFO参数评估
原发隔厚度0.84mm,继发隔厚度约:5mm;


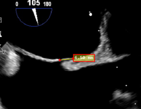
PFO间隙2mm,隧道长度8.2mm(主动脉短轴);


隧道长度14mm(双房切面);


PFO结构分析
1、PFO结构:静息状态下房水平见左向右分流。继发隔厚约5mm;原发隔厚约0.84mm;未探及下腔静脉残瓣及希阿里氏网。
2、PFO参数:隧道裂隙宽约2mm;卵圆孔隧道长度8.2mm(主动脉短轴)14.6mm(双房切面)。
3、模拟穿刺:模拟缝合穿刺点,继发隔与原发隔可基本重合,无错位撕裂风险。
手术难点
该患者卵圆孔呈长隧道、巨大且形态不规则,压缩缝合器操作空间;同时,继发隔迂曲,缝合器捕捉和固定组织挑战大,常规缝合难以保证最佳闭合效果。
手术策略
术前经专家团队综合评估,手术团队拟为该患者行经导管卵圆孔未闭缝合术。团队采用双导丝轨道技术建立稳定通路,针对迂曲继发隔创新性实施“分段深入-渐进收紧”缝合方案,全程在经食道超声引导下完成操作,同时基于患者卵圆孔的具体情况,拟对继发隔与原发隔分别进行针对性缝合,以实现卵圆孔的良好闭合。
术中操作
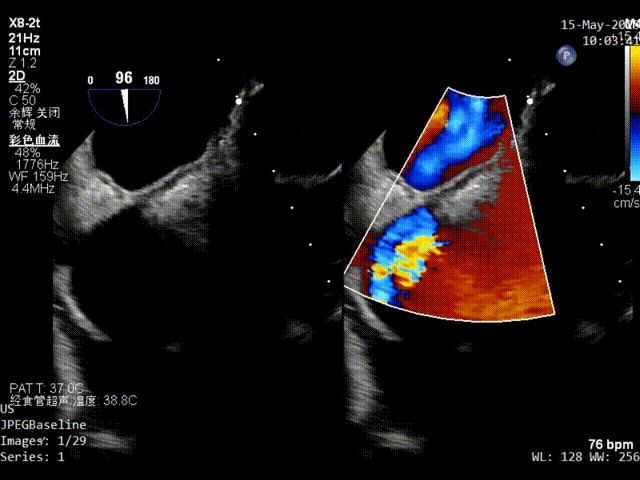
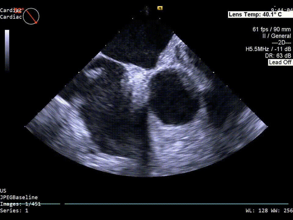
器械进入前超声再次验证PFO结构。

器械进入前cTEE发泡实验

器械进入前TEE彩超影像
一根0.035导丝穿过卵圆孔进入左上肺静脉,形成左心房通路。一根0.035导丝进入上腔静脉,形成右心房通路。

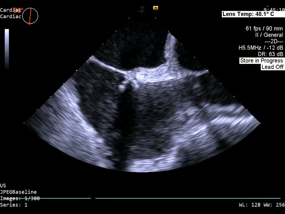
建立通路超声影像
此例患者继发隔有些迂曲,继发隔缝合器到达卵圆孔附近后打开开合臂,开合臂张开后深入继发隔一段距离,收紧部分夹臂,再深入夹臂,完成最终继发隔捕获扣合。

继发隔缝合超声影像
xPlane影像下观察继发隔缝合器捕获情况,待确定为最佳位置后操作手柄对继发隔组织进行穿刺缝合。
原发隔缝合器沿左上肺静脉导丝穿过PFO进入左房后打开开合臂对原发隔组织进行捕获扣合。待确认为最佳位置后操作手柄对原发隔组织进行穿刺缝合。

原发隔缝合超声影像
拉紧缝合线后进行发泡实验,超声显示卵圆孔闭合效果良好,无气泡分流,可进行锁结。

拉紧缝合线后发泡实验超声影像
完成锁结后进行发泡实验,超声显示:术后卵圆孔闭合效果良好,无可见气泡分流。

完成锁结后发泡实验超声影像
全新术式
全国范围开启正式入组新篇章
瀚芯医疗自主研发的HaloStitch®经导管卵圆孔未闭缝合器系统是一项创新的医疗技术,是国内首个可以通过经股静脉入路通过缝合方式来关闭PFO的系统。
相较于传统的手术方法,HaloStitch®经导管卵圆孔未闭缝合器系统的手术创伤更小,恢复时间更短,大大减轻了患者的痛苦和不适;术中也可以通过调节缝线的松紧度或增加缝针闭合PFO,实现术后即刻零分流目标;在远期安全方面与现有金属封堵器相比,HaloStitch®经导管卵圆孔未闭缝合器系统高分子植入物微小质轻,无镍离子析出过敏、心内组织磨蚀、术后房颤等并发症、无需长期服用抗凝、同时不会阻挡房间隔,保留远期行房间隔入路手术的可能,在治疗效果方面与现有金属封堵器相比,HaloStitch®经导管卵圆孔未闭缝合器系统由于独特的多针缝合和可调锁结机制,对于难以封堵的长隧道、巨大、复杂型的PFO仍然具有良好的闭合效果,未来适用性更广。
随着HaloStitch®经导管卵圆孔未闭缝合器系统成功实现了预防卵圆孔未闭(PFO)相关卒中临床试验陆续入组,全国有越来越多的中心都同步开启了临床入组的“心”阶段。期待在不久的将来,HaloStitch®经导管卵圆孔未闭缝合器系统将随着更多中心、更多临床术者的广泛应用,开拓和领跑PFO闭合全新术式,也会有越来越多的新术式、新器械随之涌现,共同护航更多PFO相关卒中患者的生命健康。

关于瀚芯医疗
瀚芯医疗具有深厚的结构性心脏病技术沉淀,公司致力于结构性心脏病领域的二尖瓣瓣膜修复及心源性卒中预防。拥有CNAS认可的高端实验室和万级洁净车间、功能齐全的医疗器械生产设备.具有完整的自主研发、测试生产和销售能力。现已申请国内专利100多项,PCT申请5项。核心产品HaloChord®经心尖二尖瓣腱索修复系统通过创新医疗器械特别审查程序。瀚芯医疗始终以创新驱动、品质为本、临床为命、造福更多的患者为宗旨,用心呵护每颗心。

扫码进入
【瀚芯】介入腱索修复&PFO缝合
学术专栏